1655

La célula

  • Descubrimiento de la célula

    Descubrimiento de la célula

    Robert Hooke publicó un libro titulado "Micrografía", donde describe la primera evidencia de la existencia de las células. Estudió el corcho y vio una disposición en forma de panal de abeja. Las llamó "Cells" que traducido es celda.
  • Nuevas investigaciones

    Nuevas investigaciones

    1670-1680. N. Grew y M. Malpighi extendieron estas observaciones a otras plantas y tejidos animales. Pero, seguían sin dar importancia a las celdas, a las que veían como cámaras de aire y nada más.
  • Antonie  van Leeuwenhoek

    Antonie van Leeuwenhoek

    A. van Leeuwenhoek construyó en esta época microscopios con una perfección que le permitió alcanzar los 270 aumentos. Puede ser considerado como el padre de la microbiología puesto que fue el primero en publicar observaciones de bacterias y protistas. Realizó descripciones de multitud de materiales biológicos con unos detalles hasta entonces desconocidos.
  • Charles Martin Hall

    Charles Martin Hall

    C.M. Hall Descubrió un método para eliminar las aberraciones cromáticas de las lentes, es decir, defectos por descomposición de la luz al pasar por la la lente haciendo una imagen mucho más nítida.
  • Albrecht Von Haller

    Albrecht Von Haller

    A. Von Haller propone que los tejidos animales estaban formados por fibras.
  • Caspar Friedrich Wolff

    Caspar Friedrich Wolff

    C. F. Wolf, dijo que existía una unidad fundamental de forma globular en todos los seres vivos. También dijo que el crecimiento se produciría por adición de nuevos glóbulos. En su obra Theoria generationis argumenta con sus observaciones que los organismos vivos se forman por desarrollo progresivo y las estructuras aparecen por crecimiento y diferenciación de otras menos desarrolladas.
  • Contracción muscular

    Contracción muscular

    Luigi Galvani establece la naturaleza eléctrica de la contracción muscular gracias a experimentos con ancas de rana
  • Teoría celular

    Teoría celular

    La teoría celular comenzó en Francia con H. Milne-Edwards y F. V. Raspail, que observaron una gran cantidad de tejidos de animales diferentes y publicaron que los tejidos estaban formados por unidades globulares pero con desigual distribución. Incluyeron a los vegetales y además dieron a estas vesículas un contenido fisiológico. R. J. H. Dutrochet, también francés, fue el primero que les asignó alguna función fisiológica y propuso que unas células se creaban dentro de las otras.
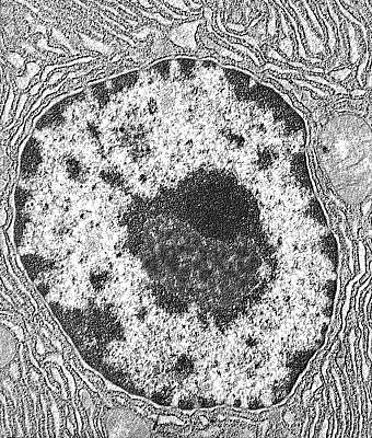
  • Descripción del núcleo

    R. Brown describe el núcleo. Esto tiene controversia dado que hay dataciones anteriores que describen esta estructura pero sin darle ese nombre.
  • División binaria

    División binaria

    B. Dumortier describe la división binaria en células de las plantas. Detalla la aparición de la pared entre las nuevas células y propone que ese es el mecanismo de proliferación de las células y le hace rechazar otras teorías que existían por entonces.
  • Nucléolo

    Nucléolo

    R. Wagner describe el nucléolo.
  • Primer axioma de la teoría celular

    Primer axioma de la teoría celular

    M. J. Schleiden formaliza el primer axioma de la teoría celular para las plantas. Dijo que las células son formas de vida individuales y que las plantas están formadas por células. Las células estaban formadas por una sustancia gelatinosa interna. T. Schwan uso el concepto en animales en su publicación Mikroskopische Untersuchungen. Fue más allá diciendo que tanto las células animales como las vegetales estaban gobernadas por los mismos principios.
  • Unificación de diferentes ramas de la biología

    Unificación de diferentes ramas de la biología

    F. J. F. Meyen, F. Dujardin y M. Barry conectaron y unificaron diferentes ramas de la biología al mostrar que los protozoos eran células individuales nucleadas similares a aquellas que formaban parte de los animales y de las plantas, y además propusieron que los linajes celulares continuos son la base de la vida. Uniendo todos los reinos en un “árbol genealógico”.
  • Protoplasma

    1839 J. E. Purkinge y H. van Mohl, de manera independiente, estudiando a las células de las plantas, llaman protoplasma al contenido interior de las células, excluyendo al núcleo. Por esa época, se asentó la idea de que el protoplasma era el que controlaba la actividad celular por lo que la idea e importancia de la membrana desapareció de nuevo como elemento fundamental de la célula.
  • La célula. la forma más simple de manifestación viva

    La célula. la forma más simple de manifestación viva

    R. Virchow propuso a la célula como la forma más simple de manifestación viva y que a pesar de ello representa completamente la idea de vida, es la unidad orgánica, la unidad viviente indivisible. A mediados del XIX esta teoría quedó consolidada.
  • Uso de colorantes

    Uso de colorantes

    El uso de colorantes para estudiar los tejidos supuso un avance sin precedentes en la identificación de las diferetnes estructuras en las células y en los tejidos. Se atribuye a J. von Gerlach las primeras pruebas con soluciones de carmín en tejido nervioso. En 1829, P. Mayer introduce la tinción de hematoxilina y eosina como una tinción combinada de dos colorantes. En 1904, G. Giemsa introduce la tinción con eosina y azul de metileno que lleva su nombre.
  • Mitosis

    Mitosis

    W. Flemming describe la separación de cromosomas e introduce el término de mitosis.
  • Teoría de la existencia de una membrana

    Teoría de la existencia de una membrana

    C. E. Overton sugirió la existencia de una fina capa de lípidos rodeando al protoplasma, basándose en experimentos de ósmosis y de trasiego de lípidos entre el protoplasma y el medio externo.
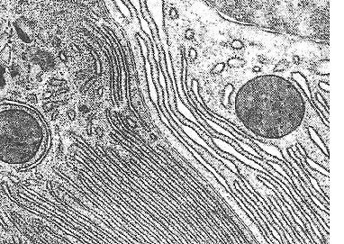
  • Microscopio electrónico

    Microscopio electrónico

    Aparece el microscopio electrónico. Fue inventado en Alemania por M. Knoll y E. Ruska, y desarrollado en las décadas de los 30 y los 40 del sigo XX. Con el microscopio electrónico se pudieron estudiar estructuras internas de la célula que eran del orden de nanómetros . Un hecho que quedó resuelto con el microscopio electrónico es la existencia de la membrana plasmática rodeando a la célula.

Plan projects on a visual timeline

Map milestones, phases, deadlines, and key events in one place so the sequence is easier to see and share. Timetoast is a timeline maker for work, school, research, and stories.