Captura foto

HISTORIA DE LA FITOPATOLOGÍA

  • Tofrasto
    370 BCE

    Tofrasto

    Enfermedades delos vegetales.
  • Edad Media
    1500

    Edad Media

    Factores originarios de las enfermedades de los vegetales.
  • Origen y naturaleza de las enfermedades vegetales

    Origen y naturaleza de las enfermedades vegetales

    Relación del medio ambiente con lo enunciado
  • Robert Koch

    Robert Koch

    Trabajos de aislar las bacterias.
  • Hongos

    Hongos

    Se clasifican en un reino distinto al de las plantas
  • Bacterias

    Bacterias

    El examen microscópico no permite identificarlas
  • Estudio de Hongos

    Estudio de Hongos

    Ciencia desarrollada ampliamente.
  • Fungicidas

    Fungicidas

    Sustancias toxicas que atacan los hongos
  • Enfermedades causadas por virus

    Enfermedades causadas por virus

    Solo puede ser vista a través del microscopio
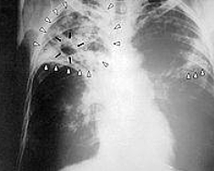
  • Tuberculosis

    Tuberculosis

    En animales y en el Hombre