Historia e1568077367159

Grans Pandèmies i Epidèmies de la Història

  • Pesta antonina
    165

    Pesta antonina

    Aquesta pandèmia de verola va afectar a l’Imperi Romà i possiblement va ser contreta pels soldats que van viatjar a l’Orient Mitjà. Va arribar a matar a un terç de la població en algunes zones.
    Va finalitzar l'any 180 dC.
  • Plaga de Justinià
    541

    Plaga de Justinià

    El seu nom prové d’un emperador que governava en aquella època. Es creu que va ser una plaga de pesta bubònica que va afectar a l’Imperi Bizantí i algunes parts d’Europa, Àfrica i Àsia. Va acabar amb una quarta part de la població de l’Imperi.
    Va finalitzar l'any 750 dC.
  • Pesta negra
    1346

    Pesta negra

    L’epidèmia va arribar a Europa procedent d’Àsia pels vaixells que realitzaven rutes comercials i transportaven animals i persones infectades. La malaltia va matar a quasi un terç de la població europea i és una de les pitjors de la Història.
    L'epidèmia va acabar l'any 1353.
  • Verola
    1520

    Verola

    Va existir durant segles a Europa de forma controlada. En canvi, amb l’arribada dels conqueridors a Amèrica a partir del s. XVI, la malaltia es va propagar pel nou continent i va matar a milions de persones.
  • Còlera

    Còlera

    Entre els segles XIX i XX van haver set grans brots d’aquesta malaltia que es van estendre per tot el món. Aquesta infecció intestinal encara pot sol aparèixer avui en zones de guerra o desastres naturals, on les condicions higièniques no es poden garantir.
    El primer brot es va donar l'any 1817, el segon el 1829, el tercer el 1852 i el quart, l'any 1863. A partir del cinquè brot, les dates van començar a aparèixer en períodes de fins a 24 anys: 1881-1896, 1899-1923 i 1961-1975 respectivament.
  • Grip espanyola

    Grip espanyola

    Aquesta epidèmia de grip es va estendre per tot el món al final de la Primera Guerra Mundial (1914-1918). Els països en guerra no van voler informar per no alarmar a la població però Espanya, que no va participar en el conflicte, sí que ho va fer. Aquest tipus de grip es va estendre ràpidament en el front de guerra i afectava sobretot a persones joves.
    Va arribar al seu final l'any següent, el 1919.
  • Grip asiàtica

    Grip asiàtica

    En plena Guerra Freda, aquesta epidèmia va sorgir a la Xina, a la província de Yunán. L’origen va ser una mutació d’un virus propi dels ànecs. Des d’allà, en els propers onze mesos va arribar fins als EEUU i el continent europeu, provocant una mortaldat de més d’un milió de persones a nivell mundial.
  • Grip de Hong Kong

    Grip de Hong Kong

    La malaltia es va estendre en quatre onades al llarg de 4 anys consecutius. L’origen es va establir a la Xina i des d’allà es va estendre als EEUU pels propis soldats que tornaven a casa després del servei militar. En el moment de la seva aparició, va causar en, solament, dues setmanes, mig milió de morts.
  • Sida/VIH

    Sida/VIH

    A dia d’avui, uns 40 milions de persones d’arreu del món són portadores d’aquest virus. La mortalitat ha disminuït gràcies al tractament. La majoria de persones infectades viu a l’Àfrica, on no disposen d’accés als medicaments ni a unes mínimes condicions d’higiene.
  • SARS (síndrome respiratori agut greu)

    SARS (síndrome respiratori agut greu)

    Està considerada la primera pandèmia del segle XXI. És un virus que muta dels animals i es transmet als humans, provocant una síndrome respiratòria aguda severa. Es va desenvolupar i transmetre en entorns hospitalaris.
  • Grip A

    Grip A

    Aquesta malaltia va començar Mèxic, a l’estat de Veracruz. Durant molts mesos el govern no va reconèixer la seva existència oficialment, el que va complicar molt el seu control. No és una variant molt letal, respecte a altres tipus de grip, però en el primer any va provocar més de 18 mil morts.
  • Ebola

    Ebola

    Apareix per primera vegada a l’Àfrica. I des de l’any 1957, s’han produït fins a 7 rebrots en diferents llocs del món, des de l’Àfrica als EEUU. Va començar a Zimbabue (antiga Rhodesia) i després va aparèixer a República del Congo, Sudán, Filipinas, Virginia, Texas, Sierra leona.. L'última onada va ser a l’any 2014 i va finalitzar l'any dos anys després, al 2016
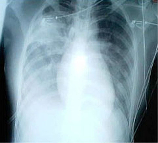
  • Covid-19

    Covid-19

    Els símptomes són febre, mal de coll i de cap, tos, dificultats per respirar. I les radiografies mostren elements de la pneumònia en els pulmons. Aquest nou virus té una semblança del 71 % amb els Sars, transmès pels ratpenats. La seva confirmació oficial és de gener de 2020.
    Es desconeix completament quan finalitzarà i com serà el recorregut que seguirà.