Unnamed 17

Evolución de la Biología Celular

By Jemin
  • Primer Microscopio Compuesto

    Primer Microscopio Compuesto

    En 1590, el primer microscopio compuesto fue construido probablemente por el fabricante de lentes holandés Zacharias Janssen junto con su padre. Existen registros que afirman que Galileo Galilei fue el que creó el primer microscopio simple. Zacharias Janssen fue el que creó el primer microscopio compuesto ya que su artefacto contaba con dos lentes.
  • "Célula"

    "Célula"

    En 1665, Robert Hooke, científico inglés, con un microscopio que él mismo fabricó, notó que el corcho y otros tejidos vegetales están constituidos por pequeñas cavidades separadas por paredes. Llamó a estas cavidades "células" siendo el primero en utilizar este término.
  • Espermatozoides

    Espermatozoides

    En 1667, Anton van Leeuwenhoek, comerciante holandés, examinó a nivel microscópico su propia eyaculación. Su investigación salió a la luz hasta después debido a la preocupación que sintió el investigador de que se le viera como indecente.
  • La Célula: Unidad Básica de la Estructura Orgánica

    La Célula: Unidad Básica de la Estructura Orgánica

    En 1824, René Dutrochet establece que la célula es la unidad básica de la estructura, es decir, que todos los organismos están formados por células. Fue el primero en definir a la célula como la unidad base de la materia orgánica.
  • Descubrimiento del Núcleo Celular

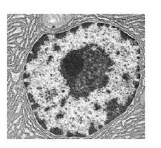
    Descubrimiento del Núcleo Celular

    En 1831, el botánico escocés Robert Brown notó la presencia constante de un corpúsculo en el interior de las células. Conforme se fue conociendo su función se determinó que era el núcleo de la célula.
  • Period: to

    Base de la Teoría Celular

    En 1838, Mathias Schleiden, botánico alemán, concluyó que las plantas estaban compuestas por células o sus productos. En 1839, Theodor Schwann, zoólogo alemán, llegó a conclusiones similares pero para las células animales. Estos dos investigadores establecieron las bases de la Teoría Celular: "(...) la célula es la unidad estructural y funcional de los seres vivos (...)."
  • División Celular

    División Celular

    En 1852, Robert Remark publica sus estudios sobre la división celular. Lo más destacable de sus investigaciones es el descubrimiento y estudio de los procesos mitóticos en células embrionales, señalando que las células se multiplican por escisión de su núcleo.
  • Period: to

    Descubrimiento e Historia de la Mitocondria

    En 1857, Albert Von Kolliker, anatomista y fisiólogo suizo, fue la primera persona en observar lo que él describió como “gránulos” dentro de la célula. En 1884, Estos gránulos fueron después observados por Richard Altmann, histólogo y patólogo alemán, quien descubrió que estas estructuras eran las unidades principales de la actividad celular. En 1889, por último, fue Carl Benda, microbiólogo alemán, quien le dio el nombre de mitocondrias a estas estructuras.
  • "Toda célula procede de otra célula anterior"

    "Toda célula procede de otra célula anterior"

    En 1858, Rudolf Virchow, en el curso de sus trabajos sobre citogénesis de los tejidos cancerosos, demostró que toda célula procede de otra célula anterior, o como lo decía en su axioma "ommni cellula e cellula". Sus descubrimientos explicaron como una planta sólo puede proceder de otra planta y un animal de otro animal.
  • Descubrimiento de la Cromatina y su Rol en la División Celular

    Descubrimiento de la Cromatina y su Rol en la División Celular

    En 1879, Walther Flemming, biólogo alemán, investigó el proceso de la división celular y la distribución de los cromosomas durante este proceso. A pesar de que era ya bien sabido que las células provenían de otras células y que la información hereditaria se encontraba en el núcleo, no fue hasta que Walther Flemming descubrió las cromatinas que se pudo comprender en su totalidad cómo es que las células que derivaban de las células anteriores recibían la información genética.
  • Ley Cromosómica de la Herencia

    Ley Cromosómica de la Herencia

    En 1887, August Weismann elaboró la “Ley cromosómica de la herencia” mencionando una sustancia hereditaria, plasma germinativo, que transporta los rasgos y tendencias hereditarias contenida “en el núcleo de la célula germinativa y en aquella parte del filamento nuclear (...) (los cromosomas)”. Su investigación asoció la herencia, los cromosomas y el comportamiento de los genes dentro de los cromosomas.
  • Descubrimiento del Aparato Golgi

    Descubrimiento del Aparato Golgi

    En 1889, Bartolomeo Camillo Emilio Golgi, científico e histólogo italiano, observó y describió a detalle una estructura irregular membranosa que se encuentra en la mayoría de las células eucariontes. Esta recibió el nombre de “Aparato de Golgi” por el nombre de su investigador. Este orgánelo se encarga de procesar y separar componentes de la membrana para después ser exportadas a distintas partes del organismo.
  • Ciclo de Krebs

    Ciclo de Krebs

    En 1937, Hans Krebs, bioquímico y biólogo alemán, descubre y formula el “Ciclo del ácido cítrico”, también conocido como el “Ciclo de Krebs”. En este ciclo describen las serie de reacciones químicas necesarias para lograr la respiración celular y para poder liberar energía en forma de ATP a través de la oxidación de carbohidratos, grasas y aminoácidos.
  • Teoría Endosimbiótica Seriada

    Teoría Endosimbiótica Seriada

    En 1967, Lynn Margulis presenta la Teoría Endosimbiótica o Endosimbiosis Seriada. Esta dice que "(...) las modernas células eucarióticas descienden de células más simples a las que se fusionaron bacterias por simbiosis sucesivas, dotándolas de funciones nuevas y provechosas: las mitocondrias y los cloroplastos." Esta teoría explica la transición de células procariotas a células eucariotas.
  • Primera Planta Transgénica

    Primera Planta Transgénica

    En 1983, un equipo europeo crea la primera planta transgénica. Esta planta consistió de un tabaco resistente al antibiótico canamicina. Una planta transgénica es aquella que contiene uno o más genes que han sido transferidos de otra planta no emparentada o de una especie diferente.
  • La Oveja Dolly

    La Oveja Dolly

    En 1996, nace la oveja Dolly: primer mamífero clonado. Sus creadores fueron los científicos Ian Wilmut y Keith Campbell. Los científicos sacaron una célula, que contiene todo el material genético (ADN) de la oveja adulta; después, a otra oveja, le extrajeron un óvulo. Al óvulo se le extrajo el núcleo, eliminando el material genético de la oveja donante. Luego, se extrajo el núcleo de la célula mamaria y, mediante impulsos eléctricos, se fusionó al óvulo sin núcleo de la oveja donante.

Looking for a timeline maker?

Create timelines for projects, roadmaps, history, lessons, legal cases, and stories with Timetoast. Timetoast is a timeline maker for work, school, research, and stories.