Avaliação Não-Programada

  • Acidente

    Acidente

    C.P.R., sexo masculino e 32 anos, estava realizando reparo em uma rede de alta tensão, quando se descuidou e tocou em um fio. Com o choque, foi arremessado ao chão de uma altura de 4 metros.
  • Queimadura

    C.P.R. sofreu queimadura de terceiro grau nos membros superiores. Quais camadas da pele foram lesados, neste caso? Cite os tipos celulares presentes em cada camada. _______________________________________________________________________________________________________________________________________________________________________________________________________________________________________________________________________________________________________________________________________________
  • Atendimento Pré-Hospitalar

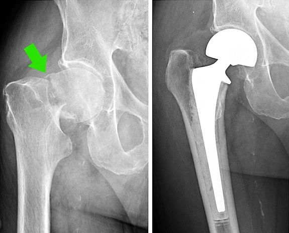
    Atendimento Pré-Hospitalar

    O SAMU 192 foi acionado e, durante a imobilização do paciente, percebeu que o mesmo fraturou a cabeça do fêmur. Caracterize, anatomicamente, a articulação lesada (ligamentos e cápsula).
    _______________________________________________________________________________________________________________________________________________________________________________________________________________________________ (Fonte da imagem: http://www.medicinanet.com.br/conteudos/casos/7677/fratura_de_femur.htm)
  • No Hospital

    Devido à gravidade da queimadura, C.P.R. teve comprometimento das articulações do cotovelo, punho e mão. Quais articulações foram comprometidas? ___________________________________________________________________________________________________________________________________________________________________________________________________________________________________________________________________________________________________________________________________________________________________
  • Na sala de cirurgia

    Na sala de cirurgia

    Para evitar uma sepse, C.P.R. amputou o úmero direito na região média da diáfise. Cite os movimentos funcionais do membro superior afetado que prevalecerão, após este procedimento. __________________________________________________________________________________________________________________________________________________________________________________________________________________________________________ (Fonte da imagem: https://ortopediaeombro.com.br/fratura-do-umero-fratura-do-braco/)
  • Recuperação

    A fratura foi tratada com fixadores externos e, após 40 dias imobilizado, C.P.R. vem demonstrando melhora. Explique a fase de reparo ósseo que o paciente se encontra? _____________________________________________________________________________________________________________________________________________________________________________________________________________________________________________________________________________________________________________________________________________
  • Alta Hospitalar

    Após 6 meses de internação hospitalar, CPR foi conduzido para tratamento domiciliar.

Want to make a timeline like this?

Use Timetoast to turn dates, events, milestones, and phases into a clear visual timeline you can build and share. Timetoast is a timeline maker for work, school, research, and stories.