Animal Development

  • Stage 1

    Stage 1

    Stage 1 is the unicellular embryo that contains unique genetic material and is an individually specific cell that has the potential to develop into all of the subsequent stages of a human being. It is the beginning of embryonic life and ontogenetic development that starts when an oocyte, arrested in metaphase of meiosis II, is penetrated by a sperm. This is the first event of fertilization. The embryo has a postfertilization age of approximately one day, is between 0.1 to 0.15 mm in diameter and
  • Stage 2

    Stage 2

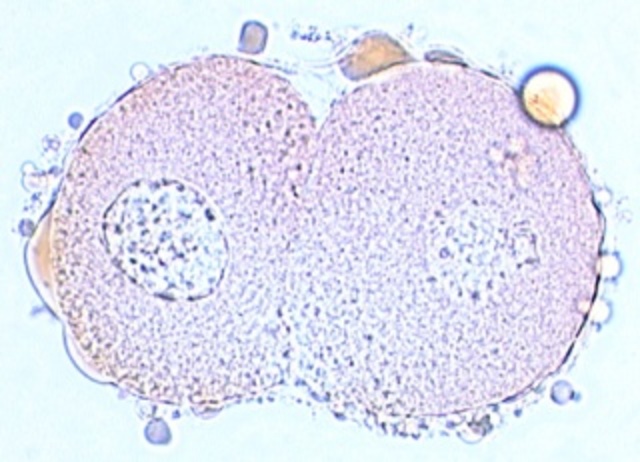
    Stage 2 begins with the division of the zygote into two cells and ends with the appearance of the blastocystic cavity after the embryo is composed of more than 16 cells. The embryo has an estimated postfertilization age of two to three days and is approximately 0.1 to 0.2 mm in diameter. The zygote undergoes cleavage during this period whereby it divides mitotically into an increasing number of cells that become progressively smaller with each division. True growth does not occur during cleavage
  • Stage 3

    Stage 3

    Stage 3 begins when a cavity first appears in the morula and ends after the zona (capsula) pellucida is shed and the embryo makes contact with the endometrial lining of the uterus. Stage 3 embryos are called free blastocysts. They have an estimated postfertilization age in vivo of between four and five days and measure 0.1 to 0.2 mm in diameter.
  • Stage 3-b

    Stage 3-b

    Stage 3 specimens have a postfertilization age of between four and five days in vivo it is a 107-cell blastocyst estimated to be about 108 hours old.
  • Stage 13

    Stage 13

    Stage 13 embryos have a greatest length of 3.9 to 6 mm and an estimated postfertilization age of 30 to 33 days. There are 30 or more pairs of somites or body segments along the body axis. The retinal part of the optic vesicle and the lens disc can be identified. The caudal neuropore is closed resulting in a completely closed neural tube. The lower limb bud has formed. The stomach and omphalomesenteric duct are present. The right and left lung buds form, which are the precursors of the primary br
  • Stage 14

    Stage 14

    Stage 14 embryos have a greatest length of 5 to 7 mm and an estimated postfertilization age of 33 days. The optic cup and lens pit are present and the endolymphatic duct begins. It has an estimated greatest length of 6.7 mm (after fixation) and is on the borderline of the next stage
  • Stage 4

    Stage 4 is reserved for the attaching blastocyst that is adhering to the endometrial lining of the uterus. The attaching process is called adplantation and heralds the onset of implantation. Stage 4 embryos have an estimated postfertilization age of approximately 6 days.
  • Stage 5

    Stage 5

    Stage 5a specimens have a postfertilization age of 7 to 8 days and are characterized by a trophoblast that is still mainly solid. The greatest diameter of the conceptus is less than 0.5 mm. The blastocystic cavity is flattened probably because of its collapse during implantation. Mesoblast formation begins along the inner side of the trophoblast. The embryonic disc is approximately 0.1 mm in diameter and is composed of two layers, a thick layer called the epiblast and a thin layer called the hyp
  • Stage 5 B

    Stage 5 B

    The older stage 5a specimen is Carnegie embryo #8155 that has an estimated postfertilization age of 8 days. The conceptus shows later superficial implantation being almost imbedded within the endometrium and nearly flush with the endometrial epithelium. The amniotic cavity is prominent and amnioblast are present. The embryonic disc is dorsally concave. The epiblast is composed of pseudostratified columnar eipithelium with only one mitotic figure evident. The hypoblast is composed of a cap like m
  • Stage5C

    Stage5C

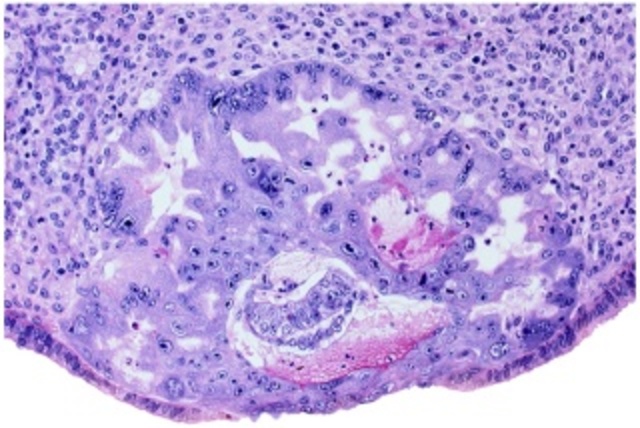
    Stage 5b specimens have an estimated postfertilization age of 9 days with a conceptus diameter of approximately 0.1 mm. The distinguishing characteristic at this substage is the presence of numerous irregular, slit like lacunae within the cytoplasm of the syncytiotrophoblast. Most of the lacunae communicate with each other and with the endometrial sinusoids but they contain relatively little maternal blood.
  • Stage 5-d

    Stage 5-d

    specimens have an estimated postfertilization age of 11 to 12 days and a conceptus diameter of approximately 0.15 to 0.2 mm. The distinguishing characteristic at this substage is the presence of large, irregular, intercommunicating lacunar spaces that contain enough blood to form a discontinuous red circle about one mm in diameter that is visible on the endometrial surface. The rostral and caudal ends of the embryonic disc can be identified for the first time as well as the right & left sides
  • Stage 18

    Stage 18

    Stage 18 embryos have a greatest length of 13 to 17 mm and an estimated postfertilization age of approximately 44 days. In the head region the tip of the nose becomes discernable as well as the volmeronasal organ, eyelids, and nasolacrimal ducts. The auricular hillocks begin to blend to form parts of the definitive external ear. Two or three semicircular ducts form from the otic vesicle in the otic capsule. The subarachnoid space surrounds the entire central nervous system and the choroid plexus
  • Stage 6

    Stage 6

    Stage 6 embryos are in the presomite period and have an estimated postfertilization age of 16 to 21 days and a greatest length of approximately 0.3 mm. When the gastrulation (primitive) streak is present in the caudal part of the specimen it is sometimes classified as Stage 6b. Similar specimens without a gastrulation streak are then classified as Stage 6a. Chorionic villi and the amniotic cavity and secondary umbilical vesicle (yolk sac) are evident. Embryonic endoderm is present for the first
  • Stage 7

    Stage 7

    Stage 7 embryos are in the presomite period with a well-defined embryonic disc. They have an estimated postfertilization age of approximately 18 to 21 days and a greatest length of 0.6 mm. The embryonic disc is symmetrical and slightly convex in the plane of its longitudinal axis. The gastrulation (primitive) node and notochordal process can be identified.
  • Stage 8

    Stage 8

    Stage 8 embryos are in the presomite period, have a greatest length of 0.5 to 2 mm and an estimated postfertilization age of approximately 21 to 25 days. The embryonic disc is ovoid or pyriform in shape when viewed from the dorsal aspect. The gastrulation (primitive) pit is present. Neural folds herald the beginning of primary neurulation. A primordial head-fold is not yet evident but a primordial tail-fold is present. A gastrulation (primitive) streak and node and notochordal canal are typicall
  • Stage 9

    Stage 9

    Stage 9 embryos have a greatest length of 1.4 to 2.5 mm and an estimated postfertilization age of approximately 25 to 27 days. The somite period begins with the formation of one to three somites. The pro- mes- and rhomb- encephalon can be identified in the cephalic part of the neural folds. The pericardial cavity is present for the first time and the right and left ventricles and right and left atria can be identified by their positions. The dorsal aorta, aortic arch arteries and umbilical vesse
  • Stage 11

    Stage 11

    embryos have a greatest length of 1.4 to 5 mm and an estimated postfertilization age of 28 to 30 days. There are 13 to 20 pairs of somites or body segments along the body axis. Sclerotomes are forming in the ventromedial part of the somites as the somite remnants move dorsolatterally.The rostral neuropore closes and the optic vesicle forms at the outer part of the optic sulcus in the wall of the diencephalon. The otic placode or pit is present as thickened ectoderm lateral to the rhombencephalon
  • stage 12

    stage 12

    Stage 12 embryos have a greatest length of 3 to 5.4 mm and an estimated postfertilization age of 29 to 31 days. There are 21 to 29 body segments (somites) along the body axis. Most of the cephalic neural crests can be identified. The sinu-atrial openings and atrioventricular canal are present in the heart. The aortic arches are present and the dorsal aortae are fused. Four pharyngeal arches, grooves and pouches are present. Future hepatic sinusoids are occupied by hematopoetic tissue.
  • Stage 10

    Stage 10

    Stage 10 embryos have a greatest length of 1.5 to 3.6 mm and an estimated postfertilization age of 28 to 30 days. There are 4 to 12 pairs of somites along the body axis. The neural tube has begun to form which exhibits rostral and caudal neuropores. The five major subdivisions of the brain can be identified in the neural folds. The optic sulcus is present with a chiasmatic plate in the midline. Presumptive left and right atria and ventricles of the heart can be identified by their relative locat
  • Stage 14

    Stage 14

    Stage 14 embryos have a greatest length of 5 to 7 mm and an estimated postfertilization age of 33 days. The optic cup and lens pit are present and the endolymphatic duct begins. The stage is represented by Carnegie embryo #6502. It has an estimated greatest length of 6.7 mm (after fixation) and is on the borderline of the next stage
  • Stage 16

    Stage 16

    Stage 16 embryos have a greatest length of 8 to 11 mm and an estimated postfertilization age of 39 days. The retinal pigment is distinct and the foot plate has formed. The stage is represented by Carnegie embryo #6517. It has a greatest length of 10.5 mm (after fixation) and is considered to be in the most advanced third of the stage.
  • Stage 17

    Stage 17

    Stage 17 embryos have a greatest length of 11 to 14 mm and an estimated post-fertilization age of 41 days. Hand rays have formed and the auricular hillocks are distinct. The stage is represented by Carnegie embryo #6520. It has a corrected greatest length of 14.2 mm (after fixation). The specimen is considered to be median within the stage.
  • Stage 15

    Stage 15

    Stage 15 embryos have a greatest length of 7 to 9 mm and an estimated postfertilization age of 41 days. The lens vesicle, nasal pit and hand plate are present and the future cerebral hemisphere is distinct. It has a greatest length of 9.0 mm (after fixation) and is median within the stage.
  • Stage 19

    Stage 19

    Stage 19 embryos have a greatest length of 16 to 18 mm and an estimated postfertilization age of approximately 45 to 47 days. The trunk is elongating and straightening. The head no longer forms a right angle with the back and is beginning to elevate. The hand and footplates contain distinct metacarpal and metatarsal condensations, respectively. The articular hillocks are no longer evident and have blended forming definitive parts of the external ear.
  • Stage 20

    Stage 20

    Stage 20 embryos have a greatest length of 18 to 22 mm and an estimated post-fertilization age of approximately 49 days. At this stage the upper limb is longer and slightly bent at the elbow. The hands are still far apart and the fingers are short, stubby and slightly curved over the cardiac prominence. The interorbital groove is conspicuous.
  • Stage 21

    Stage 21

    Stage 21 embryos have a greatest length of 20 to 26.4 mm and an estimated post-fertilization age of approximately 49 to 52 days. At this stage the fingers become more elongated and the hands and feet approach each other. For the first time the cortical plate is present in the wall of the cerebral vesicle (hemisphere). has a greatest length of 22.2 mm (after fixation).
  • Stage 22

    Stage 22

    Stage 22 embryos have a greatest length of 23.4 to 27.5 mm and an estimated postfertilization age of 52 to 55 days. At this stage the eyelids cover approximately half of the exposed part of the eye. The fingers approach those on the other side and sometimes touch and overlap. Many nuclei, fiber tracts and commissures are evident in the brain. All of the vertebral segments have formed and ossification has begun in the clavicle and long bones. All of the joints of the extremities can be identified
  • Period: to

    Fetus devolpment

    Fetus just becomes bigger
  • Birth

    Cameau is born

A list shows items. A timeline shows sequence.

Use Timetoast to make dates, milestones, and turning points easier to understand in a clear visual format. Timetoast is a timeline maker for work, school, research, and stories.