Tomografia

  • Tomografia

    Tomografia

    RADON describe en forma matemática la reconstrucción de un objeto a partir de sus proyecciones.
  • Escaner EMI

    Escaner EMI

    Construcción del Scaner EMI
  • Reunión del área de radiología

    Reunión del área de radiología

    Housfield se reunió con James Ambrose (director del área de radiología) y le decribio el tomogrado
  • Se instala el Primer escaner de TAC

    Se instala el Primer escaner de TAC

    Se instala el Primer escaner de TAC en el Atkinson Mole'sy Hospital
  • Se realizo la primer presentación de tomografía axial

    Se realizo la primer presentación de tomografía axial

    Hounsfield hizo una presentación llamada Tomografía Axial
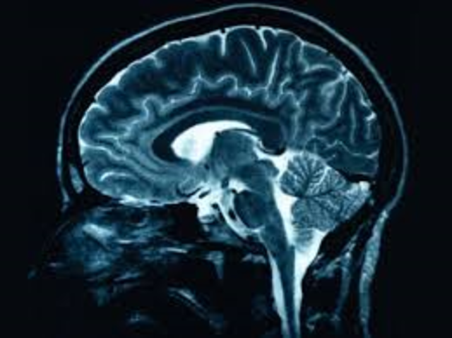
  • Escaner Cerebral

    Escaner Cerebral

    Se instalo el Primer Escaner Cerebral en la Clínica Mayo
  • Detectores

    Detectores

    Se da el aumento del numero de detectores
  • Descubrimiento de los rayos x

    Descubrimiento de los rayos x

    W. C Roenteng descubrio los rayos x
  • Tomo-grafo de Cuerpo Completo

    Tomo-grafo de Cuerpo Completo

    Sale a la venta el Primer Tomo-grafo de Cuerpo Completo
  • tomo grafo helicoidal

    Sale a la venta el primer tomo grafo helicoidal
  • Multidetectores

    Multidetectores

    Llegada de los TC multidetectores

Plan projects on a visual timeline

Map milestones, phases, deadlines, and key events in one place so the sequence is easier to see and share. Timetoast is a timeline maker for work, school, research, and stories.