Download (1)

TEORÍA CELULAR

By guaca
  • Microscopio compuesto

    Microscopio compuesto

    A. H. Lippershey, Z. Janssen y H.
    Janssen (padre e hijo)colocar dos lentes de aumento, una a cada lado de un tubo. El perfeccionamiento de esta organización y de sus componentes permitiría observar más tarde a las células.
  • Nivel mas avanzando del telescopio

    Nivel mas avanzando del telescopio

    Galileo Galilei describe la cutícula de los
    insectos. Había adaptado lentes del telescopio para
    inventar de manera independiente el microscopio
    compuesto.
  • Disecciones de animales

    Disecciones de animales

    J. B. Odierna observa y describe las primeras
    disecciones de animales.
  • Libro con la primera evidencia de la célula

    Libro con la primera evidencia de la célula

    Robert Hooke libro titulado Micrographia, donde describe la primera evidencia dela existencia de las células. Estudió el corcho y vio una disposición en forma de panal de abeja. A cada
    camarita la llamó celdilla o célula, pero él no tenía
    consciencia de que eso era una estructura similar a la
    que conocemos hoy en día como células.
  • Estudios a plantas y animales

    Estudios a plantas y animales

    N. Grew y M. Malpighi extendieron
    estas observaciones a otras plantas. Pero aún pensaban
    que eran saquitos llenos de aire. N. Grew describió lo
    mismo que R. Hooke y los llamó burbujas de
    fermentación (igual que en el pan). Introdujo el
    término de parénquima vegetal y realizó muchos
    dibujos de tejidos vegetales. M. Malpighi puso nombre
    a muchas estructuras vegetales como las tráqueas (por
    su similitud con las tráqueas de los insectos).
  • tejidos animales

    tejidos animales

    Von Haller propone que los tejidos animales
    estaban formados por fibras.
  • Mismo plano animales y plantas

    Mismo plano animales y plantas

    La primera aproximación para colocar en el
    mismo plano a los animales y a las plantas la hizo C.F.
    Wolf, que dijo que existía una unidad fundamental de
    forma globular en todos los seres vivos. Ésta sería
    globular al principio, como en los animales, y luego
    aire que después se llenaría con savia, como en los
    vegetales. También dijo que el crecimiento se
    produciría por adición de nuevos glóbulos
  • Evolución teoría celular

    Evolución teoría celular

    La gestación de la teoría celular comenzó en Francia con H. Milne­Edwards y F. V.Raspail, que observaron una gran cantidad de tejidos
    de animales diferentes y publicaron que los tejidos estaban formados por unidades globulares pero con desigual distribución. Incluyeron a los vegetales y además dieron a estas vesículas un contenido fisiológico.
  • El  núcleo

    El núcleo

    R. Brown describe el núcleo. Esto es controvertido puesto que en una carta de Leuweenhoek a Hook en 1682 describe una estructura en el interiorde los glóbulos rojos de la sangre de un pez que no
    podría ser otra cosa más que un núcleo, aunque no le
    llamó de ninguna manera.
  • Tejidos animales y vegetales

    Tejidos animales y vegetales

    J. Purkinje, en Chequia, uno de los mejores
    histólogos de su época, propuso las ideas básicas de la teoría celular y ya dijo no sólo que los tejidos animales estaban formados por células, sino también que los tejidos animales eran básicamente análogos a los tejidos vegetales.
  • las células vegetales

    las células vegetales

    . M. J. Schleiden formaliza el primer axioma de
    la teoría celular para las plantas (no estudió tejidos
    animales). Es decir, todas las plantas están formadas
    por unidades llamadas células. T. Schwann hizo
    extensivo ese concepto a los animales y por extensión a
    todos los seres vivos en su publicación Mikroscopische
    Untersuchungen. Fue más allá diciendo que tanto
    células animales como vegetales estaban gobernadas
    por los mismos principios.
  • Célula como manifestación viva

    Célula como manifestación viva

    R. Virchow propuso a la célula como la forma
    más simple de manifestación viva y que a pesar de ello
    representa completamente la idea de vida, es la unidad
    orgánica, la unidad viviente indivisible.
  • Mitosis

    Mitosis

    W. Flemming describe la separación de
    cromosomas e introduce el término de mitosis.
  • Estudios sobre el protoplasma

    Estudios sobre el protoplasma

    C. E. Overton propone una naturaleza lipídica para la interfaz entre el protoplasma y el medio externo, y sugirió la existencia de una fina capa de lípidos rodeando al protoplasma, basándose en que experimentos de ósmosis y de trasiego de lípidos entre el protoplasma y el medio externo.
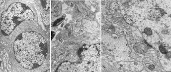
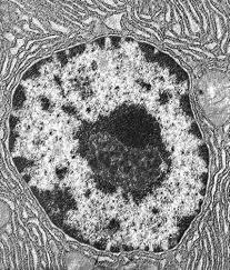
  • Microscopio electrónico

    Microscopio electrónico

    Aparece el microscopio electrónico. Fue
    inventado en Alemania por M. Knoll y E. Ruska, y
    desarrolladoen las décadas de los 30 y los 40 del sigo
    XX. El microscopio óptico usa el espectro de la luz
    visible, pero por sus propiedades de longitud de onda
    no puede discriminar dos puntos que estén a menos de
    0.2 micras de distancia. Con el microscopio electrónico
    se pudieron estudiar estructuras internas de la célula
    que eran del orden de nanometros (10­3 micras).