Teoria Celular

  • Hans y Zacharias Janssen

    Hans y Zacharias Janssen

    Principal aporte científico También es posible que Zacharias Janssen inventara el microscopio con la ayuda de su padre, Hans Janssen. Los primeros microscopios compuestos producidos por los Janssen eran simplemente un tubo de 45 cm de largo y 5 cm de diámetro con una lente convexa en cada extremo.
  • Robert Hook

    Robert Hook

    Analiza láminas de corcho observa que está formado de pequeños huecos similares a un panal, celdas, de ahí el término célula.
  • Citoplasma

    Citoplasma

    Quien descubrió el citoplasma fue el científico Robert Hooke
  • Anton Van Leewenhoek

    Anton Van Leewenhoek

    Van Leeuwenhoek diseñó microscopios de lente única para ver más allá de lo que permite el sentido de la vista y desentrañar los secretos de la vida de los seres microscópicos. Fue un visionario de la microbiología. Leeuwenhoek descubrio que al observar en el microscopio ciertas partículas tenían vida estos seres les llamo
    "animálculos"
  • Nehemia Grew

    Nehemia Grew

    reconoce a las células de las plantas pero se refiere a ellas como
    "vesículas”.
  • Plastidios

    Plastidios

    Los Plastos solo existen en las células vegetales, donde se encargan de la producción de elementos bioenergéticos mediante el proceso de la fotosíntesis. El descubrimiento de los plastos se realizó en el siglo XVII por el botánico Nehemias Grew. Los plastos, plástidos o plastidios son un conjunto de organelos típicos de las celulas eucarióticas fotosintéticas. Su función principal es la producción y almacenamiento de importantes compuestos químicos usados por la célula.
  • Cilios

    Cilios

    Las primeras observaciones de cilios bien podrían atribuirse a Anton van Leeuwenhoek, quien en su Continuatio arcanorum Naturae, publicado en 1697, describe en muchos lugares estas estructuras. Permitir el desplazamiento de los gametos en el sistema reproductor. Regular el balance hídrico de los órganos excretores
  • Vacuolas

    Vacuolas

    A Van Leeuwenhoek se le adjudican los descubrimientos de los protozoos, las bacterias, la vacuola de la célula Las vacuolas son organulos unidos a la membrana que se pueden encontrar tanto en los animales como en las plantas.
  • Trevinarius

    Trevinarius

    propuso que las células eran entidades reales y se podían aislar tejidos.
  • Henri Dutrochet

    Henri Dutrochet

    Reveló las células constituían las unidades básicas de la estructura de los seres vivos.
  • Robert Brown

    Robert Brown

    Primero en observar el núcleo en sus estudios en células vegetales.
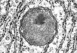
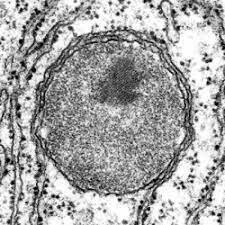
  • Nucleo

    Nucleo

    El primer orgánulo celular en ser descubierto fue el núcleo. Observado inicialmente por Anton van Leeuwenhoek y descrito posteriormente por Franz Bauer, este orgánulo recibe el nombre con que actualmente se lo conoce gracias al científico escocés Robert Brown, quien así lo designó en 1831. La principal función del núcleo celular es controlar la expresión genética y mediar en la replicación del ADN durante el ciclo celular.
  • Nucleolo

    Nucleolo

    El término nucléolo fue introducido por Gabriel Valentin en 1836. La palabra nucléolo viene a ser un diminutivo de un diminutivo. Núcleo proviene del latín nux y significa nuececilla o semilla. Entonces, el nucléolo sería como la pequeña nuececilla del núcleo celular. El nucleolo es una región del núcleo celular que se ocupa de la producción y ensamblaje de los ribosomas de las células.
  • Matthias J. Schleiden y Theodor Schwann

    Matthias J. Schleiden y Theodor Schwann

    Formulación de la teoría celular: la célula es la unidad básica estructural y funcional de los seres vivos, todos los organismos están constituidos por una o más células.
  • Cuarto Postulado Celular

    Cuarto Postulado Celular

    “Todo en los seres vivos está formado por células o por sus productos de secreción. La célula es la unidad estructural de la materia viva, y una célula puede ser suficiente para constituir un organismo.
  • Jan E. Purkinje

    Jan E. Purkinje

    Nombre de protoplasma para designar el contenido vivo de la célula.
  • Cromosomas

    Cromosomas

    los cromosomas fueron descubiertos por Karl Wilhelm von Nägeli. Los cromosomas son estructuras que se encuentran en el centro (núcleo) de las células que transportan fragmentos largos de ADN. E
  • Rudolf Virchow

    Rudolf Virchow

    Consideró a la célula como unidad estructural, todas las células se originan a partir de otras. Tratado Omnis cellula e cellula.
  • Teoría Celular

    Teoría Celular

    1. todo ser vivo está formado por una o más células.
    2. La célula es lo más pequeño que tiene vida propia: es la unidad anatómica y fisiológica del ser vivo. 3.Toda célula procede de otra célula preexistente.
    3. El material hereditario pasa de la célula madre a las hijas.
  • Walther Flemming

    Walther Flemming

    Descubre las estructuras coloreables del núcleo y el comportamiento de la sustancia nuclear
  • Édouard Pierre Léon Chatton

    Édouard Pierre Léon Chatton

    fue el primero en distinguir entre los organismos eucariontes, aquellos con células con núcleo, y los procariontes, que son anucleados.
  • Ramón y Cajal

    Ramón y Cajal

    Las células neuronales actúan de manera independiente al contacto y que son células especializadas
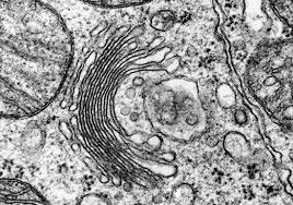
  • Complejo de Golgi

    Complejo de Golgi

    Fue reportado por primera vez por el científico español Santiago Ramón y Cajal en el 1897,​ y luego descrito en gran detalle por el científico italiano Camillo Golgi, al cual debe su nombre y quien fue Premio Nobel de Medicina en 1906 junto a Santiago Ramón y Cajal. El complejo de Golgi elabora proteínas y moléculas de lípidos (grasa) para su uso en otros lugares dentro y fuera de la célula.
  • Membrana Plasmática

    Membrana Plasmática

    Overton —un primo lejano de Charles Darwin— fue el primero en proponer el concepto de una membrana plasmática lipídica en 1899. La membrana plasmática protege a la célula.
  • Reticulo endoplasmatico liso y grueso

    Reticulo endoplasmatico liso y grueso

    A pesar de su tamaño, el retículo endoplasmático fue descrito con el microscopio óptico después que otros orgánulos. Fue inicialmente descrito en 1902 por A. Veratti (discípulo de Camilo Golgi). El retículo endoplasmático liso carece de ribosomas y ayuda a sintetizar y concentrar las diversas sustancias que necesita la célula. El retículo endoplasmático rugoso contiene ribosomas, que son pequeños y redondos orgánulos cuya función es fabricar estas proteínas.
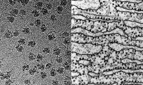
  • Ribosomas

    Ribosomas

    Los ribosomas se observaron por primera vez en la década del ´30 por Albert Claude quien los llamó microsomas. Recién en la década del ´50 George Palade observó a estos orgánulos a través de microscopía electrónica. Un ribosoma es una partícula celular hecha de ARN y proteína que sirve como el sitio para la síntesis de proteínas en la célula.
  • Microtúbulos

    Microtúbulos

    Fue el descubridor de los microtúbulos en el interior de la célula, avance que permitió el perfeccionamiento de muchas drogas acelerando su metabolización. Los microtúbulos intervienen en diversos procesos celulares que involucran desplazamiento de vesículas de secreción, movimiento de orgánulos, transporte intracelular de sustancias, así como en la división celular
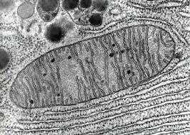
  • Mitocondria

    Mitocondria

    En 1934 fueron aisladas por primera vez a partir de homogeneizados de hígado y en 1948 Hogeboon, Schneider y Palade establecen definitivamente la mitocondria como el lugar donde se produce la respiración celular. Las mitocondrias son los orgánulos celulares que generan la mayor parte de la energía química necesaria para activar las reacciones bioquímicas de la célula.
  • Peroxisomas

    Peroxisomas

    Los peroxisomas (microcuerpos) fueron descritos por primera vez por un estudiante doctoral sueco, J. Rhodin en 1954​. Fueron identificados como orgánulos oxidativos por el citólogo belga Christian de Duve en 1967​. Los peroxisomas deben su nombre a su capacidad de producir peróxido de hidrógeno.
  • Centriolos

    Centriolos

    El hecho de que los centrosomas se encuentren frecuentemente alterados en las células cancerosas fue una observación temprana realizada por el descubridor de este orgánulo, Theodor Boveri, a finales del siglo XIX. Los centriolos tienen la función de organizar los microtúbulos
  • Flagelos

    Flagelos

    Hay bacterias que exhiben un maravilloso dispositivo de natación, el flagelo, que no tiene su semejante en células más complejas. En 1973 se descubrió que algunas bacterias nadan haciendo girar sus flagelos. Anton Van Leewenhoek Normalmente los flagelos son usados para el movimiento, aunque algunos organismos pueden utilizarlos para otras funciones.
  • Lisosomas

    Lisosomas

    Los lisosomas fueron descubiertos por el bioquímico belga Christian de Duve en 1974. En un principio se pensó que los lisosomas serían iguales en todas las células, pero se descubrió que tanto sus dimensiones como su contenido son muy variables. Los lisosomas son orgánulos celulares unidos a la membrana que contienen enzimas digestivas.
  • Microfilamentos

    Microfilamentos

    Tras el descubrimiento del citoesqueleto por el biólogo Keith Porter a principios de los años 80, el Dr. Donald Ingber consideró que, desde un punto de vista mecánico, la célula se comportaba de manera similar a estructuras arquitectónicas denominadas estructuras de tensegridad. Su función principal es la de darle estabilidad a la célula, le dan la estructura y el movimiento. Solo están presentes en células de organismos supracelulares.

Plan projects on a visual timeline

Map milestones, phases, deadlines, and key events in one place so the sequence is easier to see and share. Timetoast is a timeline maker for work, school, research, and stories.