Reso 2

Resonancia Magnética Nuclear _James Paladines_154006

  • Descubrimiento de la RMN

    Descubrimiento de la RMN

    Félix Bloch y Edward Purcell fueron galardonados con el premio nobel fe física por hacer descubierto, el fenómeno de la RM en 1946.
  • Desarrollo de la RMN

    Desarrollo de la RMN

    Entre 1950 y 1970 la resonancia magnética nuclear se fue desarrollando y se utilizaba para análisis molecular físico-químico.
  • Se comienza a explorar contra el cancer.

    Se comienza a explorar contra el cancer.

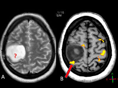
    En 1971 Raymond Damadian demostró que podía ser útil en el diagnostico contra el cáncer basándose en la observación de tejidos patológicos.
  • Primer Resonador Magnetico Nuclear completo.

    Primer Resonador Magnetico Nuclear completo.

    En el año de 1972 Damamian creó el primer equipo de resonancia magnética.
  • 1er. Metodo de Detecion Cancerigena con RMN

    1er. Metodo de Detecion Cancerigena con RMN

    1974 se otorga la patente al invento “ Aparato y método detector cancerígenos” esta fue la primera que se dio en resonancia.
  • 1ra. Codificacion entre la Fase y Frecuencia del RMN

    1ra. Codificacion entre la Fase y Frecuencia del RMN

    En 1975 Richard Ernst empleo una codificación de fase y de frecuencia que constituye la base para la obtención de imágenes de RM en la actualidad.
  • Imagen Neco Planar

    Imagen Neco Planar

    1978 Mansfield y Pykett desarrollaron la imagen neco planar la cual permitía la adquisición de todos los datos necesarios para reconstruir una imagen en una fracción de segundo, tras un único pulso de Rf, lo que permitió gran avance científico como la evaluación radiológica del Ictus o en la imagen funcional cerebral. Los planos mas habituales son los ortogonales sagital, coronal y axial.
  • Imágenes con Método Diagnostico que Eliminaba el Uso de Radiación

    Imágenes con Método Diagnostico que Eliminaba el Uso de Radiación

    En 1980. La resonancia magnética nuclear es dada a conocer como productor de imágenes corporales un método diagnostico que eliminaba el uso de radiación para el paciente ofreciendo imágenes de alta resolución mediante cortes en cualquier dirección del espacio.
  • Mansfield y Lauterbu Reciben el Premio Nobel de Medicina

    Mansfield y Lauterbu Reciben el Premio Nobel de Medicina

    En 2003 Reciben el premio Nobel de medicina Mansfield y Lauterbu, por su aporte a las imágenes de resonancia magnética.

Want to make a timeline like this?

Use Timetoast to turn dates, events, milestones, and phases into a clear visual timeline you can build and share. Timetoast is a timeline maker for work, school, research, and stories.