Anotación 2020 03 19 195143

2020-03-25.ACT7-Martin_Ana

  • Paciente hipertensa bajo tratamiento

    Paciente hipertensa bajo tratamiento

    La paciente refiere ser hipertensa desde hace 4 años, esta medicada con Losartán 1 tableta de 50 mg cada 24 hrs
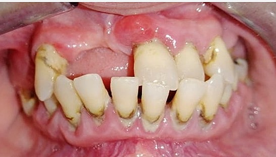
  • Fotografía intraoral

    Fotografía intraoral

    Encontrando movilidad de múltiples OD y la presencia de sarro supragingival y subgingival
  • Serie radiográfica

    Serie radiográfica

    Se tomó la serie radiográfica para verificar cuanta pérdida de hueso presenta la paciente
  • Fase higiénica

    Fase higiénica

    Se retiró todo el sarro supragingival con ayuda del cavitrón y explicar su nueva técnica de cepillado (Bass modificada)
  • Fase 1 periodontal (curetaje cerrado)

    Fase 1 periodontal (curetaje cerrado)

    Se realizó fase 1 en los cuatro cuadrantes con curetas gracey 5/6 para anteriores, 13/14 y 15/16 para posteriores, para poder retirar el sarro subgingival existente.
  • Exodoncias múltiples

    Se realizará las exodoncias de los OD 1.2, 1.7, 1.8, 2.7, 2.8, 3.1,3.2, 4.1,4.2 y de los restos radiculares 1.5 y 2.5
  • Colocación de prótesis transitoria

    Se colocará para ayudar a la coagulación de las exodoncias y para levantar la dimensión vertical del paciente
  • Endodoncias

    Se realizara el inicio de las endodoncias en los OD 1.3 y 2.3
  • Endodoncias

    Se realizará la obturación final de las endodoncias de los OD 1.3 y 2.3
  • Preparación prótesica de los OD 1.3 y 2.3

    Realizar la preparación prótesica para coronas de metal-porcelana
  • Prueba de metal y de rodete

    Se realizará la prueba de la cofia metálica en los OD 1.3 y 2.3 y se probará el rodete para poder tomar la mordida del paciente
  • Prueba de bizcocho y de enfilado

    Prueba de bizcocho de los O.D. 1.3 y 2.3 y del enfilado de las prótesis removibles
  • Resina

    Cambio de amalgama filtrada del O.D. 36 por resina compuesta
  • Entrega de las prótesis parciales removibles

    Se entregará verificando la estabilidad, soporte y si existen puntos altos en la oclusión
  • Cementación de coronas metal-porcelana

    Se cementarán las coronas de metal-porcelana y se verificará la existencia de puntos altos
  • Caso terminado

    Se logró recuperar la dimensión vertical de la paciente y su salud periodontal, la paciente queda satisfecha con los tratamientos realizados