- 
  
   Nikola Tesla registró en 1891 la madre de sus más de 300 patentes, la que hoy conocemos como ‘bobina de Tesla’, un transformador eléctrico compuesto por varios circuitos resonantes acoplados. El propio inventor utilizó diferentes variantes de esta bobina como base para multitud de experimentos posteriores, con los que estudió fenómenos como la fosforescencia o los rayos X, y exploró nuevas posibilidades para el alumbrado eléctrico y la transmisión de energía sin cables. Nikola Tesla registró en 1891 la madre de sus más de 300 patentes, la que hoy conocemos como ‘bobina de Tesla’, un transformador eléctrico compuesto por varios circuitos resonantes acoplados. El propio inventor utilizó diferentes variantes de esta bobina como base para multitud de experimentos posteriores, con los que estudió fenómenos como la fosforescencia o los rayos X, y exploró nuevas posibilidades para el alumbrado eléctrico y la transmisión de energía sin cables.
- 
  
   En 1895 fue el descubrimiento de los rayos X por Wilhelm Conrorad Rontgen científico Alemán que descubrió una radiación de origen desconocido en aquel momento y de ahí su nombre de Rayos X, la cual tenia la propiedad de penetrar los cuerpos opacos. En 1895 fue el descubrimiento de los rayos X por Wilhelm Conrorad Rontgen científico Alemán que descubrió una radiación de origen desconocido en aquel momento y de ahí su nombre de Rayos X, la cual tenia la propiedad de penetrar los cuerpos opacos.
- 
  
   Se observo que los Rayos X podrían producir efectos nocivos para la salud ya que la exposición a altas dosis de radiación ionizante puede causar quemaduras de la piel, caída del cabello, náuseas, enfermedades y la muerte. Se observo que los Rayos X podrían producir efectos nocivos para la salud ya que la exposición a altas dosis de radiación ionizante puede causar quemaduras de la piel, caída del cabello, náuseas, enfermedades y la muerte.
- 
  
   Se conoce como “tubo de rayos X” al lugar físico donde se genera esta radiación electromagnética, mediante un proceso en el cual los electrones acelerados son frenados al colisionar contra un material blanco. Se conoce como “tubo de rayos X” al lugar físico donde se genera esta radiación electromagnética, mediante un proceso en el cual los electrones acelerados son frenados al colisionar contra un material blanco.
- 
  
   Becquerel, que se ocupó del estudio de la acción de la luz sobre ciertas sustancias, así como la fosforescencia de las sales de uranio, empaquetó un fragmento de roca que contenía uranio (una sal de uranio) en un papel negro. Becquerel, que se ocupó del estudio de la acción de la luz sobre ciertas sustancias, así como la fosforescencia de las sales de uranio, empaquetó un fragmento de roca que contenía uranio (una sal de uranio) en un papel negro.
 Después de un tiempo, desarrollando los azulejos, notó que las piedras habían sido impresas con mucha precisión.
 De esta forma, Antoine-Henri Becquerel dedujo que este fenómeno era característico del átomo del uranio, descubriendo así la radiactividad natural.
- 
  
   Becquerel, que se ocupó del estudio de la acción de la luz sobre ciertas sustancias, así como la fosforescencia de las sales de uranio, empaquetó un fragmento de roca que contenía uranio (una sal de uranio) en un papel negro. Becquerel, que se ocupó del estudio de la acción de la luz sobre ciertas sustancias, así como la fosforescencia de las sales de uranio, empaquetó un fragmento de roca que contenía uranio (una sal de uranio) en un papel negro.
 Después de un tiempo, desarrollando los azulejos, notó que las piedras habían sido impresas con mucha precisión.
 De esta forma, Antoine-Henri Becquerel dedujo que este fenómeno era característico del átomo del uranio, descubriendo así la radiactividad natural.
- 
  
   Thomas Alva Edison monto un espectáculo especial sobre los rayos Roentgen en la exposición de luz eléctrica en la ciudad de New York. las personas podía echar un vistazo dentro de su propio cuerpo Thomas Alva Edison monto un espectáculo especial sobre los rayos Roentgen en la exposición de luz eléctrica en la ciudad de New York. las personas podía echar un vistazo dentro de su propio cuerpo
- 
  
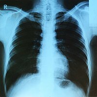
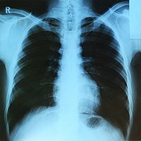
   Thomas Edison inventó un fluoroscopio modificado con una pantalla de tungsteno. La fluoroscopia de tórax se introdujo poco después y permitió al radiólogo observar segmentos de los pulmones y el mediastino. Thomas Edison inventó un fluoroscopio modificado con una pantalla de tungsteno. La fluoroscopia de tórax se introdujo poco después y permitió al radiólogo observar segmentos de los pulmones y el mediastino.
- 
  
   Henri Becquerel, Descubrió que ciertas sales de Uranio, emiten radiaciones espontáneamente. Hizo ensayos en frio, caliente, polvorizado y envueltos en acido. La intensidad era la misma, lo que se le llamo a esto radiactividad. Henri Becquerel, Descubrió que ciertas sales de Uranio, emiten radiaciones espontáneamente. Hizo ensayos en frio, caliente, polvorizado y envueltos en acido. La intensidad era la misma, lo que se le llamo a esto radiactividad.
- 
  
   Se descubre por primera vez las desventajas de los Rx por los efectos biológicos adversos como pérdida del cabello, eritema, dermatitis etc. así que los investigadores empezaron a buscar soluciones técnicas a la exposición a la radiación Se descubre por primera vez las desventajas de los Rx por los efectos biológicos adversos como pérdida del cabello, eritema, dermatitis etc. así que los investigadores empezaron a buscar soluciones técnicas a la exposición a la radiación
- 
  
   Marie Curie, se dedico al estudio de la radioactividad de las sales de Uranio, ya que se encontraban muy interesada en los descubrimientos de Wilherm R. y Henrí B. Marie Curie, se dedico al estudio de la radioactividad de las sales de Uranio, ya que se encontraban muy interesada en los descubrimientos de Wilherm R. y Henrí B.
 También utilizando las tecnicas desarrolladas por su esposo Perrie.
 Pudo medir las radiaciones de Pechblenda (Mineral) que contiene uranio.
- 
  
   Thomson sugirió que un átomo consistía en una esfera de electricidad positiva en la que se distribuía una cantidad igual de carga negativa en forma de pequeños electrones Thomson sugirió que un átomo consistía en una esfera de electricidad positiva en la que se distribuía una cantidad igual de carga negativa en forma de pequeños electrones
- 
  
   Pierre Curie, y su esposa, Marie, presentaron una importante Memoria en la Academia francesa de Ciencias. En ella Marie, que en su tesis doctoral estudiaba específicamente los llamados “rayos de Becquerel” (radiaciones de naturaleza desconocida, emitidas espontáneamente por algunos metales como el uranio). Esta investigación dio pie al descubrimiento de un metal desconocido, al que decidieron llamar “polonio”, basándose en el nombre del país de origen de Marie. Pierre Curie, y su esposa, Marie, presentaron una importante Memoria en la Academia francesa de Ciencias. En ella Marie, que en su tesis doctoral estudiaba específicamente los llamados “rayos de Becquerel” (radiaciones de naturaleza desconocida, emitidas espontáneamente por algunos metales como el uranio). Esta investigación dio pie al descubrimiento de un metal desconocido, al que decidieron llamar “polonio”, basándose en el nombre del país de origen de Marie.
- 
  
   La radiación ionizante forma parte de nuestra vida cotidiana, ya que es un agente natural con el que convivimos. Es más, como dijo Eric J.Hall, Profesor de la Universidad de Columbia (Nueva York): "La vida en la tierra se ha desarrollado en presencia de radiación. No es nada nuevo, inventado por el hombre. La radiación siempre ha estado aquí". La radiación ionizante forma parte de nuestra vida cotidiana, ya que es un agente natural con el que convivimos. Es más, como dijo Eric J.Hall, Profesor de la Universidad de Columbia (Nueva York): "La vida en la tierra se ha desarrollado en presencia de radiación. No es nada nuevo, inventado por el hombre. La radiación siempre ha estado aquí".
- 
  
   El tubo de Crookes es un cono de vidrio con un ánodo y dos cátodos. Es una invención pero más en parte una innovación del científico William Crookes en el siglo XIX, y es una versión más evolucionada del desarrollo del tubo de Geissler. El tubo de Crookes es un cono de vidrio con un ánodo y dos cátodos. Es una invención pero más en parte una innovación del científico William Crookes en el siglo XIX, y es una versión más evolucionada del desarrollo del tubo de Geissler.
- 
  
  Los esposo Curie junto a Becquerel recibían el premio nobel de fisica por el descubrimiento de la radiactividad.
- 
  
   Clarence Dally el entonces asistente principal de Thomas Alva Edison en show de Rx, muere por quemaduras causadas por los mismos (radiodermitis) convirtiéndose así en una de las primeras victimas de la radiación. Clarence Dally el entonces asistente principal de Thomas Alva Edison en show de Rx, muere por quemaduras causadas por los mismos (radiodermitis) convirtiéndose así en una de las primeras victimas de la radiación.
- 
  
   Einstein fue el primero en proponer que la equivalencia entre masa y energía es un principio general que es real y una consecuencia de las simetrías del espacio y del tiempo. Einstein fue el primero en proponer que la equivalencia entre masa y energía es un principio general que es real y una consecuencia de las simetrías del espacio y del tiempo.
 Con la teoría de que la masa podría convertirse enteramente en energía, en forma de luz, calor y radiaciones ionizantes.
- 
  
   EL Tubo de vacío, tiene un cátodo, que emite electrones en el vacío y un ánodo para recoger los electrones, estableciendo así un flujo de corriente eléctrica, conocida como la viga, a través del tubo. Una alta tensión de fuente de alimentación, por ejemplo 30 a 150 kilovoltios, llamada la tensión del tubo, está conectado a través del cátodo y el ánodo para acelerar los electrones. El de rayos X espectro depende del material de ánodo y el voltaje de aceleración EL Tubo de vacío, tiene un cátodo, que emite electrones en el vacío y un ánodo para recoger los electrones, estableciendo así un flujo de corriente eléctrica, conocida como la viga, a través del tubo. Una alta tensión de fuente de alimentación, por ejemplo 30 a 150 kilovoltios, llamada la tensión del tubo, está conectado a través del cátodo y el ánodo para acelerar los electrones. El de rayos X espectro depende del material de ánodo y el voltaje de aceleración
- 
  
   William Henry Bragg Argumentó que los Rx no eran radiación electromagnética. William Henry Bragg Argumentó que los Rx no eran radiación electromagnética.
- 
  
   Ernest Rotherfor, halló que la radiactividad iba acompañada por una desintegración de los elementos, lo que le valió para ganar el Premio Nobel de Química en 1908. Ernest Rotherfor, halló que la radiactividad iba acompañada por una desintegración de los elementos, lo que le valió para ganar el Premio Nobel de Química en 1908.
 Se le debe un modelo atómico, con el que probó la existencia del núcleo atómico, en el que se reúne toda la carga positiva y casi toda la masa del átomo.
- 
  
   En 1912, Max Von Lau quiso demostrar la naturaleza ondulatoria de esta nueva radiación Colocando: cristales de sulfatos de cobre y de blenda frente a los rayos X. Obteniendo la confirmación de su hipótesis y demostrando al mismo tiempo a naturaleza periódica de los cristales En 1912, Max Von Lau quiso demostrar la naturaleza ondulatoria de esta nueva radiación Colocando: cristales de sulfatos de cobre y de blenda frente a los rayos X. Obteniendo la confirmación de su hipótesis y demostrando al mismo tiempo a naturaleza periódica de los cristales
- 
  
   El tubo de crookes fue mejorando y esto gracias a William Coolidge en 1913. El tubo Cooligde, es también conocido como ( tubo de cátodo caliente), ha estado en uso desde entonces con algunas modificaciones sobre el diseño básico El tubo de crookes fue mejorando y esto gracias a William Coolidge en 1913. El tubo Cooligde, es también conocido como ( tubo de cátodo caliente), ha estado en uso desde entonces con algunas modificaciones sobre el diseño básico
- 
  
   En 1917, durante la Primera Guerra Mundial, Coolidge desarrolló un generador portátil de rayos X y un tubo de rayos inmerso en aceite que podía ser manipulado sin riesgo. Cuatro años después aumentó su contribución mediante la explicación del efecto de enfriamiento catódico, que limita el voltaje a utilizar en un tubo dado. En 1917, durante la Primera Guerra Mundial, Coolidge desarrolló un generador portátil de rayos X y un tubo de rayos inmerso en aceite que podía ser manipulado sin riesgo. Cuatro años después aumentó su contribución mediante la explicación del efecto de enfriamiento catódico, que limita el voltaje a utilizar en un tubo dado.
- 
  
   Nace la comisión internacional para las unidades y medidas de radiación. (ICRU) Nace la comisión internacional para las unidades y medidas de radiación. (ICRU)
 Se reconoció la necesidad de cuantificar la exposición. En consecuencia analizando los tipos de riegos que pueden estar expuestos por medio de los rayos X existentes.
- 
  
   se realizo el primer congreso con base a las medidas contra los Rayos X y el Radio adoptó el roentgen como unidad de exposición a los rayos X y a las radiaciones gamma. se realizo el primer congreso con base a las medidas contra los Rayos X y el Radio adoptó el roentgen como unidad de exposición a los rayos X y a las radiaciones gamma.
- 
  
   se produce cuando un material estable se ha hecho radiactivo por exposición a cierta radiación. Si la energía de estas partículas tiene un valor adecuado, penetran el núcleo bombardeado y forman un nuevo núcleo que, en caso de ser inestable, se desintegra después de manera radioactiva. Fue descubierta por los esposos Frédéric Joliot-Curie e Irène Joliot-Curie, bombardeando núcleos de boro y de aluminio con partículas alfa. Observaron que las sustancias bombardeadas emitían radiaciones se produce cuando un material estable se ha hecho radiactivo por exposición a cierta radiación. Si la energía de estas partículas tiene un valor adecuado, penetran el núcleo bombardeado y forman un nuevo núcleo que, en caso de ser inestable, se desintegra después de manera radioactiva. Fue descubierta por los esposos Frédéric Joliot-Curie e Irène Joliot-Curie, bombardeando núcleos de boro y de aluminio con partículas alfa. Observaron que las sustancias bombardeadas emitían radiaciones
- 
  
   Los efectos genéticos y el riesgo de cáncer creciente, asociados a la exposición de radiación fueron reconocido por José Meller. Los efectos genéticos y el riesgo de cáncer creciente, asociados a la exposición de radiación fueron reconocido por José Meller.
- 
  
   La ICRP se estableció en 1928 en el segundo Congreso Internacional de Radiología para responder a las crecientes preocupaciones sobre los efectos de la radiación ionizante que se observa en la comunidad médica. En ese momento se llamó Comité Internacional de Protección de Rayos X y Radio (IXRPC) La ICRP se estableció en 1928 en el segundo Congreso Internacional de Radiología para responder a las crecientes preocupaciones sobre los efectos de la radiación ionizante que se observa en la comunidad médica. En ese momento se llamó Comité Internacional de Protección de Rayos X y Radio (IXRPC)
- 
  
   Los Rayos X y el Radio adoptó el Roentgen como unidad de exposición a los rayos X y a las radiaciones gamma. Los Rayos X y el Radio adoptó el Roentgen como unidad de exposición a los rayos X y a las radiaciones gamma.
 El Röntgen es una antigua unidad utilizada para medir el efecto de las radiaciones ionizantes. Se utiliza para cuantificar la exposición radiométrica, es decir, la carga total de iones liberada por unidad de masa de aire seco en condiciones estándar de presión y temperatura. En la actualidad, la unidad preferida para medir esta magnitud es el Coulomb por kilogramo (C/kg).
- 
  
   Un miembro de la Jet- Set, famoso Eben Byer murió después de ingerir una gran cantidad de radiación a lo largo de varios años. Un miembro de la Jet- Set, famoso Eben Byer murió después de ingerir una gran cantidad de radiación a lo largo de varios años.
- 
  
   En 1932 James Chadwick, descubrió la existencia del neutrón, su descubrimiento no solo le valió un premio Nobel a Chadwick, sino que también contribuyó al desarrollo de la fisión nuclear y de la bomba atómica. En 1932 James Chadwick, descubrió la existencia del neutrón, su descubrimiento no solo le valió un premio Nobel a Chadwick, sino que también contribuyó al desarrollo de la fisión nuclear y de la bomba atómica.
- 
  
   Irene Curie obtiene premio nobel de química junto a su esposo por el descubrimiento de la radioactividad artificial Irene Curie obtiene premio nobel de química junto a su esposo por el descubrimiento de la radioactividad artificial
- 
  
   Para esta época se dieron las recomendaciones sobre los limites de exposición evolucionaron gradualmente, de tal manera que se considera una persona sana cuando puede tolerar una exposición profesional a los rayos X y a las radiaciones gamma de hasta 0,2 roentgen. Por lo tanto no tiene ninguna manifestación de enfermedades como anemia o lesiones cutáneas, que pueda afectas al cuerpo humano. Para esta época se dieron las recomendaciones sobre los limites de exposición evolucionaron gradualmente, de tal manera que se considera una persona sana cuando puede tolerar una exposición profesional a los rayos X y a las radiaciones gamma de hasta 0,2 roentgen. Por lo tanto no tiene ninguna manifestación de enfermedades como anemia o lesiones cutáneas, que pueda afectas al cuerpo humano.
- 
  
   En este tiempo ocurrió el bombardeo de la Hiroshima que causó envenenamiento masivo a una gran escala de la radiación. Uno de los casos mas expuestos fue el de la actriz Midori Nara ya que su muerte fue la primera que se pudo documentaba oficialmente, como causa de un envenenamiento de la radiación. En este tiempo ocurrió el bombardeo de la Hiroshima que causó envenenamiento masivo a una gran escala de la radiación. Uno de los casos mas expuestos fue el de la actriz Midori Nara ya que su muerte fue la primera que se pudo documentaba oficialmente, como causa de un envenenamiento de la radiación.
- 
  
   Se presento un hecho relevante sobre dos científicos de EEUU, que murieron después de trabajar con los materiales fisibles sin usar la ropa protectora o blindada Se presento un hecho relevante sobre dos científicos de EEUU, que murieron después de trabajar con los materiales fisibles sin usar la ropa protectora o blindada
- 
  
   En 1950 fue reestructurada y rebautizada con el nombre actual "comisión" es una sociedad de beneficencia independiente sin ánimo de lucro. En 1950 fue reestructurada y rebautizada con el nombre actual "comisión" es una sociedad de beneficencia independiente sin ánimo de lucro.
- 
  
   Para este tiempo se pudo lograr que la luminosidad de la imagen brindada por la pantalla radioscópica fuera tan clara como la observada en una pantalla, eliminando la famosa adaptación a la oscuridad, de ello derivó el radiocine y el telecomando, permitiendo además el perfeccionamiento de las técnicas radiográficas de Para este tiempo se pudo lograr que la luminosidad de la imagen brindada por la pantalla radioscópica fuera tan clara como la observada en una pantalla, eliminando la famosa adaptación a la oscuridad, de ello derivó el radiocine y el telecomando, permitiendo además el perfeccionamiento de las técnicas radiográficas de
 doble contraste, las angiografías, la aparición de las memorias analógicas y digitales, la técnica de sustracción (angiografo por sustracción digital).
- 
  
   Para este entonces se valido la tasa de dosis permisibles y recomendadas de radiación; La dosis recomendados era entonces 0.3 Roentgen por semana de trabajo para los rayos X y las radiaciones gamma penetrantes 1,5 roentgen por semana de trabajo para radiaciones que afectaban únicamente los tejidos superficiales y 0,03 roentgen por semana de trabajo para las neutrones. Para este entonces se valido la tasa de dosis permisibles y recomendadas de radiación; La dosis recomendados era entonces 0.3 Roentgen por semana de trabajo para los rayos X y las radiaciones gamma penetrantes 1,5 roentgen por semana de trabajo para radiaciones que afectaban únicamente los tejidos superficiales y 0,03 roentgen por semana de trabajo para las neutrones.
- 
  
   En 1953 la ICRU sugirió el concepto como (dosis de radiación absorbida) o unidad de dosis absorbida (o sea, la energía transmitida por la radiación a una unidad de masa de tejido). En 1953 la ICRU sugirió el concepto como (dosis de radiación absorbida) o unidad de dosis absorbida (o sea, la energía transmitida por la radiación a una unidad de masa de tejido).
- 
  
   La CIPR introdujo el rem (roentgen equivalente humano) como unidad de dosis absorbida, considerada por la forma en que los diferentes tipos de radiación distribuyen la energía . La CIPR introdujo el rem (roentgen equivalente humano) como unidad de dosis absorbida, considerada por la forma en que los diferentes tipos de radiación distribuyen la energía .
- 
  
   Se publicaron numerosos informes sobre el fundamento científico de la protección radiológica, la vigilancia de los radio-nucleídos incorporados, y la aplicación de las recomendaciones. Se publicaron numerosos informes sobre el fundamento científico de la protección radiológica, la vigilancia de los radio-nucleídos incorporados, y la aplicación de las recomendaciones.
- 
  
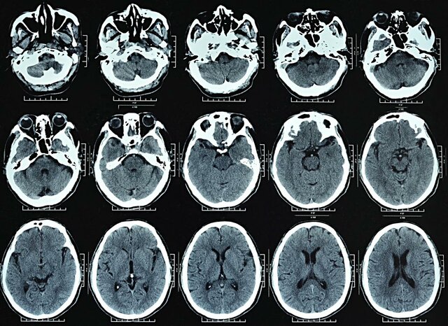
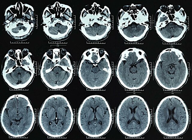
   El aporte del Físico inglés Sir Godfrey Houndsfield El aporte del Físico inglés Sir Godfrey Houndsfield
 presenta su scanner y su técnica de la TAC, de gran trascendencia en la historia de la radiología. Órganos nunca visualizados radiológicamente se expusieron con gran claridad ante nuestros ojos: El encéfalo, cuyo estudio se realizaba solo en forma indirecta a través de la neuro-encefalografia de la ventriculografía y de la angiografía.
- 
  
   Se revisa las recomendaciones básicas que se presentaron en 1977 para examinar y actualizar, con el fin de elaborar un conjunto único de recomendaciones básicas lo más claras posibles y de tener una explicación y referencia de la información científica del momento. Se revisa las recomendaciones básicas que se presentaron en 1977 para examinar y actualizar, con el fin de elaborar un conjunto único de recomendaciones básicas lo más claras posibles y de tener una explicación y referencia de la información científica del momento.
- 
  
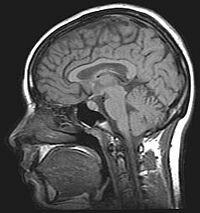
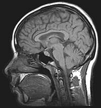
   En 1979, cuando Houndsfield (ver figura 3) pronunciaba su discurso de agradecimiento durante la recepción del premio nobel de medicina anuncio la aparición de un nuevo método de mayor valor que la Tomografía Axial Computarizada TAC, se refería a la Resonancia Magnética Nuclear como productor de imágenes corporales, lo cual se hizo realidad a partir de 1980, un método de diagnóstico que eliminaba el uso de la radiación para el paciente. En 1979, cuando Houndsfield (ver figura 3) pronunciaba su discurso de agradecimiento durante la recepción del premio nobel de medicina anuncio la aparición de un nuevo método de mayor valor que la Tomografía Axial Computarizada TAC, se refería a la Resonancia Magnética Nuclear como productor de imágenes corporales, lo cual se hizo realidad a partir de 1980, un método de diagnóstico que eliminaba el uso de la radiación para el paciente.
- 
  
   En este año, llegó al país la Xerorradiografía, lo que permitió aplicarla fundamentalmente en los estudios de los problemas de seno así como en la localización de cuerpos extraños de partes blandas En este año, llegó al país la Xerorradiografía, lo que permitió aplicarla fundamentalmente en los estudios de los problemas de seno así como en la localización de cuerpos extraños de partes blandas
- 
  
   En sus Recomendaciones de 1990 (ICRP, 1991b), la Comisión redefinió las magnitudes de dosis relacionadas con el cuerpo. Para los propósitos de la protección, fue definida como la magnitud básica la dosis absorbida promediada en un órgano o tejido En sus Recomendaciones de 1990 (ICRP, 1991b), la Comisión redefinió las magnitudes de dosis relacionadas con el cuerpo. Para los propósitos de la protección, fue definida como la magnitud básica la dosis absorbida promediada en un órgano o tejido
- 
  
   Se plasmo un marco conceptual para evaluar el impacto de la radiación ionizante en el medio ambiente. Se plasmo un marco conceptual para evaluar el impacto de la radiación ionizante en el medio ambiente.
- 
  
   En el 2007 hicieron la publicación 103 que era una revisión de las mismas, así mismo lograron recoger las novedades científicas tanto en los avances de la radiobiología como de la física delas radiaciones ionizantes. algo para destacar de esta publicación fue que dedicarón un capitulo a la protección del medio ambiente En el 2007 hicieron la publicación 103 que era una revisión de las mismas, así mismo lograron recoger las novedades científicas tanto en los avances de la radiobiología como de la física delas radiaciones ionizantes. algo para destacar de esta publicación fue que dedicarón un capitulo a la protección del medio ambiente