Incr indirec 1

ODONTOLOGIA RESTAURADORA

  • Babilonios, Asirios, Egipcios Estruscos y Fenicios
    4500 BCE

    Babilonios, Asirios, Egipcios Estruscos y Fenicios

    Familiarizados con el oro practicaban coronas. (Restauración Indirecta)
  • Restauración de fundición
    300 BCE

    Restauración de fundición

    La evidencia del uso de la restauración de fundición se encontró en Mesopotamia donde se utilizó cobre para fundir.
  • August Taveau comienzo de la amalgama (Restauración Directa).

    August Taveau comienzo de la amalgama (Restauración Directa).

    Combinó plata y mercurio para formar una pasta de plata y dio como resultado el comienzo de la amalgama dental.
  • Comercialización de amalgama en Estados Unidos

    Comercialización de amalgama en Estados Unidos

    Los hermanos Crawcour hicieron comercio con la amalgama cortando plata de las monedas y agregando mercurio en exceso.
  • Pfaff de Alemania

    Pfaff de Alemania

    Desarrolló una técnica que permitió que los dientes de porcelana se usaran eficazmente en construcción de la base de la dentadura postiza.
  • Gutapercha

    Gutapercha

    Hill abogó por el uso de gutapercha junto con óxido de zinc eugenol como material de relleno temporal.
  • Lámina de oro cohesiva

    Lámina de oro cohesiva

    Arthur descubrió la lámina de oro cohesiva. Este fue el mayor avance de la odontología
  • Charles Stent

    Charles Stent

    El compuesto de modelado fue desarrollado para mejorar los inconvenientes de la gutapercha y provisto de plasticidad, estabilidad, fortalecimiento y coloración roja.
  • Oxicloruro de Zinc

    Oxicloruro de Zinc

    Se diseñó y se utilizó como material de relleno temporal a pesar de su baja calidad.
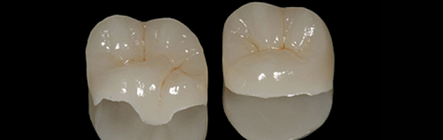
  • Incrustaciones Dentales

    Incrustaciones Dentales

    Después de la introducción del cemento dental oxicloruro de zinc, se utilizaron diversos materiales para la construcción de incrustaciones dentales, por ejemplo, porcelana rectificada y láminas de oro.
  • Fosfato de Zinc

    Fosfato de Zinc

    Exhibió propiedades mejoradas para ser utilizado como material de obturación y como cemento.
  • Dr. D. Philbrook

    Dr. D. Philbrook

    Describió un método de yeso para la restauración de dientes posteriores.
  • Dr. Charles Land Restauración Indirecta

    Dr. Charles Land Restauración Indirecta

    Patento las primeras coronas de cerámica.
  • Resinas de metacrilato de metilo de relleno directo.

    Resinas de metacrilato de metilo de relleno directo.

    Se inventaron las resinas de metacrilato de metilo de relleno directo.
  • Dr. Michael Buonocore

    Dr. Michael Buonocore

    Descubrió el ácido fosfórico para aumentar la unión mecánica de la resina al esmalte
  • RL Bowen (Restauración Directa)

    RL Bowen (Restauración Directa)

    Los esfuerzos y experimentos de RL Bowen llevaron a la invención de los composites, que casi dejó obsoleto el uso de silicato y resina acrílica de la odontología estética.
  • Dr William Youdelis

    Dr William Youdelis

    Desarrolló amalgama con alto contenido de cobre, lo que mejoró la integridad marginal a largo plazo.
  • McLean y Hughes

    McLean y Hughes

    Utilizaron un núcleo de matriz de vidrio que comprende de 40 a 50% en peso de Al2 O3 para fabricar la primera corona de porcelana totalmente cerámica (núcleo reforzado con alúmina
    cerámico).
  • Cemento de Ionomero de Vidrio (Restauración Directa)

    Cemento de Ionomero de Vidrio (Restauración Directa)

    Nombrado por primera vez por Wilson y Kent
  • Grossman

    Grossman

    La cerámica moldeable (Dicor) fue desarrollada más tarde por
    Grossman en 1972 en Corning Glass trabaja con baja flexión
    fuerza (150 MPa), lo que limita su aplicación para un
    restauración de una sola corona.
  • Robert Woofendale

    Robert Woofendale

    La lámina de oro fue introducida por primera vez en Estados Unidos y fue uno de los primeros materiales disponibles para la restauración de dientes
  • Ionomero de Vidrio mejorado por Simmons

    Ionomero de Vidrio mejorado por Simmons

    Para mejorar la resistencia a la abrasión, el GIC se modificó mediante la adición de plata para desarrollar una mezcla milagrosa o cermeto de plata por Simmons.
  • McLean y Gasser

    McLean y Gasser

    Introdujeron cemento de ionomero de vidrio mediante vidrio sinterizado y polvos metálicos para mejorar la resistencia al desgaste y la resistencia a la flexión.
  • Restauraciones de Ceramica

    Restauraciones de Ceramica

    Se introdujeron restauraciones de ceramica sin metal.Estas restauraciones fueron compuesto por un óxido de aluminio densamente sinterizado y de alta pureza (Al2O3) utilizando más del 99,9%, enchapado con un compatible porcelana dental de baja fusión.
  • Ailotabi

    Los materiales sensibles a los estímulos poseen propiedades que pueden modificarse considerablemente de forma controlada por estímulos externos. Estos estímulos pueden ser: cambio de temperatura, estrés mecánico, pH, humedad o campos eléctricos o magnéticos. Estos composites se utilizan para tratar la caries secundaria en la región de los dientes posteriores y han demostrado ser muy eficaces.