Odontogénesis

  • 1 CE

    Inicia lámina dental (6 semana I.U)

    Los dientes se desarrollan de brotes epiteliales que se desarrollan en la porción anterior de los maxilares y hacia posterior.​
  • 1 CE

    Forma el germen dentario

  • 1 CE

    Fases de la odontogénesis

    -Morfogénesis o morfodiferenciación ​
    Formación de los patrones coronarios y radicular de la división, el desplazamiento y organización en distintas poblaciones celulares. ​ -Histogénesis o Citodiferenciación ​
    Formación de tipos de tejidos dentarios: el esmalte, la dentina y la pulpa en los patrones formados ​.
  • 1 CE

    Mediante brotes epiteliales

    Formación del diente ​
    -Epitelio Ectodérmico ( esmalte)
    -Ectomesenquima​ (complejo ​dentino – pulpar, cemento , ligamento periodontal ​ y hueso alveolar )
  • 2

    Estadios

    Etapa de botón o yema, casquete, campana​, aposicional​ y desarrollo de la raíz​
  • Etapa de botón o yema
    2

    Etapa de botón o yema

    Diez engrosamientos del epitelio en el arco de la lámina dental, uno para cada diente infantil​.
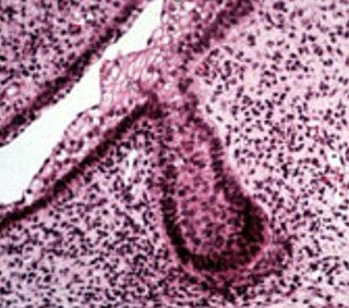
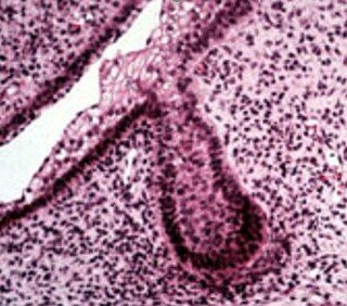
  • Etapa de casquete​
    2

    Etapa de casquete​

    Aparece el órgano del esmalte con tres capas: ​Epitelio externo​,Epitelio interno​ y Retículo estrellado​
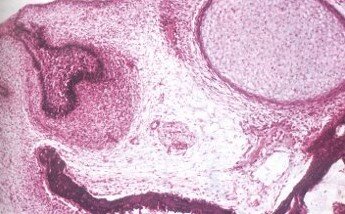
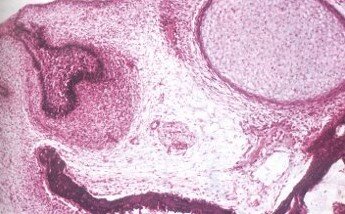
  • Etapa de campana​
    3

    Etapa de campana​

    -Campana TEMPRANA
    órgano del esmalte 4 capas:​Epitelio externo​, interno o preameloblástico​, Retículo estrellado​ y Estrato intermedio células planas​
    Papila dental sin diferenciar​
    Saco o folículo dental dos capas: fibrosa y celular​
    -Campana AVANZADA
    Cambios del órgano del esmalte:​Epitelio externo​, interno o ameloblastos jóvenes​, Retículo estrellado​y estrato intermedio células planas​
    Papila dental odontoblastos​
    Saco o folículo dental dos capas: fibrosa y celular​
  • Etapa aposicional​
    4

    Etapa aposicional​

    Depósito de matriz del esmalte sobre la dentina recién formada​
  • Formación del patrón radicular
    5

    Formación del patrón radicular

    Aparece la vaina radicular de Hertwig​, los odontoblastos forman la dentina radicular​, el saco dental forma cemento, ligamento periodontal y hueso alveolar​, restos epiteliales de Malassez​ ​

Looking for a timeline maker?

Create timelines for projects, roadmaps, history, lessons, legal cases, and stories with Timetoast. Timetoast is a timeline maker for work, school, research, and stories.