• Descubrimiento de la Enfermedad de Chagas

    Descubrimiento de la Enfermedad de Chagas

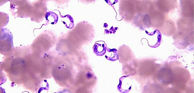
    Carlos Chagas descubre en Minas Gerais, Brasil el parásito Trypanosoma cruzi
  • Benznidazol y Nifurtimox

    Benznidazol y Nifurtimox

    Desde esta década los medicamentos aprobados y más difundidos para tratar la enfermedad de Chagas han sido el Benznidazol (BZ) y el Nifurtimox (NFX), con eficacia limitada (fase aguda 50-80%; fase crónica (0-20%)
  • Benznidazol pediátrico

    Benznidazol pediátrico

    La OMS incluyó en la lista de medicamentos esenciales para niños una formulación pediátrica BZ adaptada a la edad en niños de peso <20kg de 12.5 mg/tableta, luego de que un estudio clínico mostrará la eliminación completa de parásitos en Brasil, patrocinado por DNDi

Looking for a timeline maker?

Create timelines for projects, roadmaps, history, lessons, legal cases, and stories with Timetoast. Timetoast is a timeline maker for work, school, research, and stories.