Línea del tiempo "Neuropsicología clínica"

  • Periodo Preclásico (Hasta 1861)
    3500 BCE

    Periodo Preclásico (Hasta 1861)

    La primera referencia a una alteración cognoscitiva en caso de daño cerebral, concretamente una pérdida del lenguaje, aparece en Egipto hacia el año 3 500 aC,
  • Periodo Preclásico (Hasta 1861)
    400 BCE

    Periodo Preclásico (Hasta 1861)

    La primera referencia que reconoce claramente el papel del cerebro en una alteración cognoscitiva en caso de daño cerebral, se encuentra en el Corpus de Hipócrates. Hipócrates cita dos tipos de alteraciones: los áfonos y los anaudos, como subtipos de pérdidas del lenguaje.
  • Period: Jan 1, 1401 to Dec 31, 1500

    Periodo Preclásico (Hasta 1861)

    Antonio Guaneiro habla en el siglo XV de dos pacientes afásicos, uno de los cuales presenta un lenguaje fluente parafásico y el otro una afasia no fluida.
  • Period: to

    Periodo Preclásico (Hasta 1861)

    La primera descripción de un caso de alexia sin agrafia se debe a Gerolamo Mercuriale. Johann Schmitt y Peter Schmitt, en el siglo XVII, se refiere a varios pacientes afásicos con diferente sintomatología, incluyendo la incapacidad para denominar y repetir.
  • Period: to

    Periodo Preclásico (Hasta 1861)

    Durante el siglo XVIII se sabe de diferentes trastornos cognoscitivos, especialmente verbales: anomia y jerga (Gesner), agrafia (Linné), capacidad preservada para cantar (Dalin) e incluso disociación en la capacidad de leer en diferentes lenguas (Gesner).
  • Periodo Preclásico (Hasta 1861)

    Periodo Preclásico (Hasta 1861)

    Durante el siglo XIX surgen múltiples descripciones vinculadas a las secuelas posibles de daño cerebral sobre la actividad comportamental. Bouillaud distinguió en 1825 dos tipos de patologías del lenguaje, uno articulatorio y otro amnésico, correspondientes en general a las formas motora y sensorial de afasia.
  • Periodo Preclásico (Hasta 1861)

    Periodo Preclásico (Hasta 1861)

    En 1843 Lordat propuso una dicotomía similar al distinguir la pérdida de la capacidad para producir palabras (asinergia verbal) de la pérdida de la capacidad para recordarlas (amnesia verbal).
  • Periodo Clásico (1861-1945)

    Periodo Clásico (1861-1945)

    La Sociedad Antropológica de París presentó a comienzos de 1861 un cráneo primitivo, argumentando que había una relación directa entre la capacidad intelectual y el volumen limitado del cerebro. En abril, falleció un paciente que había sufrido pérdida del lenguaje y que era objeto de estudio de uno de los miembros de la Sociedad. El examen postmortem demostró que el enfermo presentaba una lesión grave en la zona frontal posterior, y Paul Broca presentó este caso.
  • Periodo Clásico (1861-1945)

    Periodo Clásico (1861-1945)

    Broca sugirió que ya que el paciente había perdido el lenguaje (afemia), la capacidad para hablar podía localizarse en la porción inferior posterior del lóbulo frontal,
    Broca declaró en 1865 que “La afemia se relaciona con lesiones de la tercera circunvolución frontal del hemisferio izquierdo del cerebro”. Actualmente se sabe que este dramático hallazgo se había dado a conocer unos 25 años atrás por Dax, cuyo trabajo nunca fue publicado y permaneció en el anonimato hasta Broca.
  • Periodo Preclásico (Hasta 1861)

    Periodo Preclásico (Hasta 1861)

    Ogle utilizó en 1867el término agrafia para referirse a la incapacidad para escribir.
  • Periodo Clásico (1861-1945)

    Periodo Clásico (1861-1945)

    El segundo gran avance en el enfoque localizacionista del lenguaje, Wernicke propuso la existencia de dos tipos de afasia: motora y sensorial, separables clínicamente y apoyó su punto de vista en correlaciones clínico/anatómicas. Postuló un tercer tipo de afasia, la afasia de conducción, basándose en la descripción diagramática de las áreas del cerebro que participan en el lenguaje. Dio a conocer un modelo de clasificación de las afasias al que se conocería como el esquema de Lichtheim-Wernicke.
  • Periodo Clásico (1861-1945)

    Periodo Clásico (1861-1945)

    La primera descripción sobre alteraciones perceptuales consecuentes al daño cerebral, observó que los perros con daño parcial y bilateral de los lóbulos occipitales no podían reconocer o reaccionar adecuadamente ante los objetos ya conocidos, aunque sí podían evitar los obstáculos colocados en su camino. interpretó esta incapacidad visual, no propiamente una ceguera, como una pérdida de la memoria de las imágenes de la experiencia visual previa, y la denominó ceguera psíquica.
  • Period: to

    Periodo Clásico (1861-1945)

    Lissauer presentó una primera descripción detallada de este fenómeno en seres humanos. Freud propuso el nombre agnosia, que finalmente reemplazó al de “ceguera psíquica” utilizado por Munk; asimbolia, empleado por Finkelnburg en 1870, e impercepción, propuesto por Jackson en 1864. Por agnosia se hacia referencia también a las alteraciones perceptuales auditivas, a los trastornos perceptuales somatosensoriales, falta de percepción del propio cuerpo y a la carencia de reconocimiento espacial
  • Periodo Clásico (1861-1945)

    Periodo Clásico (1861-1945)

    Liepmann introdujo el concepto de apraxia, para indicar la incapacidad de realizar determinados movimientos por orden verbal, sin que hubiera parálisis de la extremidad correspondiente. Distinguió tres tipos diferentes de apraxia: melocinética, ideomotora e ideacional.
  • Periodo Clásico (1861-1945)

    Periodo Clásico (1861-1945)

    Se cree que Rieger fue el primer investigador que llamó la atención sobre el hecho de que algunos pacientes con daño cerebral tienen dificultades para ensamblar objetos.
  • Period: to

    Periodo Clásico (1861-1945)

    Kleist (1912), y, posteriormente Poppelreuter (1917), hablaron de
    apraxia óptica para describir las dificultades que tienen algunos pacientes para realizar actividades que requieren un adecuado control visual de los movimientos, como dibujar, y que es evidentemente diferenciable de la apraxia idemotora. Diez años más tarde, el propio Kleist aportó el término apraxia construccional para designar las alteraciones en las actividades formativas.
  • Periodo Clásico (1861-1945)

    Periodo Clásico (1861-1945)

    Marie et al., (1922) utilizaron el término planotopoquinesia para referirse a un síndrome que incluye no sólo las dificultades para orientar los movimientos espaciales necesarios para vestirse, sino también trastornos en el cálculo y en la orientación en mapas.
  • Periodo Clásico (1861-1945)

    Periodo Clásico (1861-1945)

    Henry Head (1926) presenta una aproximación clínico-psicológica en el estudio de las afasias. Muchos afasiólogos, reconocen que el daño en ciertas áreas neuroanatómicas se asocia de manera consistente con ciertas formas de sintomatología afásica, pero su aproximación al lenguaje realza más la evidencia psicológica y lingüística que los hallazgos neurológicos o anatómicos.
  • Periodo Moderno (1945-1975)

    Periodo Moderno (1945-1975)

    La afasia traumática, publicado en ruso en 1947 por A.R. Luria, presenta una serie de propuestas originales acerca de la organización cerebral del lenguaje y de su patología, con base en la observación sistemática de centenares de heridos durante la guerra. Luria adoptó un punto de vista intermedio entre el localizacionismo y el antilocalizacionismo.
    Los procesos psicológicos representan sistemas funcionales
    complejos que requieren de muchos eslabones diferentes para su realización normal.
  • Periodo Moderno (1945-1975)

    Periodo Moderno (1945-1975)

    Se crea en el Instituto de Neurología de Montevideo (Uruguay) el
    llamado Laboratorio de Afecciones Corticocerebrales. En Inglaterra, Weigl,
    Warrington y Newcombe abordan los problemas del lenguaje, así como las alteraciones perceptuales.
    En España se crea, con la dirección de Barraquer-Bordas, un importante grupo de trabajo especializado en neuropsicología.
  • Period: to

    Periodo Moderno (1945-1975)

    Geschwind publicó en 1962 su primer artículo, y en 1965 apareció su trabajo más representativo: “Disconnection Syndromes in Animals and Man”.
    Geschwind desarrolló las ideas clásicas de Wernicke, de modo que su clasificación de los trastornos afásicos sigue claramente la interpretación de Wernicke-Lichtheim.
  • Period: to

    Periodo Contemporáneo (Desde 1975)

    En el campo de la neuropsicología se obtuvieron correlaciones clínico-anatómicas más precisas para diferentes síndromes y se incorporaron nuevas distinciones y clasificaciones (vg., Kertesz, 1983, 1994; Damasio y Damasio, 1989).
    No sólo se proponen diferentes subtipos para diversos síndromes neuropsicológicos, sino también las áreas “no clásicas” en neuropsicología resultan muy atractivas por su posible participación en procesos cognoscitivos.
  • Period: to

    Periodo Contemporáneo (Desde 1975)

    La rehabilitación de las secuelas cognoscitivas de lesiones cerebrales en general ha generado un enorme interés en los últimos años. Ha surgido también una nueva área de trabajo, conocida como rehabilitación cognoscitiva o rehabilitación neuropsicológica, que procura introducir procedimientos remediales en pacientes con daño cerebral no sólo en relación con las alteraciones del lenguaje, sino también con respecto a los trastornos cognoscitivos asociados.
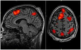
  • Periodo Contemporáneo (Desde 1975)

    Periodo Contemporáneo (Desde 1975)

    Se fortalece la investigación con el empleo de imágenes no ya anatómicas sino funcionales, en particular la resonancia magnética funcional y la tomografía por emisión de positrones.
    Asimismo, surge un nuevo modelo en la interpretación de la organización cerebral de la cognición, el denominado “modelo funcional”. Hasta este momento se había utilizado un “modelo lesional”.

Plan projects on a visual timeline

Map milestones, phases, deadlines, and key events in one place so the sequence is easier to see and share. Timetoast is a timeline maker for work, school, research, and stories.