Linea de tiempo Caso clinico # 1

  • Diabetes Mellitus tipo I

    Diabetes Mellitus tipo I

    El paciente fue diagnosticado a los 8 años con diabetes mellitus tipo I, la cual es controlada con dosis de insulina NPH; 30 unidades en la mañana y 10 unidades en la noche.
  • Inicio del transtorno

    Inicio del transtorno

    Inicio de parestesias en 2° y 3° dedos del miembro superior izquierdo.
  • 10 minutos luego del inicio del cuadro.

    10 minutos luego del inicio del cuadro.

    La parestesia se extiende del segundo y tercer dedo del miembro superior hasta el cuello.
  • 24 horas luego del comienzo del transtorno.

    24 horas luego del comienzo del transtorno.

    Presentó hemiparesia con consecuente incapacidad para la marcha.
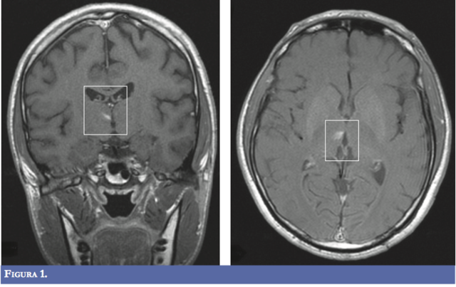
  • Resonancia magnética encefálica.

    Resonancia magnética encefálica.

    Se evidenció lesión que restringía la difusión, visible en FLAIR y T2.
  • Examen Paraclinico de ingreso.

    Examen Paraclinico de ingreso.

    -Glucometría 272 mg/ dl
    -Hb Glicosilada 15,8%.
  • Motivo de consulta

    Motivo de consulta

    Paciente consultó en el HUN, por cuadro clínico de 5 días de evolución de déficit motor con hemiplejia izquierda de inicio súbito.
  • Examen Físico

    Examen Físico

    Orientado
    -Presión arterial: 109/70 mm Hg
    -Frecuencia cardíaca: 74/min
    -Frecuencia respiratoria: 20/min
    -Saturación de oxígeno: 94%.
    -Sin disartria.
    -Sin compromiso de pares craneanos,
    -Isocórico normoreactivo a la luz de 3 mm.
    -Sin compromiso facial.
    -Arreflexia generalizada.
    -Babinski presente en pie izquierdo
    -Sin signos meníngeos.
    -Hemicuerpo derecho normal.
    -Plejía braquial 0/5 y paresia crural izquierdas 2/5.
  • Inicio de terapia física.

    Inicio de terapia física.

    Se inicia una serie de ejercicios basados en estiramientos pasivos sostenidos, movilizaciones pasivas por medio de patrones unilaterales, posicionamiento, fortalecimiento muscular, entrenamiento de agarre no y grueso y entrenamiento del patrón de marcha sin caminador, equilibrio y propiocepción.
  • Resultados de terapia física.

    Resultados de terapia física.

    Mejoró a paresia braquial izquierda 3/5 y 4/5 crural ipsilateral, hipotónico, con Babinski izquierdo. Parestesias de hemicuerpo izquierdo. Logró marcha parética, muy limitada.

A list shows items. A timeline shows sequence.

Use Timetoast to make dates, milestones, and turning points easier to understand in a clear visual format. Timetoast is a timeline maker for work, school, research, and stories.