Lactante menor

  • Lactante menor

    Lactante menor

    Es el periodo comprendido desde los 29 días hasta los 2 años
  • Crecimiento

    En esta etapa el bebé se desarrollara rápidamente, en el 1er cuatrimestre crecerá 750 gr mensuales, en el segundo cuatrimestre 500 gr mensuales y después del segundo cuatrimestre 250 gr mensuales
  • Desarrollo

    Desarrollo

    Neuromotor: Desarrollo de su aparato motriz, órganos sensoriales
    Cognoscitivo: Los estímulos quedaran grabados en su memoria
    Afectivo: Relación hijo-madre
  • Lactancia

    Lactancia

    Ayuda a:
    Neuromaduración
    Protege de múltiples enfermedades
    Optimiza la maduración del sistema inmune
    Uso correcto del sistema estomatognatico
  • Ablactación

    Ablactación

    Alimentación externa a la leche materna, debe hacerse gradual y progresiva a partir del cuarto mes de nacido
  • Uso de biberon

    Uso de biberon

    Solo debe usarse en caso de que sea imposible la amamantación natural
  • Desventajas del biberon

    Alteraciones del desarrollo de la cavidad bucal, mayor susceptibilidad a la caries, desarrollo de hábitos nocivos
  • Retiro del biberon

    Es alrededor de los 6 a 9 meses
  • Mordida abierta

    Mordida abierta

    Las consecuencias son una mordida abierta anterior y una posición más atrás de la mandíbula, provocada por la presión que ejerce la mano y el brazo.
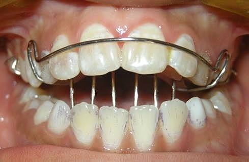
  • TRATAMIENTO

    TRATAMIENTO

    La simple colocación de un aparato fijo de INTERCEPCION impide el contacto del dedo con el paladar, de manera que el niño eliminará su hábito de forma gradual al no obtener el placer de succión.