F5

LA EVOLUCION DE LOS FLUORUROS

  • Se inicio la investigacion del fluor en odontologia por el Dr. Frederick Mckay

    Se inicio la investigacion del fluor en odontologia por el Dr. Frederick Mckay

  • El Dr Black colaboro en la enfermedad que manchaba los dientes.

    El Dr Black colaboro en la enfermedad que manchaba los dientes.

  • El Dr Black investigo la fluorosis por 6 años hasta su muerte.

    El Dr Black investigo la fluorosis por 6 años hasta su muerte.

  • Se formo una teoria del agua como agente causal de la enfermedad que manchaba los dientes.

    Se formo una teoria del agua como agente causal de la enfermedad que manchaba los dientes.

  • El Dr. Churchill redacto una carta de 5 paginas donde se mostraba el analisis tomado del agua.

    El Dr. Churchill redacto una carta de 5 paginas donde se mostraba el analisis tomado del agua.

  • El Dr. H. Trendley Dean Jefe de la unidad dental del Instituto Nacional de EUA, inicio una investigacion de epidemiologia de la fluorosis

    El Dr. H. Trendley Dean Jefe de la unidad dental del Instituto Nacional de EUA, inicio una investigacion de epidemiologia de la fluorosis

  • El Dr. H. Trendley Dean y su equipo de trabajo descubrieron los niveles criticos de fluor en el agua potable.

    El Dr. H. Trendley Dean y su equipo de trabajo descubrieron los niveles criticos de fluor en el agua potable.

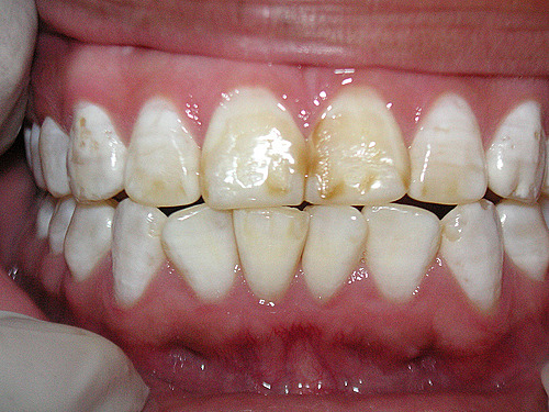
  • El Dr. Dean descubrio que los dientes con el esmalte moteado eran resistentes a la caries.

    El Dr. Dean descubrio que los dientes con el esmalte moteado eran resistentes a la caries.

  • En la ciudad de Grand Rapids llegó a ser la primera en fluorurar sus abastecimientos de agua potable.

    En la ciudad de Grand Rapids llegó a ser la primera en fluorurar sus abastecimientos de agua potable.

  • En Europa se empezó a usar el fluor en chicles, pasta de dientes, geles y en la sal de mesa para el consumo cotidiano.

    En Europa se empezó a usar el fluor en chicles, pasta de dientes, geles y en la sal de mesa para el consumo cotidiano.

Want to make a timeline like this?

Use Timetoast to turn dates, events, milestones, and phases into a clear visual timeline you can build and share. Timetoast is a timeline maker for work, school, research, and stories.