-
-
Observa “células” de corcho con un microscopio primitivo y lo que vio le recordó a las celdillas de un panal de abejas, de allí surge el nombre de Célula. Fuente imagen: http://2.bp.blogspot.com
-
Descubrió la presencia de "Animálculos" o "Infusorios" hirviendo trozos de carne, refiriéndose así a los animales Unicelulares. Fuente imagen: http://1.bp.blogspot.com/-FQooogl6XbY/T8T9sAgPXzI/
-
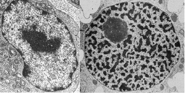
Estudiando bajo el microscopio a los tejidos vegetales de diferentes plantas observó que estas tenían una zona central mas oscura, a lo que llamo "areola" y luego "núcleo". Fuente imagen: https://1.bp.blogspot.com/_bXiAT6MOo8E/S4iC5YUdEWI/
-
Efectúa investigaciones microscópicas en donde observa el citoplasma celular. Fuente imagen: https://image.slidesharecdn.com/teoriacelularyorganeloscelulares-130527190315-phpapp02/95/teoria-celular-y-organelos-celulares-8-638.jpg?cb=1369681507
-
Botánico y Zoologo descubrieron que todos los animales y vegetales están formados por células. Dando lugar a dos postulados de la teoría celular. Fuente imagen: http://3.bp.blogspot.com/-e8ea-eNJZCE/VSBBiIzwBaI
-
Concluyo que todas las células proceden de otras células semejantes, dando lugar a un postulado de la teoría celular. Fuente imagen: https://encrypted-tbn0.gstatic.com/images?q=tbn:ANd9GcTq58G9QNrrOXe5pikbr1TstbvrNybGDb0m219gUzMKh9gDvtPK
-
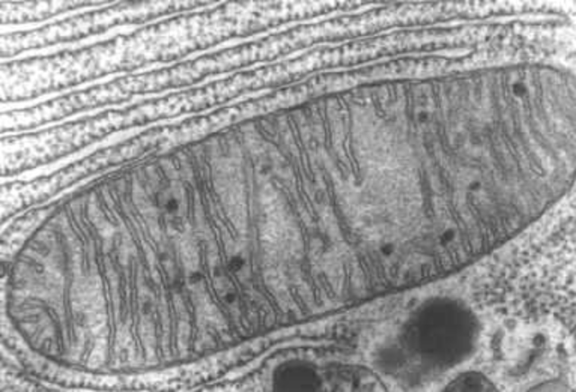
Anotó la presencia de unos gránulos en células musculares de insectos a los que denomino sarcosomas, los cuales tambien contaban con una membrana, luego serian llamadas mitocontrias. Fuente imagen: https://peer.tamu.edu/curriculum_modules/Cell_Biology/module_3/mitochondria_micrograph.jpg
-
Describe que las levaduras y microorganismos encontrados durante la fermentación y putrefacción provienen del aire. Fuente imagen: http://de10.com.mx/sites/default/files/styles/detalle_nota/public/2016
-
Descubrió que las células actuales comparten similitud estructural y molecular con células de tiempos remotos. Fuente imagen: https://2.bp.blogspot.com/-LA1N7A2Miow/UDWQ7z4mRkI/
Want to make a timeline like this?
Use Timetoast to turn dates, events, milestones, and phases into a clear visual timeline you can build and share. Timetoast is a timeline maker for work, school, research, and stories.