• Period: to

    A. H. Lippershey, Z. Janssen y H. Janssen

    Se les atribuye la invención del microscopio compuesto, es decir, colocar dos lentes de aumento, una a cada lado de un tubo. El perfeccionamiento de esta organización y de sus componentes permitiría observar más tarde a las células.
  • Period: to

    Galileo Galílei y Francisco Stelluti

    Galileo Galilei describe la cutícula de los insectos. Había adaptado lentes del telescopio para inventar de manera indepediente el microscopio compuesto. 1625. Francisco Stelluti describe la superficie de las abejas. Hasta ahora sólo se veían superficies.
  • J. B. Odierna

    J. B. Odierna observa y describe las primeras disecciones de animales.
  • Robert Hooke

    Robert Hooke

    publicó un libro titulado Micrographia, donde describe la primera evidencia de la existencia de las células estudiando el corcho y vio una disposición en forma de panal de abeja. A cada camarita la llamó celdilla o célula. pero él no tenía consciencia de que eso era una estructura similar a la que conocemos hoy en día como células.
  • A. van Leeuwenhoek

    A. van Leeuwenhoek

    construyó en la misma época microscopios simples, con una sola lente, pero con una perfección que le permitió alcanzar los 270 aumentos, más de lo que los microscopios compuestos ofrecían por aquella época. Puede ser considerado como el padre de la microbiología puesto que fue el primero en publicar observaciones de bacterias y protistas.
  • Period: to

    N. Grew y M. Malpighi

    extendieron estas observaciones a otras plantas. Pero aún pensaban que eran saquitos llenos de aire. N. Grew describió lo mismo que R. Hooke y los llamó burbujas de fermentación (igual que en el pan). Introdujo el término de parénquima vegetal y realizó muchos dibujos de tejidos vegetales.
  • Von Haller

    Von Haller

    Von Haller propone que los tejidos animales estaban formados por fibras.
  • C.F. Wolf,

    C.F. Wolf,

    La primera aproximación para colocar en el mismo plano a los animales y a las plantas la hizo C.F. Wolf, que dijo que existía una unidad fundamental de forma globular en todos los seres vivos.
  • L. Galvani

    L. Galvani

    L. Galvani establece la naturaleza eléctrica de la contracción muscular.
  • Period: to

    H. Milne-Edwards y F. V. Raspail

    La gestación de la teoría celular comenzó en Francia con H. Milne-Edwards y F. V. Raspail que observaron una gran cantidad de tejidos de animales diferentes y publicaron que los tejidos estaban formados por unidades globulares pero con desigual distribución.
  • R. Brown

    R. Brown

    R. Brown describe el núcleo. Esto es controvertido puesto que en una carta de Leuweenhoek a Hook en 1682 describe una estructura en el interior de los glóbulos rojos de la sangre de un pez que no podría ser otra cosa más que un núcleo
  • J. Purkinje

    J. Purkinje

    J. Purkinje, en Chequia, uno de los mejores histólogos de su época, propuso las ideas básicas de la teoría celular y ya dijo no sólo que los tejidos animales estaban formados por células, sino también que los tejidos animales eran básicamente análogos a los tejidos vegetales.
  • Period: to

    J.E. Purkinge y H. van Mohl

    J.E. Purkinge y H. van Mohl, de manera independiente, llaman al contenido interior de las células, excuyendo al núcleo, protoplasma estudiando a las células de las plantas. Previamente llamado sarcode por Dujardin (1835) en las células animales. Fue F. Cohn (1850) quién se dio cuenta que el protoplasma y el sarcode eran la misma cosa.
  • M. J. Schleiden

    M. J. Schleiden

    botánico alemán, formaliza el primer axioma de la teoría celular para las plantas (no estudió tejidos animales). Es decir, todas las plantas están formadas por unidades llamadas células. T. Schwann, fisiólogo alemán, hizo extensivo ese concepto a los animales y por extensión a todos los seres vivos en su publicación Mikroscopische Untersuchungen. Fue más allá diciendo que tanto células animales como vegetales estaban governadas por los mismos principios.
  • R. Virchow

    R. Virchow

    R. Virchow propuso a la célula como la forma más simple de manifestación viva y que a pesar de ello representa completamente la idea de vida, es la unidad orgánica, la unidad viviente indivisible.
  • J. von Gerlach

    J. von Gerlach

    EL uso de colorantes para estudiar los tejidos supuso un avance sin precedentes en la indentificación de manera diferencial de estructuras en las células y los tejidos. Primeros colorantes para tejidos. Se atribuye a J. von Gerlach las primeras pruebas con soluciones de carmín en tejido nervioso. En 1829, P Mayer introduce la tinción de hematoxilina y eosina como una tinción combinada de dos colorantes.
  • W. Flemming

    W. Flemming

    W. Flemming describe la separación de cromosomas e introduce el término de mitosis.
  • C. E. Overton

    C. E. Overton propone una naturaleza lipídica para la interfaz entre el protoplama y el medio externo, y sugirió la existencia de una fina capa de lípidos rodeando al protoplasma, basándose en que experimentos de ósmosis y de trasiego de lípidos entre el protoplasma y el medio externo.
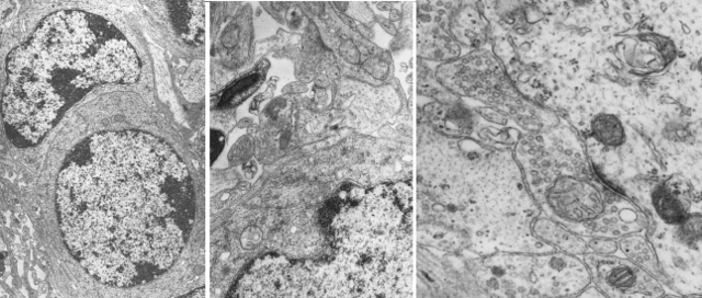
  • M. Knoll y E. Ruska,

    M. Knoll y E. Ruska,

    Aparece el microscopio electrónico. Fue inventado en Alemania por M. Knoll y E. Ruska, y desarrollado en las décadas de los 30 y los 40 del sigo XX. El microscopio óptico usa el espectro de la luz visible, pero por sus propiedades de longitud de onda no puede discriminar dos puntos que estén a menos de 0.2 micras de distancia. Con el microscopio electrónico se pudieron estudiar estructuras internas de la célula que eran del orden de nanometros

Looking for a timeline maker?

Create timelines for projects, roadmaps, history, lessons, legal cases, and stories with Timetoast. Timetoast is a timeline maker for work, school, research, and stories.