Hitos durante el desarrollo de la oclusión

  • Erupción de grupo incisivo temporario
    1 CE

    Erupción de grupo incisivo temporario

    A LOS 6 MESES :Comienza la erupción de los incisivos, poniendo el primer tope anterior a la lengua. Se completa al año aproximadamente
  • Dentición temporaria completa
    2

    Dentición temporaria completa

    AL AÑO:Se completa la erupción de molares temporarios y empieza un período de aparente reposo
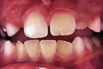
  • Comienzo de dentición mixta
    6

    Comienzo de dentición mixta

    A LOS 6 AÑOS: Con la erupción del primer molar permanente y el recambio del segmento incisivo se inicia la dentición mixta.
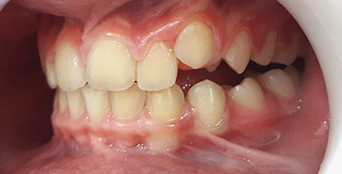
  • Erupción del Incisivo Lateral Permanente
    8

    Erupción del Incisivo Lateral Permanente

    A LOS 7-8 AÑOS:La salida del incisivo lateral permanante es muy importante porque durante su erupción el canino temporario realiza un movimiento de disto vestibulización
  • Recambio del Sector Lateral
    9

    Recambio del Sector Lateral

    ALOS 9 AÑOS , aproximadamente, se inicia el recambio del sector lateral: caninos y premolares. Este periodo durará hasta aproximadamente 12 años. Una adecuada secuencia, y que se haya conservado el espacio de deriva serán fundamentales para su correcta ubicación
  • Erupción de segundo molar
    12

    Erupción de segundo molar

    ENTRE LOS 12 Y 14 AÑOS: La aparición del segundo molar repite el patrón de erupción del primer molar, y cierra cualquier espacio remanente

Plan projects on a visual timeline

Map milestones, phases, deadlines, and key events in one place so the sequence is easier to see and share. Timetoast is a timeline maker for work, school, research, and stories.