Historia TC

  • Godfrey Hounsfield y Allan Cormack desarrollan el TC en los Central Research Laboratories de EMI en Inglaterra.

    Godfrey Hounsfield y Allan Cormack desarrollan el TC en los Central Research Laboratories de EMI en Inglaterra.

  • La primera TC comercial se instala en el Atkinson Morley's Hospital en Wimbledon, Londres.

    La primera TC comercial se instala en el Atkinson Morley's Hospital en Wimbledon, Londres.

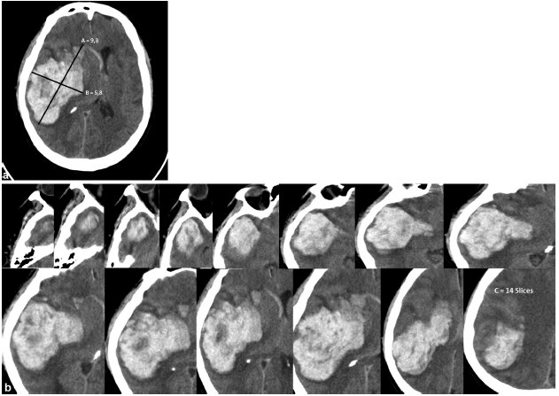
  • La TC se utiliza para detectar un tumor cerebral por primera vez.

    La TC se utiliza para detectar un tumor cerebral por primera vez.

  • Se desarrolla la TC helicoidal, que permite la adquisición de imágenes en 3D en un solo giro de la máquina.

    Se desarrolla la TC helicoidal, que permite la adquisición de imágenes en 3D en un solo giro de la máquina.

  • La TC se utiliza para detectar la enfermedad coronaria.

    La TC se utiliza para detectar la enfermedad coronaria.

  • Se desarrolla la TC de emisión de positrones (PET/CT), que combina la información de la TC y PET para proporcionar imágenes más precisas y detalladas de la estructura y función del cuerpo.

    Se desarrolla la TC de emisión de positrones (PET/CT), que combina la información de la TC y PET para proporcionar imágenes más precisas y detalladas de la estructura y función del cuerpo.

  • Se presenta el multidetector TC, que utiliza múltiples detectores en un solo giro de la máquina para mejorar la calidad de las imágenes y reducir el tiempo de adquisición.

    Se presenta el multidetector TC, que utiliza múltiples detectores en un solo giro de la máquina para mejorar la calidad de las imágenes y reducir el tiempo de adquisición.

  • Se presenta la TC de 64 cortes, que permite la adquisición de imágenes en alta resolución en un corto período de tiempo.

    Se presenta la TC de 64 cortes, que permite la adquisición de imágenes en alta resolución en un corto período de tiempo.

  • Se presenta la TC de doble fuente, que utiliza dos tubos de rayos X y dos detectores para mejorar aún más la calidad de las imágenes y reducir el tiempo de adquisición.

    Se presenta la TC de doble fuente, que utiliza dos tubos de rayos X y dos detectores para mejorar aún más la calidad de las imágenes y reducir el tiempo de adquisición.

  • Se introduce la TC de 256 cortes, que permite la adquisición de imágenes de alta resolución en segundos.

    Se introduce la TC de 256 cortes, que permite la adquisición de imágenes de alta resolución en segundos.

  • Se presenta la TC de 320 cortes, que puede capturar imágenes de todo el cuerpo en un solo barrido.

    Se presenta la TC de 320 cortes, que puede capturar imágenes de todo el cuerpo en un solo barrido.

  • Se presenta la TC de alta resolución de 512 cortes, que utiliza tecnología de inteligencia artificial para reducir la dosis de radiación y mejorar aún más la calidad de las imágenes.

    Se presenta la TC de alta resolución de 512 cortes, que utiliza tecnología de inteligencia artificial para reducir la dosis de radiación y mejorar aún más la calidad de las imágenes.

Plan projects on a visual timeline

Map milestones, phases, deadlines, and key events in one place so the sequence is easier to see and share. Timetoast is a timeline maker for work, school, research, and stories.