Historia de lo Biorreactores

  • Fermentación

    Fermentación

    Louis Pasteur descubre el proceso de fermentación.
  • Origen de los biorreactores modernos

    Origen de los biorreactores modernos

    Chain Weizmann crea un biorreactor para la producción de acetona.
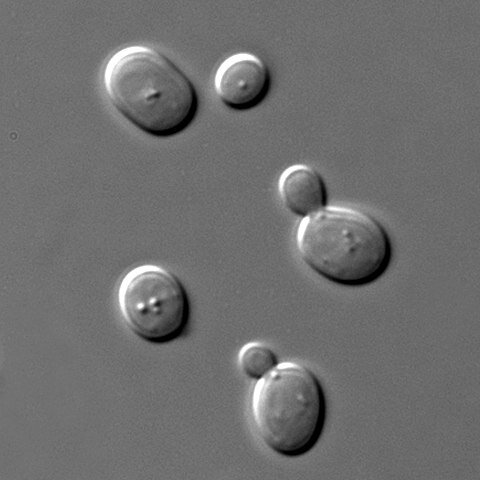
  • Primeras levaduras a partir de un biorreactor

    Primeras levaduras a partir de un biorreactor

    Se utiliza por primera vez un biorreactor para la producción de levaduras.
  • Biorreactor a gran escala

    Biorreactor a gran escala

    Primer biorreactor con capacidad para producción industrial, por DeBeeze y Liebmann.
  • Fermentadores aéreos

    Fermentadores aéreos

    Se diseñan los primeros fermentadores aéreos.
  • Comercializacion de biorreactores

    Comercializacion de biorreactores

    Inicia la comercialización de los primeros biorreactores, con contadores de colonias y autoclaves.
  • Biorreactores Fed-Bacht

    Biorreactores Fed-Bacht

    Se inicia el control de biorreactores Fed-Bacht.
  • Mini biorreactores

    Mini biorreactores

    Se crean pequeños biorreactores para cultivo de células, denominados como biorreactor de mesa.
  • Biorreactor de mesa mejorado

    Biorreactor de mesa mejorado

    Conforme avanza la tecnología, los biorreactores de mesa se mejoran, pudiendo tener una mejor eficacia.
  • Primeros fermentadores modulares

    Primeros fermentadores modulares

    NBS presenta los primeros fermentadores modulares de todo el mundo.

A list shows items. A timeline shows sequence.

Use Timetoast to make dates, milestones, and turning points easier to understand in a clear visual format. Timetoast is a timeline maker for work, school, research, and stories.