- 
  
  descubrimiento de los RX por parte del ingeniero mecánico y físico alemán Wilhelm Roentgen, el cual llamo a su esposa Anna a quien pidió que pusiera la mano en un extraño aparato sin moverse por 15 minutos y luego su esposo le mostraría lo que seria la primera radiografía y que se podían ver los huesos de su mano.
- 
  
  esta científica placa encontró un radioactivo de la naturaleza que el torio y uranio que emitían radiaciones.
- 
  
  se percato que estos rayos X podrían producir daños a la salud.
 pocas semana después que se descubrieran los rayos RX se notaba que la sobre exposición producía eritema, caída del cabello y dermatitis.
- 
  
  se considera un tipo de energía liberada por átomos en forma de ondas electromagnética o particulares
- 
  
  se crea el primer fluoroscopio por Tomas Edison, descubriendo que las pantallas de tungsteno de calcio producían imágenes mas brillantes
- 
  
  Elemento que puede hacer brillar los huesos fue descubierto por Pirrie y Segre, fisios italianos, utilizados en medicina nuclear para pruebas diagnosticas.
- 
  
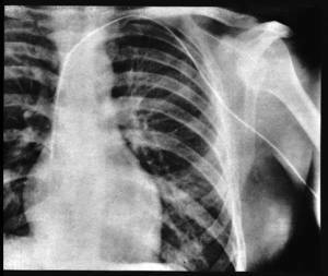
  se observa la primera aplicación de rayos X por una fractura de brazo de un paciente la cual se lleva a cabo por médicos de Estados Unidos
- 
  
  Marie Sklodowska y Pierre Cuirre (esposos) descubrieron dos elementos nuevos radioactivos el polonio y el radio después de tantos estudios inicio el nombre del fenómeno radioactividad.
- 
  
  tubo de rx convencional compuesto por un cátodo y ánodo en una cavidad donde se han practicado vacío, suele ser una ampolla de vidrio y se producen los rx al chocar los electrones de cátodo en el ánodo.
 william codidge crea el primer tubo
- 
  
  Einstein presenta su teoría de la relatividad y la famosa ecuación E=mc2.
- 
  
  se introduce el transformador sin interrupción de snook. fuente de potencia de alto voltaje sustitutiva, su capacidad excedía claramente la capacidad del tubo crookes hasta el desarrollo del tubo Coolidge.
- 
  
  Osborne y colaboradores muestran el uso de componentes solubles de yodo, se administra 100 cc de este soluble y una hora después se aprecia la sombra de la vejiga, densidad de los riñones y el bazo y margen anterior del hígado.
- 
  
  se celebra el primer congreso internacional de radiología se reconocía la necesidad de cuantificar la exposición. comité internacional de protección contra los rx y el radio adopto el roentgen como unidad de exposición de los rx.
- 
  
  se crea la comisión internacional de unidades y medidas de radiación por el congreso internacional de radiología.
- 
  
  se ha demostrado que la radioterapia ayuda a curar algunos tumores y logra sacar diagnósticos con las radiografías pero sino se regulan o contienen suelen ser muy peligrosos para la salud.
- 
  
  se crea e introduce el tubo anódico giratorio
- 
  
  se realiza una incisión en la vena cubital introduciendo un catéter urinario dentro de la aurícula derecha por parte de Forssman haciéndoselo así mismo, luego se toma una radiografía mostrando el procedimiento terminado.
- 
  
  estos rayos se general cuando se aceleran los electrones y se frenan bruscamente o chocan con el ánodo de un material como molibdeno, etc. estos electrones cargados negativamente son atraídos por el núcleo con carga positiva y como consecuencia se transforma en radiación electromagnética
- 
  
  según las recomendaciones sobre los limites de exposición evolucionaron gradualmente y ese año se considero, que una persona sana podía tolerar una exposición profesional a los rx y la radiación gamma.
- 
  
  Coltman crea el primer intensificador de imagen fluoroscopica.
- 
  
  se crea la comisión internacional de unidades y medidas radiológicas, esto para hacer frente a la importante expansión del trabajo con fuentes de radiación y material radioactivo.
- 
  
  la comisión internacional recalco sobre los efectos de la radiación sobre las lesiones cutáneas, anemias, cataratas por ser efectos nocivos a la exposición de la radiación
- 
  
  el rad se adopta oficialmente como unidad de medida de dosis absorbidas.
 rx y r. gama 1 rad=1rem
 protones 1 rad=10 rem
 partículas alfa 1 rad=20 rem
- 
  
  el desarrollo de la cristalografía de Rx se vio impulsada porque los biólogos empezaban a sospechar que la arquitectura de las moleculas tenia mucho que ver con su comportamiento y sus funciones
- 
  
  Kuhl y Edwards presentan la tomografía computarizada por emisión de fotón único.
- 
  
  en 1964 se reconoció la radiosencibilidad del feto que las mujeres en edad de procrear no esten expuestas profesionalmente a mas de 1.3 rem en un periodo de 13 semana
- 
  
  se inicia la utilización habitual de diagnostico por ultrasonido.
- 
  
  se considero necesario limitar la incidencia de casos de cáncer mortal y anomalías genéticas graves radio inducidas en los descendientes.
- 
  
  se adopta el sistema internacional de medidas por la International conmission of radiation units and measurements (ICRU)
- 
  
  se funda la American Roentger society, primera organizacion de radiologia en Estados Unidos.
- 
  
  estas dosis absorbidas son la energía por unidades de masa en un punto determinado esta unidad es llamada Julio por kg
 (J kg-1) y se denomina Gray (Gy).
 - la dosis a un órgano: es la magnitud relacionada por producir efectos estocásticos
 - la dosis equivalente: es la dosis al órgano corregida por un factor de ponderación del tipo de radiación. dosis efectiva: es una magnitud definida como la suma ponderada de dosis equivalente a todos los tejidos y órganos pertinentes.
- 
  
  Swissray presente un sistema de radiología digital con un dispositivo acoplado por carga.
- 
  
  se reconoce que los los signos y síntomas serian enrojecimiento de la piel, nauseas y vomito y cuando las dosis son mas altas se evidencian perdida del cabello, diarrea y esterilidad.
- 
  
  la radiacion natural siempre ha estado presente en la naturaleza, rayos cosmicos el cuerpo humano, el aire que respiramos y la tierra.
