203 300x300 front color na

Historia de la Radiología

  • Descubrimiento de los Rayos X - Wilhelm Conrad Rontgen

    Descubrimiento de los Rayos X - Wilhelm Conrad Rontgen

    Descubrió los Rayos X mientras experimentaba con corrientes eléctricas en un tubo de rayo catódicos.
  • John Carbutt

    John Carbutt

    Prepara la primera placa fotográfica especial para rayos x.
  • Friedrich Otto Walkhoff

    Friedrich Otto Walkhoff

    tomo la primera radiografía dental.
    con una placa de vidrio fotográfica ordinaria la envolvió en un dique de goma, la sostuvo en su boca entre los dientes y la lengua y luego se tumbó en el piso para una exposición de 25 minutos.
  • Emil Grubbe

    Emil Grubbe

    Empieza la terapia de radiación
    Primero en utilizar los rayos X como tratamiento de cáncer.
  • Primera Radiografía

    Primera Radiografía

    Wilhelm Conrad Rontgen se decide a realizar su primera prueba en humanos. En colaboración de su esposa Berta, a quien le indió que mantuviera la mano en la placa durante 15 minutos.
  • Fluoroscopía

    Fluoroscopía

    Thomas Edison descubrió rápidamente que las pantallas de wolframato de calcio producían imágenes más brillantes, y se le atribuye el diseño y fabricación del primer fluoroscopio disponible comercialmente.
  • William Rontgen

    William Rontgen

    Recibe el premio Nobel de Física por su importante estudio de la radiación.
  • William Herbert Rollins

    William Herbert Rollins

    Primero en indicar tres precausiones para los rayos x: usar lentes de plomo, radiar solamente el área de interes cubir las otras áreas con material opaco y Incluir el tubo de rayos x en la carcasa de plomo.
  • cromoradiometro

    El físico alemán Guido Holzknecht presenta su cromoradiometro, un dispositivo construido para medir la cantidad de radiación administrada.
  • Clarence Dally

    Clarence Dally

    Primera muerte por radiación de rayos X
  • Marie Curie

    Marie Curie

    Fisica, Francesa.
    Primera mujer ganadora de Nobel por sus investigaciones en la racioactividad.
  • Tubo de coolidge

    Tubo de coolidge

    William Coolidge fue el descubridor del tubo de tungsteno al alto vacío con energía estable y reproducible. Sus experimentos con tungsteno condujeron a su invención más significativa, el tubo de radiografía, que se conocía como el tubo de Coodlige
  • Cassettes modernos

    Las película radiograficas pasan de cristal a "cassettes" modernos
  • Primera organización nacional

    se creó el Comité Británico de Rayos X y Protección a la
    Radiación, primera organización nacional para la protección radiológica.
  • Angiografía

    Angiografía

    El portugués Egas Moniz fue el primero en el desarrolló la angiografía por contraste como diagnóstico de trastorno celebral. Produciendo imágenes detalladas de los vasos sanguíneos,
  • Karl Dussik

    Karl Dussik

    Karl Dussik, neurologo y Psiquiatra en la Universidad de Vienna, conocido como el primer médico en utilizar el ultrasonido para diagnostico médico (tumores cerebrales )
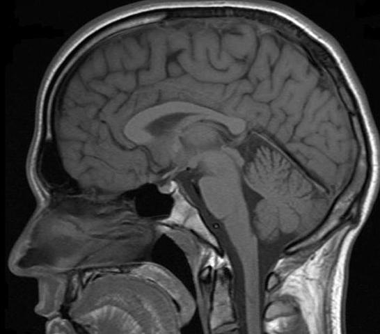
  • Descubrimiento de la resonancia magnetica

    Descubrimiento de la resonancia magnetica

    Felix Bloch y Edward Purcell descubrieron la resonancia magnetíca.
  • Rosalind Franklin

    Rosalind Franklin

    Tenía 30 años cuando Franklin generó una fotografía, conocida como "Foto 51", que fue clave para demostrar por primera vez cómo debía ser la estructura del ADN, que hasta entonces era un misterio.
  • Equipo de Mamografía o Mastografía

    Equipo de Mamografía o Mastografía

    El primer mastógrafo, específicamente diseñado para mama, fue desarrollado por francés Charles M. Gross en 1951, que determinaba las diferencias entre lesiones malignas y benignas mediante imagen.
  • Godfrey Hounsfield

    Godfrey Hounsfield

    Godfrey Hounsfield creó y desarrolló la tomografía computada.
    Escáner prototipo con fuente de luz americio
  • Imagenes de Resonancia Magnetica

    Imagenes de Resonancia Magnetica

    Paul Lauterbur desarrolla la forma de generar las primeras imágenes de resonancia magnética (MRI) bidimensionales y tridimensionales. En este año publicó la primera imagen de resonancia magnética nuclear.
  • Radiografía Digital

    Radiografía Digital

    La radiografía digital se basa en los mismos principios de emisión de rayos-x y de su interacción con el organismo humano. La diferencia es como atraviesan estos rayos a la materia y como serán capturados y procesados de modo a generar imagen. En este caso, no hay necesidad del uso de placas de film o del proceso de revelación.
  • Aniversario 100 descubrimiendo de la radiología

    Aniversario 100 descubrimiendo de la radiología

    Se cumplió 100 años del descubrimiento de los Rayos X
  • Exploración PET-CT

    Exploración PET-CT

    Ronald Nutt y David Townsend inventan la exploración PET-CT que combina la tomografía por emisión de positrones y la tomografía computarizada de tal manera que facilita a los médicos la localización de tumores y otras estructuras en las imágenes. Al combinar estos dos escaneos en una sola máquina, también hicieron que fuera mucho más fácil y menos costoso para los médicos y hospitales tener acceso a ambas formas de tecnología
  • Radiología oral y maxilofacial

    Radiología oral y maxilofacial

    La radiologia oral y maxilofacial fue reconocida como una especialidad odontológica por la Asociación Dental Americana.
  • Primer Algoritmo de IA usando MRI

    FDA aprueba primer algoritmo de Inteligencia Artificial (AI) en imágenes cardiacas usando MRI.

Looking for a timeline maker?

Create timelines for projects, roadmaps, history, lessons, legal cases, and stories with Timetoast. Timetoast is a timeline maker for work, school, research, and stories.