Historia de la Radiologia

  • Descubrimiento de los Rayos X por Roentgen

    Descubrimiento de los Rayos X por Roentgen

    Sobre una mesa de madera, cerca de la ventana Roentgen, un 8 de Noviembre, realizando sus experimentos en el tubo de Hittorf-Crookes, descubrio de forma casual que se iluminaba el carton con el platinocianuro de bario. La primera radiografia que hizo en el laboratorio fue de la mano de Berta, su mujer.
  • Primeras aplicaciones médicas

    Se llevaron a cabo las primera aplicaciones medicas de los rayos x en diagnostico y tratamiento.
  • Primera Organización

    Se fundo American Roentgen Society y fue la primera organizacion radiologica de Norteamerica.
  • Tubo de Coolidge

    Tubo de Coolidge

  • Segunda Organización

    Segunda Organización

    Se fundo la American Society of Radiologic Technologist.
  • Coltman

    Coltman

    Desaroollo el primer intensificador de imagen fluroscopica
  • Tomografía Axial Computarizada

    Tomografía Axial Computarizada

    Permite obtener imágenes del interior del organismo, y detectar así desde un tumor a una patología ósea.
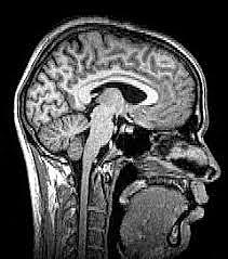
  • Resonancia Magnetica

    Resonancia Magnetica

    Damadian y Lauternur producen la primera resonancia magnetica.
  • Radiografía digital

    Radiografía digital

    Se desarollo la Radiografia digital directa que utiliza transistores de pelicula fina.
  • Imagen mamografíca

    Imagen mamografíca

    Se dispuso el primer sistema de imagen mamografica digital directo.
  • Tomografía

    Tomografía

    Se utiliza de forma habitual en los servicios clinicos.
  • Integración de radiocirugía

    Integración de radiocirugía

    Se integra la Radiocirugia, cyberknife y sistema bisturi de rayos gamma para tratar tumores en el cuerpo humano.
  • Aprobación de la medicina nuclear

    Aprobación de la medicina nuclear

    Se aprueba el uso de la medicina nuclear utilizando pequeñas cantidadess de material radioactivo llamado Radiosondas.
  • Radiología en el 2018 hasta la actualidad

    Desde el 2018 hasta la actualidad las imágenes médicas se han hecho indispensables en el diagnóstico y tratamiento de los pacientes. Será necesario desarrollar estrategias nuevas para enfrentar los muchos problemas que la radiología en particular preesenta, proyectándola y adaptándola a los requerimientos futuros de la población.

A list shows items. A timeline shows sequence.

Use Timetoast to make dates, milestones, and turning points easier to understand in a clear visual format. Timetoast is a timeline maker for work, school, research, and stories.