Radiologia foto

Historia de la Radiología

  • Descubrimiento de los rayos X

    Descubrimiento de los rayos X

    Los rayos X los descubrió un alemán llamado Wilnelm Conrad mientras realizaba un experimentos de tubos de vació y generadores eléctricos.
  • Primera prueba de los rayos X

    Primera prueba de los rayos X

    Wilhelm Conrad quien decidió realizar su primera prueba de rayos X en los seres humanos.
  • Primera foto especial de rayos x

    Primera foto especial de rayos x

    John Carbutt prepara la primera foto especial para Rayos X.
  • Radio

    Radio

    Relevaron la existencia de un segundo elemento al cual se bautizo como "Radio", un elemento de enorme radiactividad.
  • Marie y Pierre Curie

    Marie y Pierre Curie

    Los químicos franceses Marie y Pierre Curie dedujeron que la radiactividad es un fenómeno asociado a los átomos independientemente de su estado físico o químico.
  • Premio

    Premio

    Se le entrego a Wilhelm Conrad su primer premio nobel de la física.
  • Marie obtuvo la victoria

    Marie obtuvo la victoria

    Marie obtuvo la victoria; había logrado preparar un decigramo de radio puro. A partir de aquel momento el radio existía oficialmente.
  • Primer libro

    Primer libro

    Fue publicado su primer libro llamado " Diagnostico Roentgenologico" de las enfermedades de la cabeza.
  • Tubo de Coolidge

    Tubo de Coolidge

    William Coolidge invento el tubo de Coolidge que contiene un filamento catodico hecho de Tungsteno que fue una mejora del tubo de Crookes.
  • Nombre

    Nombre

    El departamento de radiología decidió cambiar su nombre a "Servicios de rayos x"
  • Rayos X

    Rayos X

    Se puso a funcionar el primer equipo de rayos x.
  • Radiologia Artificial

    Radiologia Artificial

    En la universidad de Berkeley en California hicieron el primer tratamiento usando radiologia artificial.
  • Primer tubo de vidrio al vacío.

    Primer tubo de vidrio al vacío.

    Se construyó el primer tubo de vidrio al vacío.
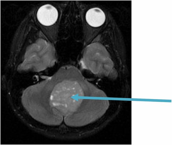
  • Primer MRI

    Primer MRI

    El primer MRI fue hecho a un paciente en una clinica en Inglaterra.
  • Avances tecnológicos

    Avances tecnológicos

    Debido a los avances tecnologicos ya no se usara el antiguo metodo, ahora todo es digital.

Plan projects on a visual timeline

Map milestones, phases, deadlines, and key events in one place so the sequence is easier to see and share. Timetoast is a timeline maker for work, school, research, and stories.