Cerebro i

Historia de la Neuropsicología

  • Primera referencia a un daño cerebral
    3500 BCE

    Primera referencia a un daño cerebral

    La primera referencia a una alteración cognoscitiva en caso de daño cerebral, concretamente la pérdida del lenguaje, aparece en Egipto.
  • Period: 3500 BCE to

    Periodo preclásico

    Durante este período de tiempo se realizaron descubrimientos y avances respecto al cerebro como órgano y a su papel en las alteraciones cognoscitivas.
  • Hipócrates
    400 BCE

    Hipócrates

    Hace referencia al papel que desempeña el cerebro en este tipo de incapacidad, citando dos alteraciones: los áfonos y los anaudos como subtipos de pérdida de lenguaje.
  • Valerius Maximus
    27 BCE

    Valerius Maximus

    Durante el Imperio Romano (27 a.C-476 d.C), Valerius Maximus describe el primer caso de alexia traumática.
  • Antonio Guaneiro
    1500

    Antonio Guaneiro

    Habla en el siglo XV de dos pacientes afásicos, uno de los cuales presenta un lenguaje fluente parafásico y el otro una afasia no fluida.
  • Alexia sin agrafia

    Alexia sin agrafia

    En el siglo XVII, Gerolamo Mercuriale (foto), Johann Schmidt y Peter Schmitt, plasman el primer caso de alexia sin agrafia. Refieren a varios pacientes afásicos con diferente sintomatología, incluyendo la incapacidad para denominar y repetir.
  • Descubrimiento de diferentes trastornos cognoscitivos

    Descubrimiento de diferentes trastornos cognoscitivos

    Durante el siglo XVIII se sabe de diferentes trastornos cognoscitivos, especialmente verbales: anomia y jerga (Gesner), agrafia (Linné), capacidad preservada para cantar (Dalin) e incluso disociación en la capacidad de leer en diferentes lenguas (Gesner).
  • Nueva doctrina

    Nueva doctrina

    A finales del siglo XVIII y comienzos del XIX Franz Gall formula una nueva doctrina particularmente influyente durante el siglo XIX: que los hemisferios cerebrales del hombre incluyen varios órganos independientes que sustentan las cualidades intelectuales y morales. A pesar de que esta teoría ha sido criticada a lo largo de los años, la verdad es que fue el primer pensamiento en hacer hincapíé en el proceso cerebral por lo que Gall es el antecesor directo de la Neuropsicología.
  • Patologías del lenguaje

    Patologías del lenguaje

    Bouillaud distinguió dos tipos de patologías del lenguaje, uno articulatorio y otro amnésico, correspondientes en general a las formas motora y sensorial de afasia.
  • Asinergia verbal y amnesia verbal

    Asinergia verbal y amnesia verbal

    Lordat propuso una dicotomía similar a la de Bouillaud al distinguir la pérdida de la capacidad para producir palabras (asinergia verbal) de la pérdida de la capacidad para recordarlas (amnesia verbal).
  • Period: to

    Periodo clásico

    Durante ese periodo se realizaron descubrimientos en la fisiología del cerebro y el nivel de impacto que tienen las lesiones cerebrales dependiendo de la zona en la que se localizan.
  • Lesión cerebral → Trastorno

    Lesión cerebral → Trastorno

    Paul Broca Presentó el caso de un estudio realizado al cerebro de un paciente fallecido que había sufrido pérdida del lenguaje. El examen postmortem mostró una lesión grave en la zona frontal posterior, presentando así un punto de vista localizacionista en cuanto a los trastornos y lesiones cerebrales.
  • El cerebro como un todo

    El cerebro como un todo

    Hughlings Jackson, abordó las alteraciones cognoscitivas propuestas por Broca desde un punto de vista dinámico y psicológico; se refirió a lo que denominó síntomas de decremento (pérdida específica resultante del daño) y síntomas de incremento (aumento de otras funciones como consecuencia del decremento de una función particular) en caso de daño cerebral, el cual resulta de los cambios globales que ha sufrido el cerebro.
  • Afasia

    Afasia

    Trousseau desaprobó el término de afemia (utilizado por Broca para referirse a la alteración del lenguaje) porque, en su opinión, era sinónimo de infamia, y propuso entonces la palabra afasia, el cual terminó por imponerse.
  • Afasia motora, sensorial y de conducción

    Afasia motora, sensorial y de conducción

    Karl Wernicke propuso la existencia de dos tipos de afasia: motora y sensorial, separables clínicamente y apoyó su punto de vista en correlaciones clínico/anatómicas. Tiempo después postuló un tercer tipo de afasia: afasia de conducción.
  • Agrafía

    Agrafía

    Ogle acuñó l término agrafia para referirse a la incapacidad para escribir.
  • Descripción sobre alteraciones perceptuales

    Descripción sobre alteraciones perceptuales

    La primera descripción sobre alteraciones perceptuales consecuentes al daño cerebral la realizó Munk en 1881, quien observó que los perros con daño parcial y bilateral de los lóbulos occipitales no podían reconocer, interpretando esta incapacidad visual (no propiamente una ceguera) como una pérdida de la memoria de las imágenes de la experiencia visual previa, y la denominó ceguera psíquica.
  • Esquema Lichtheim-Wernicke

    Esquema Lichtheim-Wernicke

    Litchtheim y Wenicke dieron a conocer un modelo de clasificación de las afasias al que se conocería como el esquema de Lichtheim-Wernicke.
  • Asimbolia

    Asimbolia

    Finkelnburg se refirió a la asimbolia como la imposibilidad de utilizar los signos convencionales, tanto del lenguaje como de otros sistemas simbólicos, por lo que pueden existir diferentes tipos de asimbolia.
  • Ceguera psíquica en seres humanos

    Ceguera psíquica en seres humanos

    Lissauer, continuando con la investigación de Munk, presentó una primera descripción detallada del fenómeno de la ceguera psíquica en seres humanos.
  • Asimbolia Motriz

    Asimbolia Motriz

    Meynert, continuando con la investigación de Finkelnburg, hizo mención de la asimbolia motriz, es decir, la incapacidad de utilizar objetos debido a una imposibilidad en el “surgimiento de las imágenes de inervación''.
  • Agnosia

    Agnosia

    Freud propuso el nombre agnosia, que finalmente reemplazó al de “ceguera psíquica” utilizado por Munk; asimbolia, empleado por Finkelnburg en 1870, e impercepción, propuesto por Jackson en 1864.
  • Apraxia

    Apraxia

    Liepmann introdujo el concepto de apraxia para indicar la incapacidad de realizar determinados movimientos por orden verbal, sin que hubiera parálisis de la extremidad correspondiente. También distinguió tres tipos diferentes de apraxia: melocinética, ideomotora e ideacional.
  • Enfoque Holístico

    Enfoque Holístico

    En 1929 Lashley, por medio de sus trabajos con animales, sugirió que la función cerebral era el resultado de la participación integrada de una masa extensa del tejido cerebral, apoyando así el enfoque holístico que se tenía en la época.
    Años más tarde los psicólogos de la gestalt, mejor ejemplificados por Goldstein (1948) y Conrad (1949), promovieron nuevamente el enfoque holístico en neuropsicología.
  • Consolidación del punto de vista Holístico

    Consolidación del punto de vista Holístico

    Pierre Marie bajo el punto de vista holístico publica un artículo “La tercera circunvolución frontal no desempeña ningún papel especial en las funciones del lenguaje” que continúo con el debate entre este y el enfoque localizacionista, con lo cual logro consolidar esta postura y además aumentar el número de partidarios.
  • Descubrimiento de Rieger

    Descubrimiento de Rieger

    Se cree que Rieger fue el primer investigador que llamó la atención sobre el hecho de que algunos pacientes con daño cerebral tienen dificultades para ensamblar objetos.
  • Efecto de Diasquisis

    Efecto de Diasquisis

    Von Monakow afirmó que no existen afasias. Postuló que toda patología cerebral se acompaña de una gran área circundante alterada (efecto de diasquisis), responsable de la variabilidad en los cuadros clínicos observado. Desde entonces el concepto de diasquisis ha tenido una importancia especial.
  • Apraxia Óptica

    Apraxia Óptica

    Kleist (1912), y, posteriormente Poppelreuter (1917), hablaron de apraxia óptica para describir las dificultades que tienen algunos pacientes para realizar actividades que requieren un adecuado control visual de los movimientos.
  • Apraxia Construccional

    Apraxia Construccional

    Kleist aportó el término apraxia construccional para designar las alteraciones en las actividades formativas (como ensamblar objetos, construir figuras o hacer dibujos), en las cuales la forma espacial del producto es inadecuada, sin que exista apraxia para los movimientos simples y haya, en cambio, una buena percepción visual de formas y suficiente capacidad para localizar los objetos en el espacio.
  • Alteración en la organización de los movimientos

    Alteración en la organización de los movimientos

    Marie et al., (1922) utilizaron el término planotopoquinesia para referirse a un síndrome que incluye no sólo las dificultades para orientar los movimientos espaciales necesarios para vestirse, sino también trastornos en el cálculo y en la orientación en mapa. Más tarde, Brain (1941) refiere a una forma específica de apraxia del vestirse, es decir, la incapacidad para ubicar sin error la vestimenta en el propio cuerpo.
  • Period: to

    Periodo Moderno

    Después de la Segunda Guerra Mundial el número de pacientes heridos con alteraciones cognoscitivas aumentó, por lo que la demanda de un diagnóstico y rehabilitación propició un ambiente para múltiples investigaciones dedicadas al análisis de la organización cerebral de la actividad cognoscitiva. Gracias a esto la Neuropsicología se estableció como un área científica y de trabajo.
  • Afasia Traumática

    Afasia Traumática

    A.R. Luria, en su libro ''La afasia traumática'', presenta una serie de propuestas originales acerca de la organización cerebral del lenguaje y de su patología, con base en la observación sistemática de centenares de heridos durante el conflicto bélico.
  • Neuropsicología, área científica y profesional

    Neuropsicología, área científica y profesional

    En Uruguay, se crea en el Instituto de Neurología de Montevideo el llamado Laboratorio de Afecciones Corticocerebrales. En Inglaterra, Weigl, Warrington y Newcombe abordan los problemas del lenguaje, así como las alteraciones perceptuales. En España se crea, con la dirección de Barraquer-Bordas, un importante grupo de trabajo especializado en neuropsicología. En estos tiempos la neuropsicología se establece definitivamente como una área científica y profesional.
  • Nuevas contribuciones

    Nuevas contribuciones

    En Francia, Henri Hécaen realiza importantes contribuciones prácticamente en todas las áreas de la neuropsicología, pero sobre todo en el estudio de la asimetría cerebral y la organización del lenguaje. En Italia, De Renzi, Vignolo y Gainotti trabajan en torno a los trastornos afásicos del lenguaje, habilidades construccionales y espaciales. Poeck, en Alemania, realiza aportes significativos en múltiples áreas, particularmente en el campo de las afasias y las apraxias.
  • “Disconnection Syndromes in Animals and Man”

    “Disconnection Syndromes in Animals and Man”

    Geschwind tras publicar su trabajo más representativo “Disconnection Syndromes in Animals and Man” expuso una explicación de los síndromes corticales y de desconexión con fundamentos en la transmisión de información entre centros corticales.
  • Period: to

    Periodo Contemporáneo

    Desde mediados de 1975 la neuropsicología ha tenido un crecimiento notorio. Estos avances se podrían sintetizar en siete puntos diferentes:
    1) Surgimiento de la tomografía axial computarizada (TAC),
    2) Utilización de pruebas estandarizadas en el diagnóstico,
    3) Desarrollo del área de la rehabilitación neuropsicológica,
    4) Profesionalización de la neuropsicología,
    5) Aumento en el número de publicaciones,
    6) Integración conceptual,
    7) Ampliación del campo de trabajo.
  • Rehabilitación Cognoscitiva

    Rehabilitación Cognoscitiva

    Gracias la creación, avances y estudio de las pruebas neuropsicológicas en conjunto con el trabajo de las nuevas tecnologías surgió el área de rehabilitación cognoscitiva o rehabilitación neuropsicológica, que procura introducir procedimientos remediales en pacientes con daño cerebral no sólo en relación con las alteraciones del lenguaje, sino también con respecto a los trastornos cognoscitivos asociados.
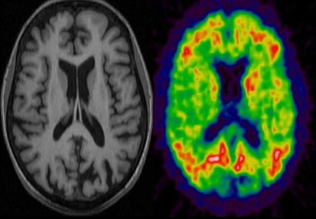
  • Nuevas tecnologías

    Nuevas tecnologías

    Durante esta década se fortalece la investigación con el empleo de imágenes no ya anatómicas sino funcionales, en particular la resonancia magnética funcional (MRI, por sus siglas en inglés, imagen de la izquierda) y la tomografía por emisión de positrones (PET, imagen de la derecha), que han permitido visualizar la actividad cerebral durante la realización de diferentes tareas cognoscitivas.
  • Instrumentos Neuropsicológicos

    Instrumentos Neuropsicológicos

    Surgió el empleo de pruebas y baterías de pruebas estandarizadas de evaluación neuropsicológica, como la Batería Neuropsicológica de Halstead-Reitan, la Batería Neuropsicológica de Luria-Nebraska, el Neuropsi, la Escala de Memoria de Wechsler, la Prueba de Boston para el Diagnóstico de las Afasias, la Prueba de Clasificación de Wisconsin, la Figura Compleja de Rey-Osterrieth, entre otras

Plan projects on a visual timeline

Map milestones, phases, deadlines, and key events in one place so the sequence is easier to see and share. Timetoast is a timeline maker for work, school, research, and stories.