Historia de la neurocirugia

  • ÉPOCA DE EGIPTO
    2250 BCE

    ÉPOCA DE EGIPTO

    Los médicos egipcios creían que las enfermedades internas eran causadas por comienzos sobrenaturales estas la trataban con hechizos y religión y los traumatismos pesaban que era por causa natural por lo tanto las manipulaban con cirugías.
  • EPOCA GRIEGA
    500 BCE

    EPOCA GRIEGA

    Alcmeón de Crotona pensaba que el cerebro era el centro de las sensaciones, de la conciencia, del sueño y la vigilia.
  • Erasístrato de Ceus
    336 BCE

    Erasístrato de Ceus

    Describió en forma más exacta el cerebro y lo distinguió del cerebelo; diferenció los nervios motores de los sensitivos y fue el primero en negar el concepto que se tenía de que los nervios eran huecos y contenían pneuma, para esto explico que eran sólidos y contenían un material similar al de la medula espinal.
  • Herófilo de Calcedonia
    335 BCE

    Herófilo de Calcedonia

    Ha sido considerado como el padre de la anatomía ya que tuvo que pensar nombres para las estructuras anatómicas porque aún no existía, describió los nervios raquídeos que siguió hasta su comienzo en la medula espinal, los diferenció de los tendones y los distinguió entre sí, describió detalladamente los ventrículos y los senos venosos del cerebro.
  • Hipocrates
    280 BCE

    Hipocrates

    Hipócrates creía que el cerebro es el órgano más poderoso que tiene el cuerpo ya que es el encargado del entendimiento, la inteligencia, la conciencia y las operaciones mentales, practico el tratamiento de la ceguera y cefalea.
  • Galeno de Pérgamo
    210 BCE

    Galeno de Pérgamo

    Entre sus escritos sobre el sistema nervioso se destaca que diferenció la piamadre de la duramadre, describió el sistema ventricular, los signos de hidrocefalia y las glándulas pineal y pituitaria. Tuvo la idea original en que en el cerebro se controlaba la inteligencia, la memoria, el juicio y las fantasías como funciones de la corteza cerebral, escribió las fracturas deprimidas del cráneo y su tratamiento; sugirió no dañar la duramadre durante la cirugía
  • Hallazgos de las tumbas de Paracas
    190 BCE

    Hallazgos de las tumbas de Paracas

    Se utilizaba a manera de cuchillo con mango de madera haciendo incisiones en cruz sobre el hueso para ocasionar una trepanación rectangular, además fueron hechas con otros instrumentos más delgados practicando perforaciones que luego se articulaban entre sí para conseguir un colgajo óseo; el defecto óseo que quedaba era recubierto por una lámina de oro (craneoplastia).
  • PERIODO NEOLITICO
    180 BCE

    PERIODO NEOLITICO

    Se encuentran cráneos con trepanaciones en todos los continentes como América, Europa que dejaron los incas.
  • EPOCA ROMANA
    98 BCE

    EPOCA ROMANA

    Rufo de Éfeso fue cirujano y un aventajado neuroanatomista describió de una buena forma las meninges, relató el cuerpo calloso y el sistema ventricular. También detallo la glándula pineal y la hipófisis, asimismo del quiasma óptico que relacionó desde entonces con la visión.
  • Pablo de Egina
    690

    Pablo de Egina

    Clasifica las fracturas de cráneo da descripción de la hidrocefalia y de la hemorragia intraventricular como consecuencia del parto traumático.
  • Albucasis
    1013

    Albucasis

    Escribió sobre los vendajes, la hidrocefalia y el diagnóstico de lesiones traumáticas espinales. Relató la fractura de cráneo que ahora conocemos como fractura en ping-pong
  • Avicena
    1037

    Avicena

    Desarrolló la teoría de los ventrículos como fuente de poder situada en la parte anterior del encéfalo y relacionados con la percepción de memoria. Explicaba que el dolor de cabeza después de trasnochar o tomar alguna bebida alcohólica como el vino producían edema y recomendaba como tratamiento enfriar la cabeza con hielo.
  • Guillermo de Saliceto
    1227

    Guillermo de Saliceto

    Describió una serie de técnicas para la anastomosis nerviosa mediante sutura.
  • Lanfranchini de Milán
    1301

    Lanfranchini de Milán

    Manipulaba el bisturí en vez del cauterio y trataba las fracturas de cráneo con trefina. Fue el primero en relatar el concepto de concusión cerebral, opinaba que las heridas debían sanar por primera intención y se preocupó por mejorar las técnicas de los cirujanos.
  • Roger Frugardi
    1468

    Roger Frugardi

    Fue uno de los primeros en tratar lesiones de nervios periféricos y además contó la maniobra de hacer elevar al paciente para establecer salida de líquido cefalorraquídeo; también usaba la cirugía (trepanación) para el tratamiento de la epilepsia.
  • EDAD MEDIA
    1492

    EDAD MEDIA

    Para muchos médicos de esta época la epilepsia se consideraba que estaba causada por una situación súbita en la cual se producía un gran flujo de humor grueso que le abría vía a los
  • Tomas Willis

    Tomas Willis

    Describe el polígono cerebral o polígono de Willis.
  • Victor Horsley

    Victor Horsley

    Practico intervenciones quirúrgicas para tratar crisis convulsivas, su primera resección fue de meningioma además diseño con Clark el primer aparato para cirugía estereotaxica.
  • Ephraim Squier

    Ephraim Squier

    Describió un cráneo extraído de una tumba en el Valle de Yacay, presentaba una trepanación cuadrilátera en región frontal izquierda.
  • Paul Broca

    Paul Broca

    Practico una craneotomía basada en la localización cerebral y dreno un absceso epidural.
  • Prunieres

    Prunieres

    A finales del siglo XIX publico el descubrimiento de cráneos trepanados de Francia, Europa, Asia, Norte de Francia fueron practicadas en personas con signos de supervivencia y algunos fueron llevados a cabo con diversos métodos en la convexidad cráneo.
  • Primer periodo de la neurocirugia (diagnóstico y prevención)

    Primer periodo de la neurocirugia (diagnóstico y prevención)

    La neurocirugía en la época moderna puede dividirse en 4 periodos en función de la relevancia de avances, durante este primer periodo se destaca el desarrollo de la prevención, la anestesia y la aparición de la asepsia y la antisepsia.
  • Victor Horsley

    Victor Horsley

    a través de su publicación del 21 de mayo de 1892 en British Medical Journal, difunde su técnica para el sellado del hueso craneal usando cera.
  • Ernest Von Bergman

    Ernest Von Bergman

    Publico el primer tratado de neurocirugía donde destaca los edemas cerebrales, comas, infecciones y hemorragias.
  • Julio Cesar Tello

    Julio Cesar Tello

    Concluye sobre el estudio de 200 cráneos trepanados obtenidos en las tumbas de los Yauyos, comprobando que las operaciones fueron practicadas como tratamiento de fracturas deprimidas, desprendimientos de periostio, y por posibles lesiones luéticas.
  • NEUROCIRUGIA MODERNA

    NEUROCIRUGIA MODERNA

    Joseph Lister profesor de cirugía de Glasgow, basándose en los estudios de Louis Pasteur y de Robert Koch, recomendó el empleo de fenol en el tratamiento de las heridas, iniciándose así la antisepsia.
  • Percival Bailey junto a Cushing

    Percival Bailey junto a Cushing

    Crean una clasificación de los tumores cerebrales que ha pasado a la historia. Los cuales son mencionados en sus estudios respecto a la epilepsia y su conocido atlas estereotáxico.
  • Segundo periodo de la neurocirugia (microcirugía y formación)

    Segundo periodo de la neurocirugia (microcirugía y formación)

    Destacan los avances en microcirugía con el desarrollo del microscopio, la neuroanestesia, instrumentos de coagulación, inicios de neuro-radiología con la ventriculografía y arteriografía, antibioterapia y potenciación del esterotaxia.
  • Clovis Vincent

    Clovis Vincent

    Sus aportaciones más notables se centraron en el campo de la neurotraumatología y en el de los abscesos cerebrales. En sus últimas escrituras se enfocó, en los abscesos agudos, hacer una gran craniectomía descompresora sin apertura de la duramadre con esta técnica.
  • Walter Dandy

    Walter Dandy

    introdujo las técnicas de ventriculografía y neumoencefalografía. Realizó y refinó innumerables técnicas quirúrgicas destinadas a la resección de tumores interventriculares describió el uso de los primeros neuroendoscopios, fue el primero en clipar un aneurisma cerebral.
  • Washington Adson

    Washington Adson

    Creó diversos instrumentos utilizados hoy día en todos los servicios neuroquirúrgicos, como las pinzas de adson
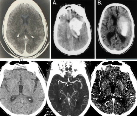
  • Tercer periodo de la neurocirugia (imagen diagnostica)

    Tercer periodo de la neurocirugia (imagen diagnostica)

    Es donde destaca la dictadura de la imagen diagnostica.
  • Houndsfield y Cormack

    Houndsfield y Cormack

    La Tomografía Axial Computarizada (TAC) hizo que ellos fueran merecedores del Premio Nobel al permitir por primera vez, la visualización de lesiones a partir de imágenes del interior del cráneo.
  • Cuarto periodo de la neurocirugia (mejoría de calidad de vida)

    Cuarto periodo de la neurocirugia (mejoría de calidad de vida)

    Se observa un crecimiento exponencial en tecnologías, pero también las mejorías en la neuroanestesia, instrumental, materiales protésicos, técnicas quirúrgicas, así como subespecialidades estrechamente relacionadas a la neurocirugía
  • Siglo XXI

    Siglo XXI

    Se fue ampliando, en parte por la mejoría tecnología (microscopios, coaguladores) que permitía al neurólogo realizar más diagnósticos y por consiguiente al cirujano realizar más intervenciones de manera más segura, en menos tiempo y con menos complicaciones.
  • AVANCES ACTUALES DE LA NEUROCIRUGIA (2001-2019)

    AVANCES ACTUALES DE LA NEUROCIRUGIA (2001-2019)

    Varios investigadores encuentran y describen los siguientes procedimientos:
    - La cirugía estereotáxica: Es una forma de intervención quirúrgica mínimamente invasiva, que utiliza un sistema de coordenadas tridimensional para localizar pequeños objetivos anatómicos dentro del cerebro mediante un marco colocado en la cabeza del paciente se toman imágenes de diagnóstico (tomografías o resonancias).
  • Neuroinvestigación

    Neuroinvestigación

    Consiste en una sofisticada tecnología informática que tiene como soporte físico un potente computador que incluye un software específico que procesa las imágenes neurorradiológicas digitalizadas.
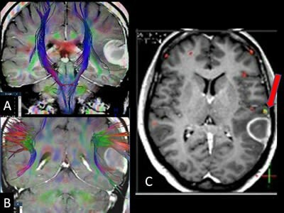
  • La tractografía por tensor de difusión (DTI)

    La tractografía por tensor de difusión (DTI)

    Es un sistema de planificación prequirúrgica y de guía intraoperatoria sirve como la eliminación de lesiones cerebrales en el interior o adyacente a áreas que tienen riesgo de ser lastimadas las fibras subcorticales que nacen de ellas.
  • La neuroendoscopia

    La neuroendoscopia

    Es una técnica mínimamente invasiva que provee un acceso rápido a las patologías mediante pequeñas perforaciones craneanas, de esta manera se impide hacer abordajes craneanos profundos y reducciones del tejido cerebral evitando el trauma excesivo del cráneo.
  • El aspirador ultrasónico

    El aspirador ultrasónico

    Se utiliza en neurocirugía para la resección de todo tipo de tumores intracraneales y espinales, facilitando y acortando el tiempo quirúrgico y el sangrado del paciente.

Looking for a timeline maker?

Create timelines for projects, roadmaps, history, lessons, legal cases, and stories with Timetoast. Timetoast is a timeline maker for work, school, research, and stories.