Micro

Historia de la microbiología

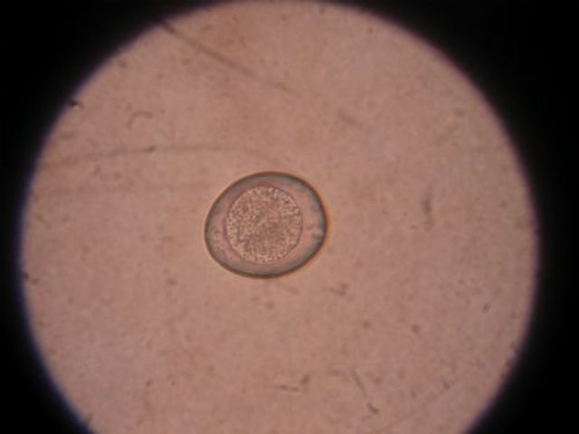
  • Cisticercosis Porcina
    Jan 1, 1010

    Cisticercosis Porcina

    Aristóteles menciona las larvas de un éstrido en la tráquea de un cerdo
  • Helmintos
    Apr 10, 1280

    Helmintos

    S. Alberto Magno cita helmintos de caballo y de los halcones
  • Lesiones Cutáneas
    Aug 29, 1290

    Lesiones Cutáneas

    J.A Salamiella junto a Sanz Egaña crean la primera cita de tripanosomosis
  • Paludismo
    Sep 25, 1493

    Paludismo

    Alvarez Chanca, que acompaño a Colón en el segundo viaje, da la primera noticia americana del paludismo, que padeció en aquellas tierras lejanas
  • Origen y difusión de enfermedades
    Sep 10, 1577

    Origen y difusión de enfermedades

    Mercuralis creía que las pulgas podían transmitir la peste desde los muertos o los enfermos a los sanos
  • Helmintología humana

    Helmintología humana

    N. Andry escribió una obra de helmintología humana en la que abarca tenias del hombre o solitaria
  • Sarna humana

    Sarna humana

    Wichmann confirma la etiología de la sarna humana
  • Análisis coprológicos veterinarios

    Análisis coprológicos veterinarios

    Abilgaard desarolló varios ejemplares de cestodo en la Antártida y estudio innumerables microorganismos y realizó los primeros Análisis coprológicos veterinarios
  • Lepra

    Lepra

    Linneo atribuyó la lepra a nematodos parásitos de peces conocidos como anisákidos.
  • Quimioterapia

    Quimioterapia

    Romanowski junto a Ehrlinch ayudaron al progreso de la quimioterapia debe mucho a los modelos experimentales, pues el ensayo de todos los antiparasitarios requiere un cribato inicial en el laboratorio.
  • Leyes de Mendel

    Leyes de Mendel

    La aplicación de las leyes de Mendel a la definición de las especies y la noción de la especificidad parasitaria dieron una nueva perspectiva a la taxonomía.
  • Parasitología

    Parasitología

    J. Gállego autor de atlas de parasitología excelentemente ilustrado y de un manual de parasitología

Looking for a timeline maker?

Create timelines for projects, roadmaps, history, lessons, legal cases, and stories with Timetoast. Timetoast is a timeline maker for work, school, research, and stories.