Historia Clínica

  • Ataque cerebrovascular

    Sintomatología: hemihipoestesia faciobraquiocrural derecha
    Fue hospitalizado y se manejó con ASA 100 mg VO/día y Atorvastatina 40 mg vo/día.
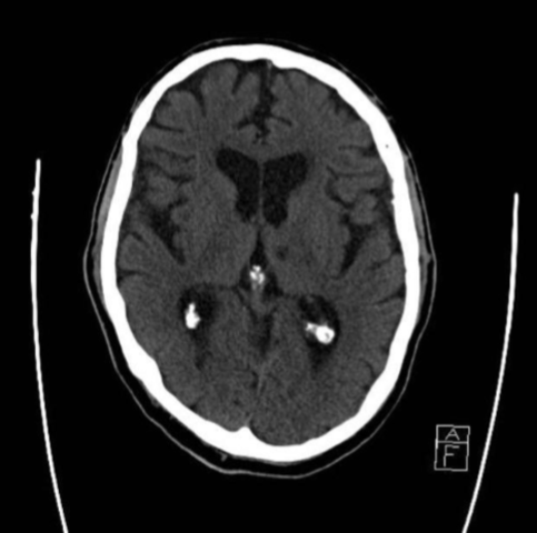
  • Tomografía

    Tomografía

  • Period: to

    Motivo de consulta

    Ha presentado episodios de dolor tipo corrientazos en el hemicuerpo derecho, asociados a alodinia intermitente. Al examen físico usted encuentra solo datos de alodinia en hemicuerpo izquierdo, tanto en cara, brazo y pierna.

Want to make a timeline like this?

Use Timetoast to turn dates, events, milestones, and phases into a clear visual timeline you can build and share. Timetoast is a timeline maker for work, school, research, and stories.