Infografia del Cerebro

  • Implantes Neuronales

    Implantes Neuronales

    -Inventor: Eduard Hitzig y Fritsch Gustav.
    - es un dispositivo tecnológico que se conecta directamente al cerebro de un sujeto biológico, por lo general se coloca en la superficie del cerebro, o conectado a la corteza cerebral.
  • Electroencefalograma (EEG)

    Electroencefalograma (EEG)

    -Inventor: Hans Berger
    -se utiliza para detectar anomalías relacionadas con la actividad eléctrica del cerebro.
    -Este procedimiento realiza un seguimiento de las ondas cerebrales y las registra, La actividad eléctrica normal del cerebro forma un patrón reconocible. Por medio de un EEG, los médicos pueden buscar patrones anormales que indiquen convulsiones u otros problemas.
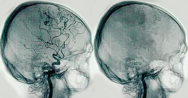
  • Angiografia

    Angiografia

    -Inventor: Antonio Caetan de Abreu.
    -es el estudio de los vasos sanguíneos que no son visibles mediante la radiología convencional.
  • Tomografia por Emision de Positrones (PET)

    Tomografia por Emision de Positrones (PET)

    -Inventor: Doctor Bownell.
    -En 1927 se descubre teorica y experimentalmente el positron por P.A.M. Dirac.
    -Es un estudio por imágenes donde se utiliza una sustancia radiactiva llamada marcador para buscar una patología en el cerebro.
  • Electrocortigrafia

    Electrocortigrafia

    -Inventor: fisiologo Willem Einthoven.
    -Es la practica de utilizar una red de electrodos colocados directamente sobre la superficie expuesta del cerebro para registrar la actividad eléctrica de la corteza cerebral.
  • Tomografia por Emision de Positrones (PET)

    Tomografia por Emision de Positrones (PET)

    -se crea una nueva version dell tomografo incrementando la sensibilidad y la posibilidad de obtener imagenes 3D.
  • Tomografia axial Computarizada (TAC)

    Tomografia axial Computarizada (TAC)

    -1895 se descubre los rayos x por roengent.
    -1967 propuso la construccion del escaner EMI, siendo la base para el desarrollo del TAC.
    -es una prueba diagnóstica que, a través del uso de rayos X, permite obtener imágenes radiográficas del interior del organismo en forma de cortes trasversales o, si es necesario, en forma de imágenes tridimensionales.
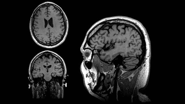
  • Resonancia Magnetica

    Resonancia Magnetica

    -Inventor: Doctor Raymond Damadian
    -puede ser usada para detectar enfermedades porque distintos tipos de tejidos emiten señales que varían en su duración, en respuesta al campo magnético.
  • Tomografia axial Computarizada (TAC)

    Tomografia axial Computarizada (TAC)

    -se realiza el primer escanner craneal.
    -1973 se hacen los primeros estudios con scanner en USA.
  • Resonancia Magnetica

    Resonancia Magnetica

    -Autor: Investigador Paul Lauterbur.
    -se crea la primera resonancia magnética en 2 y 3 dimensiones utilizando gradientes.
  • Angiografia

    Angiografia

    -se crea la Angeografia digital
  • Estimulacion Transcraneal con corriente directa

    Estimulacion Transcraneal con corriente directa

    -Inventor:
    - Es una técnica de estimulación cerebral (neuroestimulación) que puede potenciar nuestras funciones cognitivas.
  • Angiografia

    Angiografia

    -se crea la Angiografia con substraccion digital y reconstruccion digital

Want to make a timeline like this?

Use Timetoast to turn dates, events, milestones, and phases into a clear visual timeline you can build and share. Timetoast is a timeline maker for work, school, research, and stories.