Todo el ciclo

GAMETOGENESIS - Ovogenesis

  • Células Germinales

    Células Germinales

    Grupo de células epiblasticas migran por la linea primitiva y se establece en el saco vitelino donde se diferencian como células germinales primordiales, se reconocen a partir del día 24 de vida intrauterino
  • Ovario

    Ovario

    Glándula sexual femenina con forma de almendra situada en ambos lados del útero produce hormonas estrogeno y progesterona
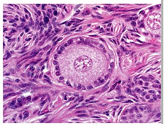
  • Ovocito primario

    Ovocito primario

    Ovocito primario foliculo primario comienzo de la primera fase de la meiosis
  • ovocito primario 46,xx

    ovocito primario 46,xx

    primera inicio de la primera división meiótica y el crecimiento del foliculo en fase de crecimiento
  • Ovocito primario 46,xx

    Ovocito primario 46,xx

    Foliculo en fase de crecimiento
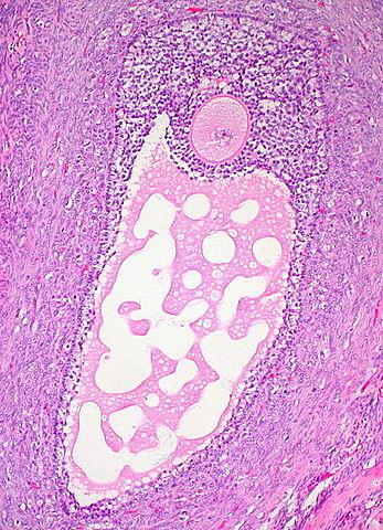
  • Ovocito primario 46,xx

    Ovocito primario 46,xx

    un mayor crecimiento del foliculo y apreciacion de zona pelúcida
  • Ovocito secundario 23,X

    Ovocito secundario 23,X

    se detiene en la metafase ll
  • Ovocito secundario 23,X

    Ovocito secundario 23,X

    Folículo maduro,primer corpúsculo polar,apreciación de una teca interna y una teca externa
  • Ruptura del folículo maduro

    Ruptura del folículo maduro

    libera al ovocito secundario mediante una ruptura que contribuye la hormona luteinizante
  • Ovocito fecundado

    Ovocito fecundado

    expulsa un segundo corpúsculo polar,se aprecia una corona radiada se estimula la terminacion de la segunda divicion meiotica

Plan projects on a visual timeline

Map milestones, phases, deadlines, and key events in one place so the sequence is easier to see and share. Timetoast is a timeline maker for work, school, research, and stories.