Evolución de capacidades Neuro-Cerebrales

  • Inicio de la evolución
    4000 BCE

    Inicio de la evolución

    Para hablar de como surgió el estudio y evolución del cerebro, nos remontaremos a los primeros años donde surgieron los mayores cambios en este importante órgano.
  • Australopithecus afarensis
    2500 BCE

    Australopithecus afarensis

    El cerebro comenzó a tener procesos de evolución notorios a partir del pre homínido Australopithecus afarensis, es allí donde se da a conocer que esta especie era bípeda y caminaban de manera rígida, siendo un posible predecesor de nuestro género con un volumen cerebral de aproximadamente 500 centímetros cúbicos - y lo hizo a un ritmo estimado de 150.000 neuronas por generación.
  • Homònidos
    230 BCE

    Homònidos

    La fase final de la evolución de los seres humanos, esta presidida por cuatro especies humanas que son: Homo habilitus, Homo erectus, Homo neanderthalensis, Homo sapiens
  • Entendimiento
    5 BCE

    Entendimiento

    En el siglo V se descubrió a través de disecciones en animales, realizadas por Alcmeon de Crotona, que el cerebro a parte de percibir sensaciones, es un instrumentos de pensamiento y memoria
  • Anatomia del cerebro
    1550

    Anatomia del cerebro

    Andres Vesalio, investigador sobre la anatomía humana, dedico apartados de sus investigaciones, atribuía las funciones del cerebro a los ventrículos y las interconexiones entre si.
  • Estimulos del medio

    Estimulos del medio

    Rene Descartes contribuyo con la información que analizo, la cual se relacionaba con las reacciones resultantes del cerebro, a través de estímulos externos, conectando al cerebro con aquellos objetos o situaciones que se encuentran alrededor del sujeto.
  • Cerebri Anatome

    Cerebri Anatome

    Thomas Willis, escribio el libro "Cerebri Anatome", donde se evidencia su analisis y comparaciones del cerebro humano con otros mamiferos y de otros animales entre si. Atribuyo funciones cognitivas y sensoriales a la formacion de estructuras cerebrales.
  • Galvanismo

    Galvanismo

    Luigi Galvani publico su libro de "viribus electricitatis in motu musculari commentarius", allí plasmo su descubrimiento accidental, sobre los impulsos nerviosos a través de corriente eléctrica por la médula espinal, generando contracciones, permitiendo la movilidad de músculos en el cuerpo, demostrando así, que el cerebro produce electricidad, que fluyen a través de los nervios.
  • Fundamentos Neuro-sensoriales

    Fundamentos Neuro-sensoriales

    En los años 1800 y 1850 se trabajo en la formacion de fundamentos esenciales para la psicología experimental, Es en esta época que se le da una distinción a los nervios sensoriales y motores.
  • Carta Magna Neurologia

    Carta Magna Neurologia

    en 1811, Charles Bell, publico quizás el libro mas importante de la neurología, en donde básicamente plasma su descubrimiento con referencia los nervios periféricos, las raíces ventrales y su conexión con el cerebro.
  • Bell-Magendie

    Bell-Magendie

    Francois Magendi, demuestra que la teoría de Charles Bell estaba correcta, por lo cual, se nombra la ley Bell-Magendie donde se define que las raices anteriores son motoras y las posteriores son sensoriales
  • El origen de las especies

    El origen de las especies

    Con charles Darwin, comienza el debate sobre la evolución y la selección natural de las especies.
  • La Práctica Conduce al Conocimiento.

    La Práctica Conduce al Conocimiento.

    El neurólogo Guillaume Duchenne interviene y estudia el cerebro de un hombre quien sufría de ataques de epilepsia, divide la corteza cerebral,descubre cómo se comportan los hemisferios de nuestro cerebro al evidenciar el haz de tejidos nerviosos que une los hemisferios del cerebro.
  • Genio Heredado

    Genio Heredado

    Francis Galton publica en 1869 un estudio analítico, basado en la herencia de la capacidad intelectual, referente aun reproducción selectiva que conduce a crear seres humanos con mejores capacidades, es decir, el creia que la inteligencia o las capacidades intelectuales se heredaban.
  • Nitrato de plata

    Nitrato de plata

    Camillo Golgi se caracterizo por la manera en que realizo su descubrimiento sobre la estructura en forma de red que parte de varias ramas entrelazadas de axones, provenientes de varias capas celulares. Lo hizo tiñendo el tejido nervioso, a partir de nitrato de plata.
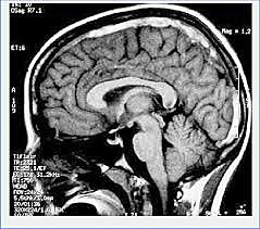
  • Nuevas tecnologias

    Nuevas tecnologias

    en el año 2003 se descubrió la resonancia magnética, gracias a Paul Lauterbur y Peter Mansfield, permitiendo detectar cambios en el flujo sanguíneo cuando una persona implementa nuevas tareas motoras o sensoriales.

Want to make a timeline like this?

Use Timetoast to turn dates, events, milestones, and phases into a clear visual timeline you can build and share. Timetoast is a timeline maker for work, school, research, and stories.