- 
  
  Fue el primero en utilizar el microscopio óptico formado por varias lentes, al observar una lamina de corcho descubrió unas diminutas cerillas que denominó cella (células).
- 
  
  Con un microscopio muy sencillo fabricado por el, descubrió pequeños seres vivos en el agua los llamó animalículos.
- 
  
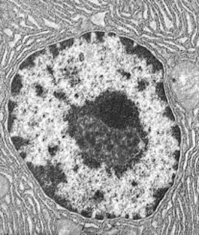
  Descubrió el núcleo de las células
- 
  
  descubrió el medio intracelular, denominado protoplasma, y hoy conocemos como citoplasma.
- 
  
  Schleiden concluyó que todos los tejidos vegetales estaban formados por células. Al año siguiente, Shwann extendió esta conclusión a los animales y propuso que la célula el la unidad elemental de los seres vivos.
- 
  
  Formuló el axioma: (toda célula procede de otra célula
- 
  
  Propuso que las características de las células se transmiten desde las células madre hasta las hijas.
- 
  
  Empleó un metodo de tinción con sales de plata para estudiar el tejido nervioso y demostró que la neurona es la unidad atómica y funcional del sistema nervioso.
- 
  
  Descubrieron de forma independiente que los cromosomas de las células se encuentra en las información genética. (ADN)
- 
  
  Descubrieron la estructura del material genético presente en el núcleo de las células.
- 
  
  Desarrolló una teoría que explica el origen de las células eucariotas a partir de las procariotas.
