Ecf9f2574

Desarrollo embrionario del sistema visual

  • Desarrollo del  campo o área ocular y surco óptico
    4 BCE

    Desarrollo del campo o área ocular y surco óptico

    Al comienzo del período somítico aparece en el neuroectodermo un engrosamiento a cada lado de la extremidad anterior de la placa neural, es el denominado campo o área ocular. Cada campo ocular comienza a evaginarse formando el surco óptico.
  • Vesícula óptica
    4

    Vesícula óptica

    Cuando se completa el cierre del neuroporo anterior, alrededor del día 25 del desarrollo, el esbozo óptico aparece como un divertículo lateral del prosencéfalo, denominado vesícula óptica
  • Cúpula óptica, cristalina, hendidura embrionaria
    4

    Cúpula óptica, cristalina, hendidura embrionaria

    La vesícula óptica está relacionada con la formación de
    la placoda cristaliniana. Ésta se invagina, constituyendo la vesícula cristaliniana. Al mismo tiempo, la porción distal e inferior de la vesícula óptica se deprime de forma gradual para formar una invaginación con dos capas, interna y externa, denominada cúpula óptica. Esta invaginación recorre longitudinalmente el pedículo óptico formando una hendidura conocida como hendidura
    embrionaria
  • Desarrollo del iris y cuerpo ciliar
    5

    Desarrollo del iris y cuerpo ciliar

    El iris se forma a partir del reborde de la cúpula óptica,
    cubriendo parcialmente al cristalino. El epitelio iridiano
    presenta las dos capas de la cúpula óptica; se continúa con el epitelio del cuerpo ciliar y con el epitelioretiniano pigmentario y sensorial.
  • Arteria hialoidea en hendidura embrionaria
    6

    Arteria hialoidea en hendidura embrionaria

    La formación de la hendidura embrionaria conlleva que tanto la capa interna como la externa de la cúpula óptica se continúen con las correspondientes del pedículo óptico. Esta continuidad crea un túnel de paredes superiores a través del cual discurre la arteria hialoidea, rama de la arteria oftálmica, que, de esta manera, penetra en la cúpula óptica sin atravesar ninguna de sus paredes.
  • Desarrollo de la retina
    6

    Desarrollo de la retina

    La cúpula óptica está compuesta por 2 hojas o capas:
    1. Interna, poliestratificada, que dará lugar a la retina
    neural.
    2. Externa, formada por 2-3 capas seudoestratificadas,
    esbozo de la lámina pigmentaria.
  • retina neurosensorial.
    6

    retina neurosensorial.

    Bajo la influencia del cristalino en desarrollo, la capa u hoja interna, futura retina neural, prolifera y da lugar a un neuroepitelio grueso que se diferenciará en retina neurosensorial. Esta zona contendrá los fotorreceptores y los cuerpos celulares de las neuronas.
  • Lamina pigmentaria
    6

    Lamina pigmentaria

    Las células de la capa externa o lámina pigmentaria de la retina no se diferencian en neuronas durante el período prenatal, pero en la vida posnatal algunas de estas células mantienen propiedades de células madre y pueden diferenciarse en múltiples tipos de células. Se considera que la melanina, o algún producto asociado, regula el desarrollo de las capas neurales.
  • Desarrollo del nervio optico
    6

    Desarrollo del nervio optico

    Los axones de las células ganglionares de la retina neurosensorial crecen hacia el pedículo o tallo óptico. De esta manera, la cavidad del tallo se va obliterando. La aparición de los axones en la futura papila se observa en embriones de 16 mm de longitud. Las células del pedículo óptico rodean cranealmente a estas fibras y a la arteria hialoidea
  • Hendidura embrionaria cerrada
    7

    Hendidura embrionaria cerrada

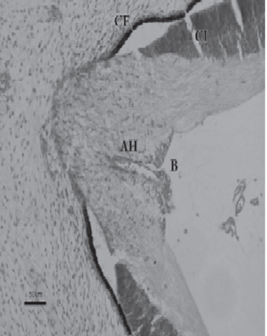
    Durante el segundo mes del desarrollo comienza el cierre de la
    hendidura embrionaria, debido al crecimiento de los bordes del pedículo óptico. Inicialmente se fusiona la porción intermedia y se extiende en sentido proximal y distal, hasta que a los 20 mm de longitud queda totalmente obliterada. Se observa el quiasma óptico. En la región de la futura papila aparece una acumulación de glioblastos,separando las fibras del nervio óptico del vítreo secundario
  • Limitante de glioblastos en trayecto intravitreo de la arteria hialoidea
    7

    Limitante de glioblastos en trayecto intravitreo de la arteria hialoidea

    Al final del período embrionario, el nervio óptico presenta un trayecto que va desde la parte posterior del globo ocular hasta el quiasma. Los glioblastos se acumulan en la papila, separan las fibras nerviosas en la región coroidea, separándolo del mesénquima vecino. Las funciones que tienen en el adulto son de protección y soporte en su giro, de resistencia a las presiones con los movimientos y de organización de los haces a su paso por la lámina cribosa.
  • Desarrollo del cristalino
    7

    Desarrollo del cristalino

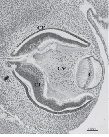
    La placoda cristaliniana se invagina, hasta que un día más tarde se desprende de la superficie ectodérmica, formando la vesícula cristaliniana. Inicialmente ésta presenta una cavidad en su interior. Este fenómeno coincide con la aparición del cuerpo vítreo primario, entre la vesícula y la cúpula óptica Las fibras de la pared profunda de la vesícula cristaliniana se diferencian para formar las fibras primarias del cristalino. De esta forma, se va obliterando lacavidad de la vesícula cristaliniana
  • Desarrollo del cristalino
    7

    Desarrollo del cristalino

    La vesícula del cristalino recibe irrigación de la arteria hialoidea, que también irriga a la retina en desarrollo. Cuando el cristalino madura en la vida fetal, la porción de la arteria hialoidea que cruza el cuerpo vítreo degenera, dando lugar en el adulto al ligamento de CloquetStilling, que se dispone desde la cara posterior del cristalino hasta la papila. La porción proximal de la arteria hialoidease convierte en la arteria central de la retina.