3

Desarrollo de dentición

  • Period: 1 CE to 3

    ERUPCIÓN ELEMENTOS TEMPORARIOS

    ICI-6 MESES
    ICS-8 MESES
    ILS-10 MESES
    ILI-12 MESES
    1°M S/I- 16 A 20 MESES
    C S/I -20 A 24 MESES
    2° M S/I -28 A 30 MESES
  • OVERJET 4mm (2 AÑOS)
    2

    OVERJET 4mm (2 AÑOS)

    4mm
  • Period: 3 to 4

    ARCOS

    ARCO ESTABLE, POCOS CAMBIOS
  • Period: 3 to 6

    PRIMER PERIODO DE REPOSO

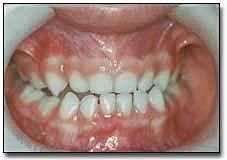
  • OVERJET BORDE A BORDE( 5 AÑOS)
    5

    OVERJET BORDE A BORDE( 5 AÑOS)

    RELACIÓN BORDE A BORDE
  • Period: 5 to 6

    ARCO

    CAMBIA EL TAMAÑO DEL ARCO POR ERUPCIÓN DEL 6
  • Period: 6 to 8

    PRIMER PERIODO DE RECAMBIO

    ERUPCIÓN DE 1° MOLAR PERMANENTE
    -SUPERIOR EN FORMA DEBADAJO DE CAMPANA
    -INFERIOR EN FORMA DE TROMPADA
    EXFOLIACIÓN DE IT
  • Period: 8 to 9

    SEGUNDO PERIODO DE REPOSO

  • Period: 9 to 12

    SEGUNDO PERIODO DE RECAMBIO

    -EXFOLIACIÓN DE C Y MT
    -ERUPCIÓN DE C, PM Y 2°M
  • Period: 12 to 13

    CORRIMIENTO MESIAL TARDIO

    MOVIMIENTO HACIA MESIAL POR ERUPCIÓN DEL SEGUNDO MOLAR , CIERRE DE ESPACIOS DE DERIVA, ES MAYOR EN EL MAXILAR INFERIOR
  • Period: 17 to 20

    ERUPCIÓN DE 3°MOLAR PERMANENTE

Want to make a timeline like this?

Use Timetoast to turn dates, events, milestones, and phases into a clear visual timeline you can build and share. Timetoast is a timeline maker for work, school, research, and stories.