-
Louis Pasteur sets up a classic experiment to prove cell theory and disprove spontaneous generation. https://micro.magnet.fsu.edu/optics/timeline/people/janssen.html
-
Figured out developing organisms went through several stages before they were done forming. https://embryo.asu.edu/pages/aristotle-384-322-bce#:~:text=Through%20his%20study%20of%20chick,a%20theory%20later%20called%20epigenesis.
-
First compound microscope https://micro.magnet.fsu.edu/optics/timeline/people/janssen.html
-
He found out that the mass of the entire plant was much more than the weight of the displaced original pounds of soil. https://www.britannica.com/biography/Jan-Baptista-van-Helmont
-
Robert Hooke looked through a thin slice of cork under his microscope and saw a honeycomb structure made of cells. https://micro.magnet.fsu.edu/optics/timeline/people/janssen.html
-
Scientist Anton Van Leeuwenhoek, greatly improved the microscope to the point it could see single celled organisms that lived in a drop pond. He called these sightings "animalcules." https://micro.magnet.fsu.edu/optics/timeline/people/janssen.html
-
Lorenz Oken was trained in medicine at Freiburg university and made the statement all things are made of cells. https://www.britannica.com/biography/Lorenz-Oken
-
Proposed all plant tissues are composed of cells. https://micro.magnet.fsu.edu/optics/timeline/people/janssen.html
-
While at dinner with Schleiden, he spoke about the plant tissue discovery which led to him testing meats, where he found the same conclusion. https://micro.magnet.fsu.edu/optics/timeline/people/janssen.html
-
Roelliker discovers sperm and eggs are made of cells furthering cell theory greatly. https://www.softschools.com/timelines/cell_theory_timeline/96/#:~:text=Albrecht%20von%20Roelliker%20discoveres%20that%20sperm%20and%20eggs%20are%20also%20cells.&text=Carl%20Heinrich%20Braun%20reworks%20the,the%20basic%20unit%20of%20life.&text=Rudolf%20Virchow%2C%20a%20German%20physiologist,part%20to%20the%20cell%20theory.&text=This%20translates%20as%20all%20cells%20develop%20only%20from%20existing%20cells.
-
Proposed all living cells come from living cells. https://micro.magnet.fsu.edu/optics/timeline/people/janssen.html
-
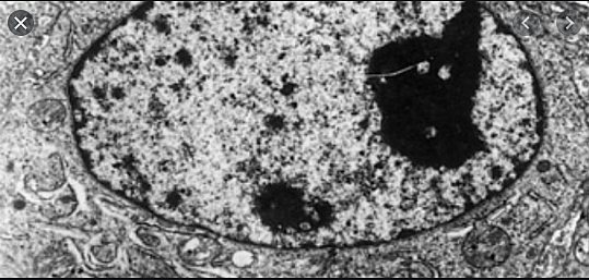
discovers the nucleous furthering the theory that everything comes from cells. https://study.com/academy/lesson/robert-brown-cell-theory-inventions-discoveries.html#:~:text=Brown%20published%20his%20research%20findings,half%20of%20the%20cell%20theory.
Looking for a timeline maker?
Create timelines for projects, roadmaps, history, lessons, legal cases, and stories with Timetoast. Timetoast is a timeline maker for work, school, research, and stories.