Cell Theory

  • Micrographia published

    Micrographia published

    Hooke published “Micrographia”, the first important work devoted to microscopical observation, and showed what the microscope could mean for naturalists.
  • Leeuwenhoek Discovery

    Leeuwenhoek Discovery

    Antoni van Leeuwenhoek saw that the particles under his microscope were motile and, assuming that motility equates to life, he went on to conclude, in a letter of 9 October 1676 to the Royal Society. Which lead to other naturalists wanting to use microscopes.
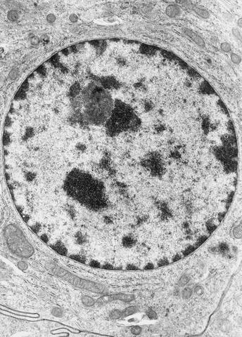
  • Nucleus discovery in epithelial cells

    Nucleus discovery in epithelial cells

    The abbot Felice Fontana glimpsed the nucleus in epithelial cells. This opened a hole for new ideas about the nucleus.
  • Achromatic microscopes introduced

    Achromatic microscopes introduced

    Achromatic microscopes were introduced, allowing more precise histological observations.
  • The term nucleus being introduced

    The term nucleus being introduced

    The Scottish botanist Robert Brown was the first to recognize the nucleus (a term that he introduced) as an essential constituent of living cells.
  • Plants have cells

    Plants have cells

    The botanist Matthias Jakob Schleiden suggested that every structural element of plants is composed of cells or their products.
  • Cell theory

    Cell theory

    The idea that the cell is the basic component of living organisms emerged well before 1838–39, which was when the cell theory was officially formulated. This set basic rules for cell discovery.
  • Animals have cells

    Animals have cells

    The following year after Scheleiden’s discovery, a similar conclusion was elaborated for animals by the zoologist Theodor Schwann. With this discovery both of their conclusions came together and formed an idea.
  • Free cell formation theory was refuted

    Free cell formation theory was refuted

    The theory of ‘free cell formation’ was reminiscent of the old ‘spontaneous generation’ doctrine (although as an intracellular variant), but was refuted in the 1850s. This finished off the cell theory by giving more evidence that cells come from pre-existing cells.
  • Cells come from pre-existing cells

    Cells come from pre-existing cells

    Robert Remak, Rudolf Virchow and Albert Kölliker all showed that cells are formed through scission of pre-existing cells. This added onto the cell theory.

A list shows items. A timeline shows sequence.

Use Timetoast to make dates, milestones, and turning points easier to understand in a clear visual format. Timetoast is a timeline maker for work, school, research, and stories.