Caso clinico dolor #1

  • Ataque cerebro-vascular

    Ataque cerebro-vascular

    Paciente refiere ataque cerebro-vascular acompañado de hemihipostesia faciobraquiocrural derecha.
  • Hospitalización

    Hospitalización

    Ingresa ala hospital y es manejado con: ASA 100 mg VO/día y Atorvastatina 40 mg vo/día.
  • Episodios de dolor

    Hace 6 meses presenta dolor tipo corrientazos en hemicuerpo derecho. Asociados a alodinia intermitente.
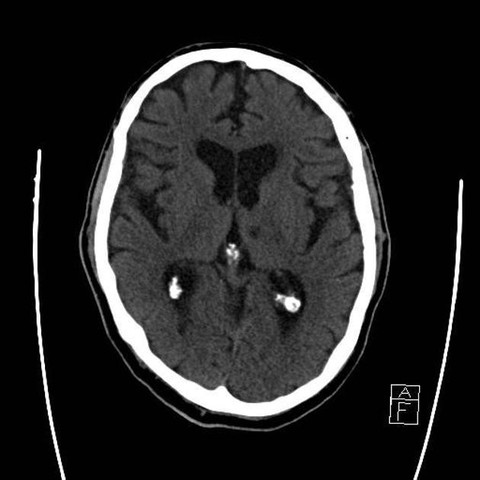
  • Tomografía

    Tomografía

    Paciente aporta tomografía de hace 5 meses.
  • Examen Físico

    Se encuentra alodinia en hemicuerpo izquierdo, tanto en cara, brazo y pierna.

Plan projects on a visual timeline

Map milestones, phases, deadlines, and key events in one place so the sequence is easier to see and share. Timetoast is a timeline maker for work, school, research, and stories.