Caso clínico ACV

  • Diagnóstico de Diabetes

    Diagnóstico de Diabetes

    Al paciente se le diagnosticó diabetes mellitus tipo I, a los 8 años, se empezó en tratamiento con insulina NPH: 30 unidades en la mañana y 10 en la noche
  • Inicio de cuadro clínico

    Inicio de cuadro clínico

    Inicio de déficit motor con hemiplejía izquierda y parestesias en dedos 2do y 3ero de miembros superior izquierdo, que luego se extendió hacia cuello
  • 24 horas despues del inicio del cuadro

    24 horas despues del inicio del cuadro

    Hemiparesia que lo dejó inhabilitado para la marcha
  • Ingreso a HUN

    Ingreso a HUN

    El paciente ingresó a HUN con cuadro de déficit motor de 5 días de evolución. Se le realizó examen físico, el cuál lo mostró orientado, con de presión arterial 109/70 mm Hg, frecuencia cardíaca: 74/min; frecuencia respiratoria: 20/min; saturación de oxígeno: 94%.
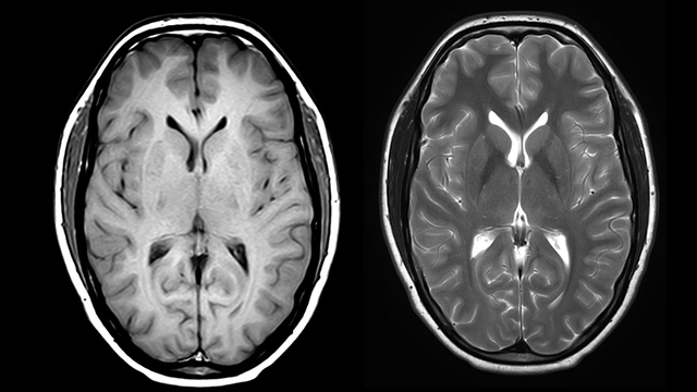
  • Paraclínicos de ingreso

    Paraclínicos de ingreso

    Se le realizaron exámenes paraclínicos de ingreso, los cuales mostraron glucometría 272 mg/ dl, y Hb Glicosilada 15,8% . Además se le realizó RM de encéfalo, en la cuál se evidenció lesión que restringía la difusión, visible en FLAIR y T2. Imagen hiperintensa en T1.
  • Terapia física

    Terapia física

    Se inició al paciente en terapia física basada en estiramientos pasivos sostenidos, movilizaciones pasivas por medio de patrones unilaterales, posicionamiento, fortalecimiento muscular, entrenamiento de agarre no y grueso y entrenamiento del patrón de marcha sin caminador, equilibrio y propiocepción. Mejoró a paresia braquial izquierda 3/5 y 4/5 crural ipsilateral, hipotónico, con Babinski izquierdo. Parestesias de hemicuerpo izquierdo. Logró marcha parética, muy limitada.

Want to make a timeline like this?

Use Timetoast to turn dates, events, milestones, and phases into a clear visual timeline you can build and share. Timetoast is a timeline maker for work, school, research, and stories.