Caso Clinico #1

  • Ataque cerebrovascular.

    sintomatología: hemihipoestesia faciobraquiocrural derecha.
  • Hospitalización

    Se manejó el ataque cerebrovascular con ASA 100 mg VO/día y Atorvastatina 40 mg vo/día.
  • Episodios de dolor.

    Hace aproximadamente 6 meses sufre episodios de dolor tipo corrientazos en el hemicuerpo derecho asociados a alodinia intermitente.
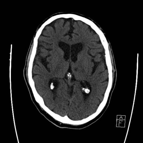
  • Tomografía

    Tomografía

    Aportada por el paciente. refiere 5 meses de antigüedad
  • Alodinia en hemicuerpo izquierdo.

    en el examen físico al paciente masculino de 52 años de edad se le encuentra alodinia en hemicuerpo izquierdo presente en cara, brazo y pierna.