CASO CLÍNICO 1

  • HEMATURIA CON COÁGULOS

    81 AÑOS. HTA. EPOC. FA. SAOS. Sintrom, Xarelto, Spiriva, Omeprazol, Trangorex, Urolosin, Avidart, Furosemida, Masdil, Tardyferon, Terbasmin, Onbrez. O2 24 horas
  • RTU VEJIGA

    Tumor sólido de 2-3 cm en divertículo de PLI de vejiga.
    pT1G2-3
  • Re-RTU vejiga

    pT0. "No urotelio viable. Infiltrado inflamatorio agudo y crónico. Reacción granulomatosa". BCG 1 año
  • RTU de vejiga

    Implante papilar de 5 mm en PLI y otro en infundíbulo de divertículo de PLD. pTa(is)G3
  • Paciente candidato a Cistectomía

    Valoración cardiológica y neumológica: paciente de alto riesgo quirúrgico. Paciente rechaza cistectomía
  • RTU de vejiga

    Tumor de 30 mm en PLI de aspecto sólido. Divertículo libre de tumor. Apat: pT2G3
  • SESIÓN. COMITÉ TUMORES

    Actitud expectante. Observación
  • RTU VEJIGA

    RTU VEJIGA

    Tumor de aspecto mixto de 20 mm en PLI de vejiga. Apat: pT1G3
  • CISTOSCOPIA

    CISTOSCOPIA

    Tumor papilar de 5 mm en fondo de divertículo en PLD de vejiga.
    Se remite a fotocoagulación láser.
  • LÁSER VEJIGA

    Fotocoagulación incompleta por localización no accesible a cistoscopio rígido.
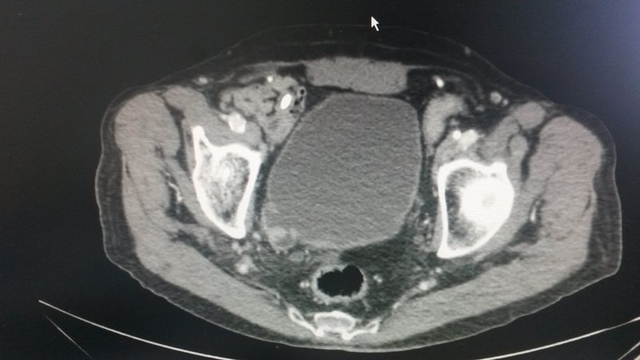
  • TAC abdomino-pélvico

    TAC abdomino-pélvico

    Lesión excrecente de 17x12 mm en divertículo postero-lateral derecho de vejiga
  • LÁSER

    "Tumor de 20 mm en divertículo de PLD no subsidiario de tto con láser"
  • ¿OPCIONES?

    ¿OPCIONES?

    Láser con flexible/RTU/Diverticulectomía