2020-03-20.ACT6-MADERA_MARIA

  • Historia Clínica

    Historia Clínica

    Se recopilo los datos generales del paciente y se encontró que el paciente presenta obesidad e hipertensión arterial hace aproximadamente 2 años.
  • Period: to

    BRUXISMO SEVERO EN PACIENTE HIPERTENSO

    Amnanesis
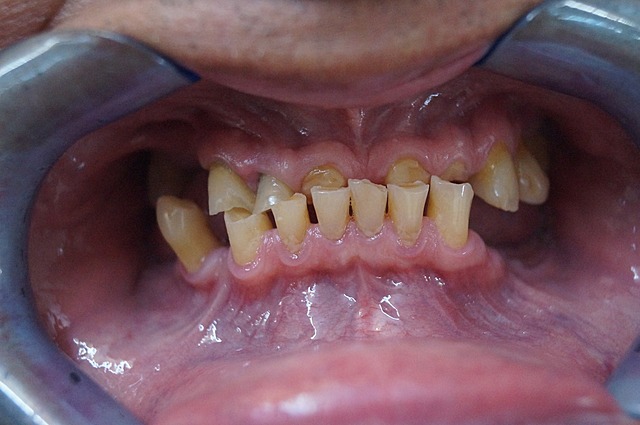
  • Fotografías intraorales y extraorales.

    Fotografías intraorales y extraorales.

    Se realiza la toma de fotografías intraorales y extraorales para tener un mejor diagnóstico.
  • Toma de modelos

    Toma de modelos

    Se realiza la toma de impresiones para tener una información detallada.
  • Articulado

    En este procedimiento se busca tener una copia exacta de la oclusión del paciente.
  • Period: to

    Bruxismo severo en paciente hipertenso

    el paciente refiere tener

Want to make a timeline like this?

Use Timetoast to turn dates, events, milestones, and phases into a clear visual timeline you can build and share. Timetoast is a timeline maker for work, school, research, and stories.