Biología 2

  • "Reproducción"

    "Reproducción"

    La reproducción es el proceso que se lleva a cabo para crear un nuevo organismo a partir de la combinación de material genético. Existen diversos tipos de reproducción, pero hay dos mas conocidos:
    1-Sexual: Es el proceso del que a través se crea un organismo, al combinar dos tipos de gametos o células sexuales (masculina y femenina) esta se produce gracias a la meiosis.
    2-Asexual: En este proceso no intervienen células sexuales, en su lugar, estas se separan para formar a un individuo.
  • "Cáncer cervical"

    "Cáncer cervical"

    También conocido como "cáncer endometrio", este cáncer se origina en el útero de la matriz. Se presenta en mujeres mayores de 50 años.
    Los síntomas que se desarrollan son:
    *Sangrado vaginal abundante, *dolor en la pelvis, *dolor al mantener relaciones sexuales y *periodo menstrual abundante
  • "Cáncer de próstata"

    "Cáncer de próstata"

    Este cáncer se origina cuando las células de la próstata comienzan a crecer sin control. La próstata es una glándula que sólo tienen los hombres. Esta glándula produce parte del líquido que conforma el semen. Algunos síntomas son:
    *problemas al orinar (dolor), *disfunción eréctil, *sangre en la orina o en el semen y *dolor de espalda y cadera
  • "Cancer de senos paranasales"

    "Cancer de senos paranasales"

    También conocido como "cáncer de cavidad nasal" es una enfermedad por la que se forman células malignas (cancerosas) en los tejidos de los senos paranasales y la cavidad nasal. Algunos síntomas son:
    *Obstrucción de los senos paranasales bloqueados que no mejora o presión, *dolores de cabeza o dolor en las áreas de los senos paranasales, *goteo nasal, *hemorragias nasales y *llagas en las fosas nasales
  • "Cáncer de colon"

    "Cáncer de colon"

    El cáncer de colon o colorrectar es el cáncer que comienza en el intestino grueso o en el recto. No hay una causa única para el cáncer de colon. Casi todos los cánceres de colon comienzan como pólipos no cancerosos (benignos), que lentamente se van convirtiendo en cáncer. Síntomas:
    *dolor en el abdomen y en el estomago, *cambio de habito de defecación, *heces estrechas y sangre en las heces, *fatiga, *perdida de peso y *exceso de gases
  • "Cáncer de mama"

    "Cáncer de mama"

    Este cáncer se desarrolla en las células de los pechos, se origina cuando las células en el seno comienzan a crecer en forma descontrolada. Estas células normalmente forman un tumor que a menudo se puede observar en una radiografía o se puede palpar como una protuberancia. Síntomas:
    *Seno: bultos, molestias, pezón invertido y/o secreciones del pezón *Dolor y enrojecimiento
  • "Cáncer de hueso"

    "Cáncer de hueso"

    Se origina debido a un conjunto de células atípicas que crecen en un hueso. La mayoría de los tumores óseos son benignos, también puede ser ocasionado por otro tipo de cáncer que se extienda hacia el hueso desde otras partes del cuerpo. Síntomas:
    *cojera, *fracturas, *hinchazón, *pérdida de peso, *sensación de cansancio y *dolor de huesos y en articulaciones
  • "Cáncer de pulmón"

    "Cáncer de pulmón"

    Se desarrolla debido al crecimiento maligno de células del tracto respiratorio, en particular del tejido pulmonar, y uno de los tipos de cáncer más frecuentes a nivel mundial. Generalmente se manifiesta en los fumadores. Síntomas:
    *Dolor al respirar, *dolor de costillas y pecho, *tos: con flema, seca, con sangre, intensa o crónica, *ganglios linfáticos, *inflamados, *molestia en el pecho, *pérdida de peso o ronquera, *dificultad para respirar, *infecciones respiratorias y *fatiga
  • "Cancer de higado"

    "Cancer de higado"

    El cáncer de hígado es una enfermedad por la cual se forman células malignas o cancerosas en los tejidos del hígado, puede originarse en el hígado o comenzar en otro lugar y posteriormente extenderse a este órgano. Síntomas:
    dolor de abdomen,*gastrointestinales: *líquido en el abdomen, *meteorismo, *náusea o vómito, fatiga, *pérdida de apetito, *picazón,*piel y ojos amarillos y *pérdida de peso
  • "Leyes de Mendel - 1"

    "Leyes de Mendel - 1"

    Ley de la uniformidad: Al cruzar dos variedades de una especie de raza pura, cada uno de los híbridos de la primera generación tendrá caracteres determinados similares en su fenotipo. Esto se debe a que las razas puras tienen un gen dominante o un gen recesivo.
  • "Leyes de Mendel - 2 "

    "Leyes de Mendel - 2 "

    Ley de la Segregación: Para que exista la reproducción de dos individuos de una especie, primero debe existir la separación del alelo de cada uno de los pares para que de esta manera se transfiera la información genética al hijo. Un alelo es, la variante genética que permite determinar un rasgo o carácter. Existen entonces, alelos dominantes y alelos recesivos.
  • "Leyes de Mendel - 3 "

    "Leyes de Mendel - 3 "

    Ley de la Herencia Independiente: Según Mendel, hay rasgos heredados que se obtienen de forma independiente, sin relación con el fenotipo, lo cual no afecta al patrón de herencia de otros rasgos. Esta ley se cumple en los genes que no están ligados, es decir que se encuentran en diferentes cromosomas o que están en zonas muy separadas del mismo cromosoma.
  • "Cuadro de Punnett"

    "Cuadro de Punnett"

    Este cuadro es usado por biólogos y genetistas, el cual sirve para poder realizar un cálculo para reconocer cuales son las posibles combinaciones de alelos se pueden producir un gameto y de esta manera poder ayudar a reconocer las proporciones en la descendencia.
  • "Anomalías cromosomícas - Anemia falciforme"

    "Anomalías cromosomícas - Anemia falciforme"

    Enfermedad en la cual el cuerpo produce glóbulos rojos con forma anormal, las células tienen forma semilunar o de una hoz. Características: *Síntomas: cansancio, debilidad, dificultad para respirar, mareos y dolor de cabeza *No hay cura, solo tratamientos para aliviar los síntomas *Una de cada 12 personas de raza negra es portadora del rasgo drepanocítico *Las personas con esta anemia nacen con dos células falciformes
  • "Anomalías cromosomícas - Sindrome de Edwards"

    "Anomalías cromosomícas - Sindrome de Edwards"

    Es una enfermedad cromosómica rara caracterizada por la presencia de un cromosoma adicional en el par 18. Características:
    *Defectos del corazón
    *Problemas renales
    *El esófago no se haya conectado con el estomago
    *Orejas planas y mal formadas
    *Cabeza con forma de fresa
    *Anomalías faciales
    *Retrasos en el crecimiento
    *Graves retrasos en el desarrollo
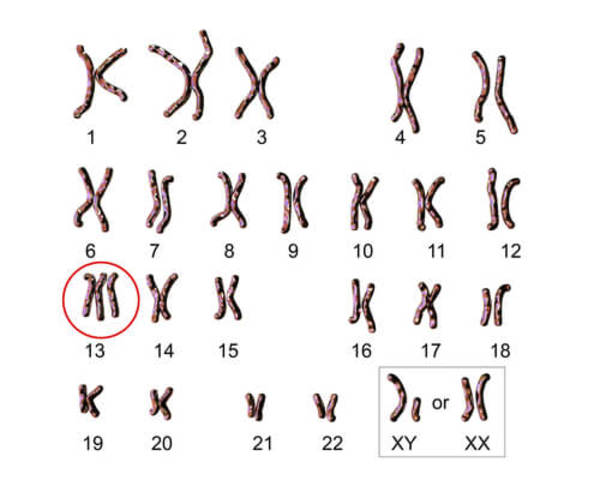
  • "Anomalías cromosomícas - Síndrome de Patau"

    "Anomalías cromosomícas - Síndrome de Patau"

    Es un trastorno genético generado por la alteración en el material genético del cromosoma 13 entre las alteraciones de los cromosomas se presentan diferentes modificaciones del ADN. Características:
    *Dedos adicionales en manos o pies
    *Pies deformes
    *Problemas neurológicos tales como cabeza pequeña, insuficiencia de cerebro, deficiencia mental severa.
    *Ojos pequeños, nariz ausente o mal formada, labio leporino y/o paladar hendido.
    *Defectos del corazón
    *Defectos renales
  • "Anomalías cromosomícas - Sindrome de Down"

    "Anomalías cromosomícas - Sindrome de Down"

    Es una alteración congénita ligada a la triplicación total o parcial del cromosoma 21, que origina retraso mental y de crecimiento y produce determinadas anomalías físicas. Características:

    *Un aspecto aplanado en la cara
    *Frente alta y ancha
    *Cabeza más pequeña, proporcionalmente.
    *Inclinación hacia arriba de los ojos
    *Nariz pequeña
    *Orejas pequeñas
    *Lengua grande o sobresaliente
    *Cuello corto

Looking for a timeline maker?

Create timelines for projects, roadmaps, history, lessons, legal cases, and stories with Timetoast. Timetoast is a timeline maker for work, school, research, and stories.