Bigstock medical technology 2940684

Tecnología médica de impacto en historia de la humanidad

  • Period: Jan 1, 1200 to

    800 años de tecnología médica

    Estos son algunos de los desarrollos tecnológicos en la medicina. Algunos son tan cotidianos que cuesta valorar su impacto! Muchísimos descubrimientos se han dado en los últimos cien años. Sin embargo, incluso en la Edad Media hubo grandes adelantos. Presione el vínculo ligado a las primeras palabras de cada texto para más información sobre el tema.
  • R. Bacon y los lentes de aumento.
    Jan 1, 1250

    R. Bacon y los lentes de aumento.

    LENTES Los lentes de aumento están entre los primeros instrumentos científicos. Roger Bacon detalló las teorías ópticas que explican su funcionamiento (1250). Los lentes de aumento fueron cruciales en mejorar las condiciones de vida de personas con deficiencia visual. También en el desarrollo de instrumentos que transformaron la humanidad (e.g. telescopios, microscopios.) Frescos de 1352 (Tommaso da Modena, Venecia) muestran ya el uso de estos dispositivos con propósito correctivo de miopía.
  • Termoscopio

    Termoscopio

    TERMOSCOPIO Este inmediato predecesor del termómetro fue inventado por Galileo Galilei en 1596. No medía temperaturas sino que comparaba la de dos cuerpos. En 1612, Santorio Santorio diseñó el primer termómetro. De inmediato uso en las ciencias, este pequeño artefacto fue fundamental en el diagnóstico médico también.
  • Invención del estetoscopio

    Invención del estetoscopio

    ESTETOSCOPIO El estetoscopio es un aparato simple que permitió el avance significativo de los diagnósticos médicos. El médico francés Dr. Rene Theophile Hyacinthe Laënnec tuvo la idea de aprovechar las propiedades de materiales que transportan ondas acústicas para sustituir la colocación de la mano u oído en la auscultación de sonidos en el pecho y espalda.
  • Rayos X

    Rayos X

    RAYOS XEn 1895, el físico alemán Wilhem Conrad Roentgen descubrió los Rayos X con los cuales pronto se desarrolló tecnología para "fotografiar lo invisible." Roentgen observó que estas radiaciones atravesaban el tejido humano pero no así los huesos (o metales) e hizo una "radiografía" de la mano de su esposa. El impacto de esta tecnología en el diagnóstico médico es inconmensurable.
  • Electroencefalografía, EEG

    Electroencefalografía, EEG

    ENCEFALOGRAMALa aseveración de Hans Berger (alemán) en 1924 de que los impulsos eléctricos del cerebro podían ser registrado fue incialmente recibida con incredulidad. En 1929, finalmente Berger publicó sobre su tecnología para registrar la actividad eléctrica cerebral desde la superficie de la cabeza. La electroencefalografía, EEG, catapultó el campo del diagnóstico neurológico.
  • Diálisis, riñón artificial

    Diálisis, riñón artificial

    DIALISIS </a>Durante la ocupación nazi de los Países Bajos y usando partes rudimentarias, Willem J. Kolff construyó en 1943 el prototipo de una máquina de diálisis. En los años 50 y ya con mejor equipo, Kolff y colegas en la Clínica de Cleveland construyeron un "riñón artificial" funcional. La diálisis permite remover toxinas de la sangre en personas con deficiencia renal mejorando así el tratamiento y su expectativa de vida.
  • Desfibrilación cardiaca

    Desfibrilación cardiaca

    DESFIBRILACIONEn 1947, Claude Beck fue la primera persona en aplicar de manera exitosa los principios de la desfibrilación cardiaca y resucitar un paciente en cirugía. Antes de esto, el corazón debía ser masajeado manualmente durante la cirugía o perforando el pecho! Este procedimiento no era muy eficaz. Hoy en día, los defibriladores están disponibles para atender emergencias incluso en lugares públicos como centros comerciales.
  • Corazón Mecánico

    Corazón Mecánico

    CORAZON MECANICO Un corazón mecánico mantiene el flujo sanguíneo durante la transición en una trasplante de este órgano. Igualmente, puede sustituir el órgano de manera prolongada. El cirujano Forest Dewey Dodrill reportó la primera operación de corazón en que un aparato externo tomara las funciones del órgano mientras éste era reparado (1952). La máquina fue construida por General Motors por lo que se llamó "Dodrill GMR".
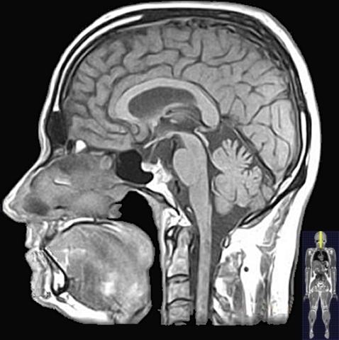
  • MRI: escaneo por resonancia magnética

    MRI: escaneo por resonancia magnética

    MRI Hasta 1974 los usos de los principios físico-químicos de la resonancia magnética (MR) fueron unidimensionales y sin producir información espacial. P. C. Lauterbur (químico) y P. Mansfield (físico) independientemente lograron ese año su aplicación para el escaneo de imágenes bidimensionales que indican el origen y posición relativa de la fuente de señal: MRI. Esta tecnología es ahora indispensable en el diagnóstico médico.
  • Secuenciación de ADN

    Secuenciación de ADN

    ADN La tecnología de secuenciación de ADN usada actualmente se basa en la que fuera desarrollada por Frederick Sanger en 1975. Este evento propulsó otros en el campo, por ejemplo, la secuenciación automatizada (patentada por Hood y el Instituto de Tecnología de California en 1992).