Descarga 1

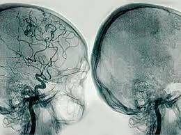
Angiografía

  • Egas Moniz

    Egas Moniz

    En 1874 Egas Moniz realizó sus estudios universitarios y comenzó a interesarse por las imágenes particularmente en las que se inyectaban sustancias de contraste y se obtenían imágenes por medio de rayos.
  • Creación de la angiografía

    Creación de la angiografía

    fue creada en 1927 por el neurólogo Egas Moniz para diagnosticar trastornos cerebrales desde tumores hasta malformaciones vasculares, se obtuvo el éxito con un paciente de 20 años donde inyectaron el medio de contraste y obtuvieron una imagen lateral que evidencio la desviación de la arteria cerebral media.
  • Angiografía cerebral

    Angiografía cerebral

    En 1934 se reportó el trabajo de la angiografía cerebral donde se describieron las fases arterial, capilar y el primer o segundo campo venoso.
  • Demostración de la oclusión carotidea

    Demostración de la oclusión carotidea

    En 1941, se demostró hagiográficamente la oclusión carotidea en pacientes con déficit motor.
  • Nuevos medios de contraste

    Nuevos medios de contraste

    1944 Ramsey y Strain describieron el uso de nuevo medio de contraste algo menos toxico.
  • Angiografía digital

    Angiografía digital

    En el año 2001 aparece la angiografía con sustracción digital y reconstrucción tridimensional.
  • Tarea 1

    Creado por: Nicolas Alejandro Parra Ortigoza
    Universidad Nacional Abierta y a Distancia (UNAD)

Want to make a timeline like this?

Use Timetoast to turn dates, events, milestones, and phases into a clear visual timeline you can build and share. Timetoast is a timeline maker for work, school, research, and stories.