B224aaa26f90356d715168f21d57c0613738dcb1

Angiografía

  • Angiografía por contraste radiopaco

    Angiografía por contraste radiopaco

    Se desarrolla la angiografía por contraste radiopaco, por parte del neurólogo portugués Egas Moniz, para el diagnóstico de diferentes trastornos cerebrales.
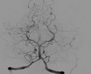
  • Primera imagen

    Primera imagen

    el 06 de agosto de 1928, se dio la primera imagen de perfil en angiografia, realizada en Barzil por Augusto Brandão Filho y Egas Moniz
  • Augusto Brandão Filho

    Augusto Brandão Filho

    Augusto Brandão Filho fue el pionero de los exámenes neurorradiológicos en nuestro país. Fue el primero en realizar ventriculografía y angiografía cerebral en Brasil. contó con la colaboración en ventriculografía contó con la asistencia de Manuel de Abreu futuro inventor en 1936 de la imagen fluoroscópica del cuadro, conocida como abreugrafía. En angiografía cerebral, fue asistido por el inventor del método, Egas Moniz, quien en 1928 estaba de visita en Brasil
  • Premio nobel

    Premio nobel

    Egas Moniz, gana premio nobel de medicina gracias a el desarrollo de la angiografía por contraste radiopaco.
  • Sven-Ivar Seldinger

    Sven-Ivar Seldinger

    Sven-Ivar Seldinger, presenta una técnica basada en un acceso percutáneo vascular o de otros órganos de una forma segura. (punción directa vascular u orgánica) con una aguja.

Plan projects on a visual timeline

Map milestones, phases, deadlines, and key events in one place so the sequence is easier to see and share. Timetoast is a timeline maker for work, school, research, and stories.