Actividad evaluativa – Eje1 Desde los orígenes al presente

  • Las Neurociencias
    600 BCE

    Las Neurociencias

    1. La conducta es el resultado de un proceso evolutivo
    2. Las actividades mentales están alojadas en el cerebro
    3. Para explicar la relación entre cerebro y conducto llevo mucho tiempo, muchas hipótesis, asociación de variables, observación de casos y experimentos.
    Imagen
    https://images.app.goo.gl/FYjVc7YSoJLxG23YA
  • Alcmeón de Crotona (500 a.C aproximadamente)
    500 BCE

    Alcmeón de Crotona (500 a.C aproximadamente)

    Hipótesis Cerebral de la Conducta
    El Cerebro es el responsable de las facultades humanas Imagen
    https://images.app.goo.gl/aDTREN17b1kpUdtw8
  • Empéclode de Acragas (490 - 430 a.C)
    490 BCE

    Empéclode de Acragas (490 - 430 a.C)

    Hipótesis Cardíaca de la Conducta
    Se define que los actos humanos son resultados de la actividad del corazón, este como generador de emociones. Imagen
    https://images.app.goo.gl/RHXpjwiduftxGPKS6
  • Hipócrates (460 - 370 a.C)
    460 BCE

    Hipócrates (460 - 370 a.C)

    Médico Griego, quien señalo que el cerebro era el que ejecutaba las tareas, adicional a la conducta de las personas y sus alteraciones. Imagen:
    https://images.app.goo.gl/aDEL7SE8nSb48iDu8
  • Period: 460 BCE to 199 BCE

    Hipócrates y Galeano

    Exponen la hipótesis cerebral como resultado de la relación entre el daño cerebral y las alteraciones en la conducta. Galeano alude que la actividad mental era generada por el líquido cefalorraquídeo.
  • Platón (427 - 347 a. C.)
    427 BCE

    Platón (427 - 347 a. C.)

    Filósofo griego.
    Idealizo el Alma Tripertita:
    El alma racional, es inmortal, inteligente y físicamente ubicada en el cerebro. El alma irrascible, es mortal, fuente de pasiones emocionales y situada físicamente en el tórax. El alma apetitiva, es mortal, fuente de pasiones carnales y ubicada en el abdomen o genitales. Imagen
    https://images.app.goo.gl/soH4QXYpUVdW8tce7
  • Aristóteles (384 - 322 a. C)​​​​
    384 BCE

    Aristóteles (384 - 322 a. C)​​​​

    Para él, el cerebro era un mecanismo de refrigeración de la sangre. Siendo así que el corazón era el origen de los procesos mentales. Imagen
    https://images.app.goo.gl/XgvteVyPov6GC4yaA
  • Galeno (130 - 200 d.C)
    130 BCE

    Galeno (130 - 200 d.C)

    Se dedicó a la disección de los encéfalos de diferentes especies con el fin de observarlos. Imagen:
    https://images.app.goo.gl/iS8T3PnrBpuHwD7s8
  • Andrea Vesalius (1511 - 1564)
    1511

    Andrea Vesalius (1511 - 1564)

    El contradice a Galeano, diciendo que la fuente de los procesos mentales era el tejido cerebral más no el liquido cefalorraquídeo. Imagen
    https://images.app.goo.gl/iRBHhnGBM8HuvLebA
  • Descartes (1596 - 1650)

    Descartes (1596 - 1650)

    Da lo inicios en el Pensamiento Dualismos, en donde expone la diferencia entre cuerpo y alma o también conocido como mente-cuerpo. "Pienso, luego existo." (Descartes, 1637)
    La duda, razona entonces, es un pensamiento: dudar es pensar. (Fernández, Tomás y Tamaro, Elena, 2004) Imagen
    https://images.app.goo.gl/G76uQ3WbXBDfQK8F9
  • Tomas Willis (1621 - 1675)

    Tomas Willis (1621 - 1675)

    En sus diversas obras describió la epilepsia, la apoplejía, la histeria, la hipocondría y la parálisis. En su obra "Cerebri anatome", se uso por primera vez la palabra Neurología Imagen https://images.app.goo.gl/e6Xio8B8DtC9tiSz6
  • Siglo XVIII

    Siglo XVIII

    Claude Bernard, Paul Erich y John Longley
    Sentaron los inicios de la investigación psicofarmacológica y la actividad eléctrica del cerebro. Imagen
    https://images.app.goo.gl/E2Km8XTk8BUCeS6c7
  • Frenología

    Frenología

    Francis Joseph Gall (1758 - 1828) y Johann Casper (1776 - 1832)
    Estudiaron la anatomía del cerebro, desarrollando teorías sobre la forma de la cabeza, idealizaron un mapa de funciones mentales, dando inicio a la Frenología. Imagen
    https://images.app.goo.gl/trP9vT1MkQ4XSvK1A
  • Ablación Experimental

    Ablación Experimental

    Pierre Flourens (1794 - 1867)
    Experimentación por medio de la ablación experimental, la cual consiste en destruir una parte del encéfalo, de esta forma ver como se ven afectadas las funciones neurológicas.
    Desarrollo la Teoría del Campo Agregado, en donde según el tamaño de la lesión se ve afectado el cerebelo, se da cuenta que este esta relacionado con el equilibrio. Imagen
    https://images.app.goo.gl/M2jHVADsXZdT5A5C6
  • Electrofisiología

    Electrofisiología

    Gustav Fritsch y Edward Hitzig
    Dan avances en la electrofisiología, basada en la corteza motora primaria, desarrollan un mapa motor del cuerpo.
    Evidencian que el cerebro genera conductas voluntarias e involuntarias. Imagen
    https://images.app.goo.gl/xzvygMeqsHXYpcvd7
  • La Neurona

    La Neurona

    Camillo Golgi (1843-1926)
    Identifico en detalle una neurona. El aparato de Golgi. Imagen
    https://images.app.goo.gl/1p1kxQPJSE82FjYP7
  • Estímulos Eléctricos

    Estímulos Eléctricos

    Galvani y Hermann Helmholtz, hacia el Siglo XX dan un avance a los estímulos eléctricos, descubriendo los potenciales nerviosos y la actividad eléctrica del cerebro. Imagen
    https://images.app.goo.gl/gJL9DsjZG1VsZkDJ7
  • Electroencefalografía

    Electroencefalografía

    Fue inventado por Hans Berger.
    Es un examen que sirve para medir la actividad eléctrica del cerebro.
    Ventajas, desde su economía hasta su resolución temporal, y con desventajas, como que los registros obtenidos son más “superficiales” Imagen
    https://images.app.goo.gl/1oxxiYxEWGncY9tW7
  • Sinapsis

    Sinapsis

    Donald Hebb
    Desarrolla la idea de que varias neuronas se activan simultáneamente generando así la Sinapsis, convirtiéndose en una unidad funcional.
    Desarrolla las bases neuroanatómicas de la memoria y del aprendizaje. Imagen
    https://images.app.goo.gl/t9QyFkecBspE12Eo8
  • Conexionismo Celular

    Conexionismo Celular

    John Jackson, Karl Wernicke, Charles Sherrington y Santiago Ramón y Cajal
    desarrollan el Conexionismo Celular, donde se evidencia que las neuronas están conectadas unas a otras como señalización del sistema nervioso.
  • Magnetoencefalografía

    Magnetoencefalografía

    Implementada por David Cohen. Es un una prueba médica no invasiva que mide los campos magnéticos producidos por las corrientes eléctricas del cerebro
    Cuenta con una buena resolución temporal y una resolución
    espacial mejor que la de la electroencefalografía. Es silenciosa y no invasiva Imagen
    https://images.app.goo.gl/XEWRXSWSLNS82A3S7
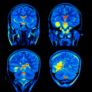
  • Resonancia magnética funcional

    Resonancia magnética funcional

    Damadian creó el primer equipo de resonancia magnética.
    Es un procedimiento que utiliza imágenes de RM para medir los pequeños cambios en el flujo sanguíneo que ocurren en una parte activa del cerebro. Imagen
    https://images.app.goo.gl/oQ4UcPKf6ds9qyfcA
  • Estimulación magnética transcraneal

    Estimulación magnética transcraneal

    El primer método de estimulación eléctrica transcraneal eficaz fue utilizado por Merton y Morton.
    Es un procedimiento no invasivo que utiliza campos magnéticos para estimular las células nerviosas en el cerebro con el fin de mejorar los síntomas de depresión. Imagen
    https://images.app.goo.gl/hNPEgEPR8M5QTsNEA

Want to make a timeline like this?

Use Timetoast to turn dates, events, milestones, and phases into a clear visual timeline you can build and share. Timetoast is a timeline maker for work, school, research, and stories.